Skip to main content

Synphilin-1 Antibody - BSA Free

Novus Biologicals, part of Bio-Techne | Catalog # NBP3-45877

Novus Biologicals, part of Bio-Techne
Catalog #
Availability
Size / Price
Qty
Loading...
NBP3-45877

Key Product Details

Species Reactivity

Human, Mouse

Applications

ELISA, Immunohistochemistry, Western Blot

Label

Unconjugated

Antibody Source

Polyclonal Rabbit IgG

Format

BSA Free

Concentration

Please see the vial label for concentration. If unlisted please contact technical services.

Product Specifications

Immunogen

synuclein, alpha interacting protein. (Uniprot# Q9Y6H5)

Clonality

Polyclonal

Host

Rabbit

Isotype

IgG

Description

Novus Biologicals Rabbit Synphilin-1 Antibody - BSA Free (NBP3-45877) is a polyclonal antibody validated for use in IHC, WB and ELISA. All Novus Biologicals antibodies are covered by our 100% guarantee.

Scientific Data Images for Synphilin-1 Antibody - BSA Free

Synphilin-1 Antibody - BSA Free

Western Blot: Synphilin-1 Antibody - BSA Free [NBP3-45877] -

Western Blot: Synphilin-1 Antibody - BSA Free [NBP3-45877] - Mouse brain tissue were subjected to SDS PAGE followed by western blot with (Synphilin-1 Antibody) at dilution of 1:300
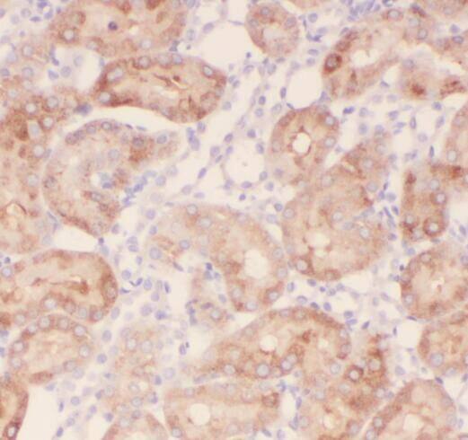
Synphilin-1 Antibody - BSA Free

Immunohistochemistry: Synphilin-1 Antibody - BSA Free [NBP3-45877] -

Immunohistochemistry: Synphilin-1 Antibody - BSA Free [NBP3-45877] - Immunohistochemistry of paraffin-embedded human kidney tissue slide using (Synphilin-1 Antibody) at dilution of 1:50

Applications for Synphilin-1 Antibody - BSA Free

Application
Recommended Usage

Immunohistochemistry

1:20-1:200

Western Blot

1:500-1:2000
Application Notes
Theoretical Molecular Weight is 100 kDa, 75 kDa

Formulation, Preparation, and Storage

Purification

Immunogen affinity purified

Formulation

PBS, 50% Glycerol, pH (7.3)

Format

BSA Free

Preservative

0.02% Sodium Azide

Concentration

Please see the vial label for concentration. If unlisted please contact technical services.

Shipping

The product is shipped with polar packs. Upon receipt, store it immediately at the temperature recommended below.

Stability & Storage

Store at -20C. Avoid freeze-thaw cycles.

Background: Synphilin-1

Synuclein alpha interacting protein (Synphilin-1) contains several protein-protein interaction domains and interacts with alpha synuclein in neurons. Mutations of SNCAIP have been linked to Parkinson disease. The amino acid sequence of synphilin-1 shares a high level of identity with its human counterpart, particularly in regions containing ankyrin-like motifs and the coiled-coil domain. Expression pattern of synphilin-1 in tissues is similar in both mouse and human. Synphilin-1 has an important role in the formation of aggregates and cytotoxicity in Parkinson disease and also Dorfin may be involved in the pathogenic process by ubiquitylation of synphilin-1.

Alternate Names

Alpha-synuclein-interacting protein, MGC39814, Sph1, synphilin-1, synuclein, alpha interacting protein, SYPH1

Gene Symbol

SNCAIP

Additional Synphilin-1 Products

Product Documents for Synphilin-1 Antibody - BSA Free

Certificate of Analysis

To download a Certificate of Analysis, please enter a lot number in the search box below.

Product Specific Notices for Synphilin-1 Antibody - BSA Free

This product is for research use only and is not approved for use in humans or in clinical diagnosis. Primary Antibodies are guaranteed for 1 year from date of receipt.

Loading...
Loading...
Loading...
Loading...