Skip to main content

SUPT5H Antibody (9V9G7)

Novus Biologicals, part of Bio-Techne | Catalog # NBP3-33195

Novus Biologicals, part of Bio-Techne
Catalog #
Availability
Size / Price
Qty
Loading...
NBP3-33195-20ul
NBP3-33195-100ul

Key Product Details

Species Reactivity

Human, Mouse, Rat

Applications

Immunohistochemistry, Immunohistochemistry-Paraffin, Western Blot, ELISA, Immunocytochemistry/ Immunofluorescence, Immunoprecipitation

Label

Unconjugated

Antibody Source

Monoclonal Rabbit IgG Clone # 9V9G7

Concentration

Please see the vial label for concentration. If unlisted please contact technical services.

Product Specifications

Immunogen

A synthetic peptide corresponding to a sequence within amino acids 800-900 of human SUPT5H (O00267).

Sequence:
PHYGSQTPLHDGSRTPAQSGAWDPNNPNTPSRAEEEYEYAFDDEPTPSPQAYGGTPNPQTPGYPDPSSPQVNPQYNPQTPGTPAMYNTDQFSPYAAPSPQG

Clonality

Monoclonal

Host

Rabbit

Isotype

IgG

Theoretical MW

121 kDa.
Disclaimer note: The observed molecular weight of the protein may vary from the listed predicted molecular weight due to post translational modifications, post translation cleavages, relative charges, and other experimental factors.

Description

Novus Biologicals Rabbit SUPT5H Antibody (9V9G7) (NBP3-33195) is a monoclonal antibody validated for use in IHC, WB, ELISA and ICC/IF. All Novus Biologicals antibodies are covered by our 100% guarantee.

Scientific Data Images for SUPT5H Antibody (9V9G7)

SUPT5H Antibody (9V9G7)

Western Blot: SUPT5H Antibody (9V9G7) [NBP3-33195] -

Western Blot: SUPT5H Antibody (9V9G7) [NBP3-33195] - Western blot analysis of lysates from HeLa cells, using SUPT5H Rabbit mAb at 1:1000 dilution.
Secondary antibody: HRP-conjugated Goat anti-Rabbit IgG (H+L) at 1:10000 dilution.
Lysates/proteins: 25ug per lane.
Blocking buffer: 3% nonfat dry milk in TBST.
Detection: ECL Basic Kit.
Exposure time: 10s.
SUPT5H Antibody (9V9G7)

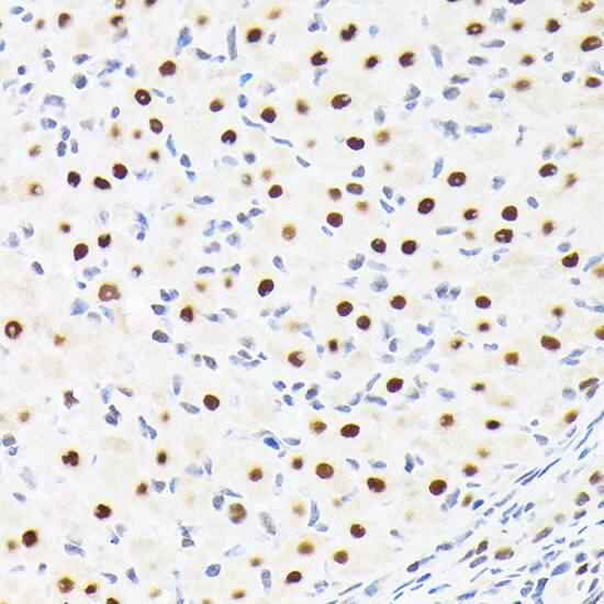
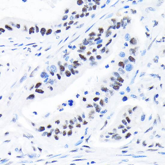
Immunohistochemistry: SUPT5H Antibody (9V9G7) [NBP3-33195] -

Immunohistochemistry: SUPT5H Antibody (9V9G7) [NBP3-33195] - Immunohistochemistry analysis of paraffin-embedded Human colon carcinoma using SUPT5H Rabbit mAb at dilution of 1:100 (40x lens). Microwave antigen retrieval performed with 0.01M Tris/EDTA Buffer (pH 9.0) prior to IHC staining.
SUPT5H Antibody (9V9G7)

Immunocytochemistry/ Immunofluorescence: SUPT5H Antibody (9V9G7) [NBP3-33195] -

Immunocytochemistry/ Immunofluorescence: SUPT5H Antibody (9V9G7) [NBP3-33195] - Immunofluorescence analysis of NIH/3T3 cells using SUPT5H Rabbit mAb at dilution of 1:100 (40x lens). Secondary antibody: Cy3-conjugated Goat anti-Rabbit IgG (H+L) at 1:500 dilution. Blue: DAPI for nuclear staining.

Applications for SUPT5H Antibody (9V9G7)

Application
Recommended Usage

ELISA

Recommended starting concentration is 1 ug/mL

Immunocytochemistry/ Immunofluorescence

1:50 - 1:200

Immunohistochemistry-Paraffin

1:50 - 1:200

Immunoprecipitation

0.5μg-4μg antibody for 200μg-400μg extracts of whole cells.

Western Blot

1:500 - 1:1000

Formulation, Preparation, and Storage

Purification

Affinity purified

Formulation

PBS (pH 7.3), 50% glycerol, 0.05% BSA

Preservative

0.02% Sodium Azide

Concentration

Please see the vial label for concentration. If unlisted please contact technical services.

Shipping

The product is shipped with polar packs. Upon receipt, store it immediately at the temperature recommended below.

Stability & Storage

Store at -20C. Avoid freeze-thaw cycles.

Background: SUPT5H

SUPT5H is a component of the DRB sensitivity-inducing factor complex (DSIF complex), which regulates mRNA processing and transcription elongation by RNA polymerase II. DSIF positively regulates mRNA capping by stimulating the mRNA guanylyltransferase activity of RNGT

Alternate Names

DRB sensitivity-inducing factor 160 kDa subunit, DRB sensitivity-inducing factor large subunit, DSIF large subunit, DSIF p160, FLJ34157, SPT5hSPT5, SPT5HTat-cotransactivator 1 protein, suppressor of Ty (S.cerevisiae) 5 homolog, suppressor of Ty 5 homolog (S. cerevisiae), Tat-CT1, Tat-CT1 protein, transcription elongation factor SPT5

Gene Symbol

SUPT5H

Additional SUPT5H Products

Product Documents for SUPT5H Antibody (9V9G7)

Certificate of Analysis

To download a Certificate of Analysis, please enter a lot number in the search box below.

Product Specific Notices for SUPT5H Antibody (9V9G7)

This product is for research use only and is not approved for use in humans or in clinical diagnosis. Primary Antibodies are guaranteed for 1 year from date of receipt.

Loading...
Loading...
Loading...
Loading...