SUMO4 Antibody - BSA Free
Novus Biologicals, part of Bio-Techne | Catalog # NBP2-95198
Key Product Details
Species Reactivity
Human, Mouse
Applications
Immunohistochemistry, Immunohistochemistry-Paraffin, Western Blot
Label
Unconjugated
Antibody Source
Polyclonal Rabbit IgG
Format
BSA Free
Concentration
Please see the vial label for concentration. If unlisted please contact technical services.
Product Specifications
Immunogen
A synthetic peptide corresponding to a sequence within amino acids 40-95 of human SUMO4 (Q6EEV6). LSKLMKAYCEPRGLSMKQIRFRFGGQPISGTDKPAQLEMEDEDTIDVFQQPTGGVY
Clonality
Polyclonal
Host
Rabbit
Isotype
IgG
Theoretical MW
10 kDa.
Disclaimer note: The observed molecular weight of the protein may vary from the listed predicted molecular weight due to post translational modifications, post translation cleavages, relative charges, and other experimental factors.
Disclaimer note: The observed molecular weight of the protein may vary from the listed predicted molecular weight due to post translational modifications, post translation cleavages, relative charges, and other experimental factors.
Description
Novus Biologicals Rabbit SUMO4 Antibody - BSA Free (NBP2-95198) is a polyclonal antibody validated for use in IHC and WB. All Novus Biologicals antibodies are covered by our 100% guarantee.
Scientific Data Images for SUMO4 Antibody - BSA Free
Western Blot: SUMO4 AntibodyBSA Free [NBP2-95198]
Western Blot: SUMO4 Antibody [NBP2-95198] - Analysis of extracts of various cell lines, using SUMO4 at 1:800 dilution. Secondary antibody: HRP Goat Anti-Rabbit IgG (H+L) at 1:10000 dilution. Lysates/proteins: 25ug per lane. Blocking buffer: 3% nonfat dry milk in TBST.Immunohistochemistry-Paraffin: SUMO4 Antibody - BSA Free [NBP2-95198]
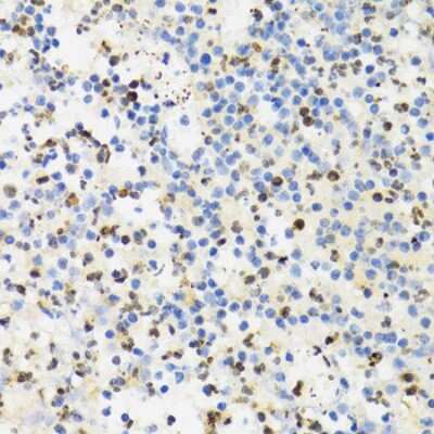
Immunohistochemistry-Paraffin: SUMO4 Antibody [NBP2-95198] - Paraffin-embedded human kidney cancer using SUMO4 .Immunohistochemistry-Paraffin: SUMO4 Antibody - BSA Free [NBP2-95198]
Immunohistochemistry-Paraffin: SUMO4 Antibody [NBP2-95198] - Paraffin-embedded human appendicitis using SUMO4 .Applications for SUMO4 Antibody - BSA Free
Application
Recommended Usage
Immunohistochemistry
1:100-1:300
Western Blot
1:1000-1:2000
Formulation, Preparation, and Storage
Purification
Affinity purified
Formulation
PBS (pH 7.3), 50% glycerol
Format
BSA Free
Preservative
0.02% Sodium Azide
Concentration
Please see the vial label for concentration. If unlisted please contact technical services.
Shipping
The product is shipped with polar packs. Upon receipt, store it immediately at the temperature recommended below.
Stability & Storage
Store at -20C. Avoid freeze-thaw cycles.
Background: SUMO4
Long Name
Small Ubiquitin-like Modifier 4
Alternate Names
dJ281H8.4, IDDM5, small ubiquitin-like modifier 4 protein, Small ubiquitin-like protein 4, small ubiquitin-related modifier 4, SMT3 suppressor of mif two 3 homolog 2, SMT3 suppressor of mif two 3 homolog 4 (S. cerevisiae), SMT3 suppressor of mif two 3 homolog 4 (yeast), SMT3H4, SUMO-4
Gene Symbol
SUMO4
Additional SUMO4 Products
Product Documents for SUMO4 Antibody - BSA Free
Product Specific Notices for SUMO4 Antibody - BSA Free
This product is for research use only and is not approved for use in humans or in clinical diagnosis. Primary Antibodies are guaranteed for 1 year from date of receipt.
Loading...
Loading...
Loading...
Loading...