Skip to main content

Syntenin 1 Antibody (OTI2H6)

Novus Biologicals, part of Bio-Techne | Catalog # NBP2-02072

Novus Biologicals, part of Bio-Techne
Catalog #
Availability
Size / Price
Qty
Loading...
NBP2-02072
Conjugate
Catalog #

Key Product Details

Species Reactivity

Human, Mouse, Rat

Applications

Immunohistochemistry, Immunohistochemistry-Paraffin, Western Blot

Label

Unconjugated

Antibody Source

Monoclonal Mouse IgG2B Clone # OTI2H6

Concentration

1 mg/ml

Product Specifications

Immunogen

Full length human recombinant protein of human SDCBP(NP_005616) produced in HEK293T cell.

Reactivity Notes

Please note that this antibody is reactive to Mouse and derived from the same host, Mouse. Mouse-On-Mouse blocking reagent may be needed for IHC and ICC experiments to reduce high background signal. You can find these reagents under catalog numbers PK-2200-NB and MP-2400-NB. Please contact Technical Support if you have any questions.

Clonality

Monoclonal

Host

Mouse

Isotype

IgG2B

Theoretical MW

32.3 kDa.
Disclaimer note: The observed molecular weight of the protein may vary from the listed predicted molecular weight due to post translational modifications, post translation cleavages, relative charges, and other experimental factors.

Scientific Data Images for Syntenin 1 Antibody (OTI2H6)

Western Blot: Syntenin 1 Antibody (2H6) [NBP2-02072] Analysis of extracts (35ug) from 9 different cell lines by usin g anti-Syntenin 1 monoclonal antibody (HepG2: human; HeLa: human; SVT2: mouse; A549: human; COS7: monkey; Jurkat: human; MDCK: canine; PC12: rat; MCF7: human).
Immunohistochemistry-Paraffin: Syntenin 1 Antibody (OTI2H6) [NBP2-02072]

Immunohistochemistry-Paraffin: Syntenin 1 Antibody (OTI2H6) [NBP2-02072]

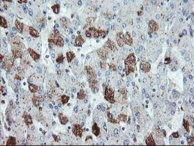
Immunohistochemistry-Paraffin: Syntenin 1 Antibody (2H6) [NBP2-02072] - Staining of paraffin-embedded Human liver tissue using anti-Syntenin 1 mouse monoclonal antibody.
Western Blot: Syntenin 1 Antibody (OTI2H6) [NBP2-02072]

Western Blot: Syntenin 1 Antibody (OTI2H6) [NBP2-02072]

Western Blot: Syntenin 1 Antibody (2H6) [NBP2-02072] - HEK293T cells were transfected with the pCMV6-ENTRY control (Left lane) or pCMV6-ENTRY Syntenin 1 (Right lane) cDNA for 48 hrs and lysed. Equivalent amounts of cell lysates (5 ug per lane) were separated by SDS-PAGE and immunoblotted with anti-Syntenin 1.

Applications for Syntenin 1 Antibody (OTI2H6)

Application
Recommended Usage

Immunohistochemistry

1:150

Immunohistochemistry-Paraffin

1:150

Western Blot

1:500-2000

Formulation, Preparation, and Storage

Purification

Immunogen affinity purified

Formulation

PBS (pH 7.3), 1.0% BSA and 50% Glycerol

Preservative

0.02% Sodium Azide

Concentration

1 mg/ml

Shipping

The product is shipped with polar packs. Upon receipt, store it immediately at the temperature recommended below.

Stability & Storage

Store at -20C. Avoid freeze-thaw cycles.

Background: Syntenin 1

The protein encoded by this gene was initially identified as a molecule linking syndecan-mediated signaling to the cytoskeleton. The syntenin protein contains tandemly repeated PDZ domains that bind the cytoplasmic, C-terminal domains of a variety of transmembrane proteins. This protein may also affect cytoskeletal-membrane organization, cell adhesion, protein trafficking, and the activation of transcription factors. The protein is primarily localized to membrane-associated adherens junctions and focal adhesions but is also found at the endoplasmic reticulum and nucleus. Alternative splicing results in multiple transcript variants encoding different isoforms. [provided by RefSeq].

Alternate Names

MDA9, MDA-9, melanoma differentiation associated protein-9, Melanoma differentiation-associated protein 9, Pro-TGF-alpha cytoplasmic domain-interacting protein 18, Scaffold protein Pbp1, ST1, SYCLTACIP18, syndecan binding protein (syntenin), Syndecan-binding protein 1, syntenin-1

Entrez Gene IDs

6386 (Human)

Gene Symbol

SDCBP

Additional Syntenin 1 Products

Product Documents for Syntenin 1 Antibody (OTI2H6)

Certificate of Analysis

To download a Certificate of Analysis, please enter a lot number in the search box below.

Product Specific Notices for Syntenin 1 Antibody (OTI2H6)

This product is for research use only and is not approved for use in humans or in clinical diagnosis. Primary Antibodies are guaranteed for 1 year from date of receipt.

Loading...
Loading...
Loading...
Loading...