Skip to main content

Synaptogyrin 3 Antibody - BSA Free

Novus Biologicals, part of Bio-Techne | Catalog # NBP2-30475

Novus Biologicals, part of Bio-Techne
Catalog #
Availability
Size / Price
Qty
Loading...
NBP2-30475-25ul
NBP2-30475

Key Product Details

Validated by

Orthogonal Validation

Species Reactivity

Validated:

Human

Cited:

Human

Predicted:

Mouse (94%). Backed by our 100% Guarantee.

Applications

Immunohistochemistry, Immunohistochemistry-Paraffin, Immunoprecipitation

Label

Unconjugated

Antibody Source

Polyclonal Rabbit IgG

Format

BSA Free

Concentration

Concentrations vary lot to lot. See vial label for concentration. If unlisted please contact technical services.

Product Specifications

Immunogen

This antibody was developed against a recombinant protein corresponding to amino acids: KALQRFRLGTDMSLFATEQLSTGASQAYPGYPVGSGVEGTETYQSPPFTETLDTSPKGYQVP

Marker

Synaptic Marker

Clonality

Polyclonal

Host

Rabbit

Isotype

IgG

Description

Novus Biologicals Rabbit Synaptogyrin 3 Antibody - BSA Free (NBP2-30475) is a polyclonal antibody validated for use in IHC and IP. Anti-Synaptogyrin 3 Antibody: Cited in 2 publications. All Novus Biologicals antibodies are covered by our 100% guarantee.

Scientific Data Images for Synaptogyrin 3 Antibody - BSA Free

Immunohistochemistry-Paraffin: Synaptogyrin 3 Antibody [NBP2-30475]

Immunohistochemistry-Paraffin: Synaptogyrin 3 Antibody [NBP2-30475]

Immunohistochemistry-Paraffin: Synaptogyrin 3 Antibody [NBP2-30475] - Staining in human cerebral cortex and pancreas tissues using anti-SYNGR3 antibody. Corresponding SYNGR3 RNA-seq data are presented for the same tissues.
Immunohistochemistry-Paraffin: Synaptogyrin 3 Antibody [NBP2-30475]

Immunohistochemistry-Paraffin: Synaptogyrin 3 Antibody [NBP2-30475]

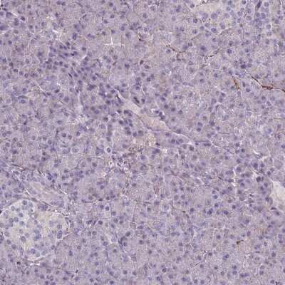
Immunohistochemistry-Paraffin: Synaptogyrin 3 Antibody [NBP2-30475] - Staining of human pancreas shows low expression as expected.
Immunohistochemistry-Paraffin: Synaptogyrin 3 Antibody [NBP2-30475]

Immunohistochemistry-Paraffin: Synaptogyrin 3 Antibody [NBP2-30475]

Immunohistochemistry-Paraffin: Synaptogyrin 3 Antibody [NBP2-30475] - Staining of human cerebral cortex shows high expression.

Applications for Synaptogyrin 3 Antibody - BSA Free

Application
Recommended Usage

Immunohistochemistry

1:1000 - 1:2500

Immunohistochemistry-Paraffin

1:1000 - 1:2500

Immunoprecipitation

Validated from a verified customer review
Application Notes
For IHC-Paraffin, HIER pH 6 retrieval is recommended.

Reviewed Applications

Read 1 review rated 5 using NBP2-30475 in the following applications:

Formulation, Preparation, and Storage

Purification

Immunogen affinity purified

Formulation

PBS (pH 7.2) and 40% Glycerol

Format

BSA Free

Preservative

0.02% Sodium Azide

Concentration

Concentrations vary lot to lot. See vial label for concentration. If unlisted please contact technical services.

Shipping

The product is shipped with polar packs. Upon receipt, store it immediately at the temperature recommended below.

Stability & Storage

Store at 4C short term. Aliquot and store at -20C long term. Avoid freeze-thaw cycles.

Background: Synaptogyrin 3

The Synaptogyrin 3 gene encodes an integral membrane protein. The gene belongs to the synaptogyrin gene family. Like other members of the family the protein contains four transmembrane regions. The exact function of this protein is unclear. (provided by RefSeq)

Alternate Names

MGC20003, synaptogyrin 3, synaptogyrin-3

Gene Symbol

SYNGR3

UniProt

Additional Synaptogyrin 3 Products

Product Documents for Synaptogyrin 3 Antibody - BSA Free

Certificate of Analysis

To download a Certificate of Analysis, please enter a lot number in the search box below.

Product Specific Notices for Synaptogyrin 3 Antibody - BSA Free

This product is for research use only and is not approved for use in humans or in clinical diagnosis. Primary Antibodies are guaranteed for 1 year from date of receipt.

Loading...
Loading...
Loading...
Loading...