Skip to main content

SYF2 Antibody (OTI6A5)

Novus Biologicals, part of Bio-Techne | Catalog # NBP2-46033

Novus Biologicals, part of Bio-Techne
Catalog #
Availability
Size / Price
Qty
Loading...
NBP2-46033

Key Product Details

Species Reactivity

Human, Mouse, Rat

Applications

Immunohistochemistry, Immunohistochemistry-Paraffin, Western Blot

Label

Unconjugated

Antibody Source

Monoclonal Mouse IgG1 Clone # OTI6A5

Concentration

1 mg/ml

Product Specifications

Immunogen

Human recombinant protein fragment corresponding to amino acids 2-92 of human SYF2(NP_056299) produced in E.coli.

Reactivity Notes

Please note that this antibody is reactive to Mouse and derived from the same host, Mouse. Mouse-On-Mouse blocking reagent may be needed for IHC and ICC experiments to reduce high background signal. You can find these reagents under catalog numbers PK-2200-NB and MP-2400-NB. Please contact Technical Support if you have any questions.

Clonality

Monoclonal

Host

Mouse

Isotype

IgG1

Theoretical MW

28.5 kDa.
Disclaimer note: The observed molecular weight of the protein may vary from the listed predicted molecular weight due to post translational modifications, post translation cleavages, relative charges, and other experimental factors.

Description

Novus Biologicals Mouse SYF2 Antibody (OTI6A5) (NBP2-46033) is a monoclonal antibody validated for use in IHC and WB. All Novus Biologicals antibodies are covered by our 100% guarantee.

Scientific Data Images for SYF2 Antibody (OTI6A5)

Western Blot: SYF2 Antibody (OTI6A5) [NBP2-46033]

Western Blot: SYF2 Antibody (OTI6A5) [NBP2-46033]

Western Blot: SYF2 Antibody (6A5) [NBP2-46033] - Analysis of HEK293T cells were transfected with the pCMV6-ENTRY control (Left lane) or pCMV6-ENTRY SYF2.
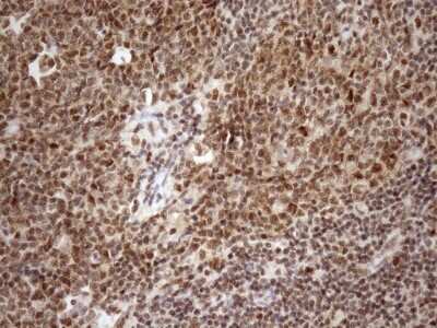
Immunohistochemistry: SYF2 Antibody (OTI6A5) [NBP2-46033]

Immunohistochemistry: SYF2 Antibody (OTI6A5) [NBP2-46033]

Immunohistochemistry: SYF2 Antibody (6A5) [NBP2-46033] - Analysis of Human tonsil tissue. (Heat-induced epitope retrieval by Tris-EDTA, pH8.0)
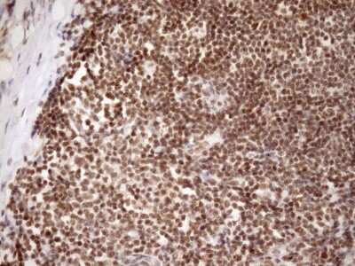
Immunohistochemistry: SYF2 Antibody (OTI6A5) [NBP2-46033]

Immunohistochemistry: SYF2 Antibody (OTI6A5) [NBP2-46033]

Immunohistochemistry: SYF2 Antibody (6A5) [NBP2-46033] - Analysis of Human colon tissue. (Heat-induced epitope retrieval by Tris-EDTA, pH8.0)

Applications for SYF2 Antibody (OTI6A5)

Application
Recommended Usage

Immunohistochemistry

1:150

Western Blot

1:2000

Formulation, Preparation, and Storage

Purification

Immunogen affinity purified

Formulation

PBS (pH 7.3), 1.0% BSA and 50% Glycerol

Preservative

0.02% Sodium Azide

Concentration

1 mg/ml

Shipping

The product is shipped with polar packs. Upon receipt, store it immediately at the temperature recommended below.

Stability & Storage

Store at -20C. Avoid freeze-thaw cycles.

Background: SYF2

SYF2 encodes a nuclear protein that interacts with cyclin D-type binding-protein 1, which is thought to be a cell cycle regulator at the G1/S transition. Alternate transcriptional splice variants, encoding different isoforms, have been characterized.

Alternate Names

CBPIN, CCNDBP1 interactor, CCNDBP1-interactor, DKFZp564O2082, fSAP29, functional spliceosome-associated protein 29, GCIP-interacting protein p29, GCIPIP, NTC31, p29, pre-mRNA-splicing factor SYF2, SYF2 homolog, RNA splicing factor (S. cerevisiae)

Gene Symbol

SYF2

Additional SYF2 Products

Product Documents for SYF2 Antibody (OTI6A5)

Certificate of Analysis

To download a Certificate of Analysis, please enter a lot number in the search box below.

Product Specific Notices for SYF2 Antibody (OTI6A5)

This product is for research use only and is not approved for use in humans or in clinical diagnosis. Primary Antibodies are guaranteed for 1 year from date of receipt.

Loading...
Loading...
Loading...
Loading...