Skip to main content

SUMO2/3 Antibody (6R8G7)

Novus Biologicals, part of Bio-Techne | Catalog # NBP3-16540

Recombinant Monoclonal Antibody
Novus Biologicals, part of Bio-Techne
Catalog #
Availability
Size / Price
Qty
Loading...
NBP3-16540-100ul
NBP3-16540-20ul

Key Product Details

Species Reactivity

Human, Mouse, Rat

Applications

Immunohistochemistry, Immunohistochemistry-Paraffin, Western Blot, Immunocytochemistry/ Immunofluorescence

Label

Unconjugated

Antibody Source

Recombinant Monoclonal Rabbit IgG Clone # 6R8G7 expressed in HEK293

Concentration

Please see the vial label for concentration. If unlisted please contact technical services.

Product Specifications

Immunogen

A synthetic peptide corresponding to a sequence within amino acids 1-95 of human SUMO2/3 (P61956). MADEKPKEGVKTENNDHINLKVAGQDGSVVQFKIKRHTPLSKLMKAYCERQGLSMRQIRFRFDGQPINETDTPAQLEMEDEDTIDVFQQQTGGVY

Clonality

Monoclonal

Host

Rabbit

Isotype

IgG

Description

Novus Biologicals Rabbit SUMO2/3 Antibody (6R8G7) (NBP3-16540) is a recombinant monoclonal antibody validated for use in IHC, WB and ICC/IF. All Novus Biologicals antibodies are covered by our 100% guarantee.

Scientific Data Images for SUMO2/3 Antibody (6R8G7)

Western Blot: SUMO2/3 Antibody (6R8G7) [NBP3-16540]

Western Blot: SUMO2/3 Antibody (6R8G7) [NBP3-16540]

Western Blot: SUMO2/3 Antibody (6R8G7) [NBP3-16540] - Western blot analysis of extracts of various cell lines, using SUMO2/3 Rabbit mAb (NBP3-16540) at 1:500 dilution. Secondary antibody: HRP Goat Anti-Rabbit IgG (H+L) at 1:10000 dilution. Lysates/proteins: 25ug per lane. Blocking buffer: 3% nonfat dry milk in TBST. Detection: ECL Basic Kit. Exposure time: 3min.
Immunocytochemistry/ Immunofluorescence: SUMO2/3 Antibody (6R8G7) [NBP3-16540]

Immunocytochemistry/ Immunofluorescence: SUMO2/3 Antibody (6R8G7) [NBP3-16540]

Immunocytochemistry/Immunofluorescence: SUMO2/3 Antibody (6R8G7) [NBP3-16540] - Immunofluorescence analysis of U-2 OS cells using SUMO2/3 Rabbit mAb (NBP3-16540) at dilution of 1:100 (40x lens). Blue: DAPI for nuclear staining.
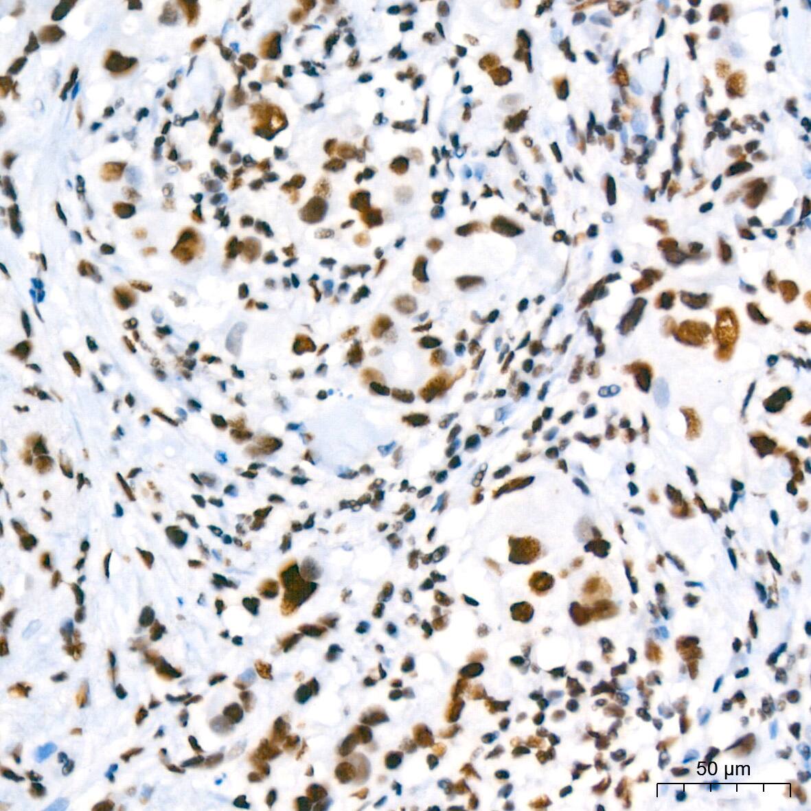
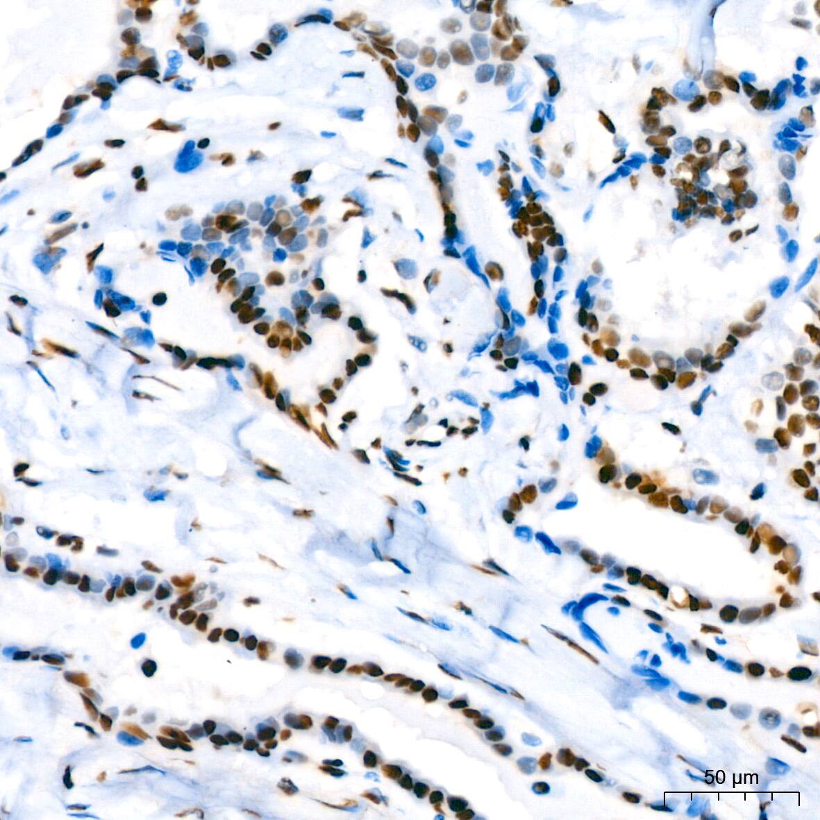
Immunohistochemistry-Paraffin: SUMO2/3 Antibody (6R8G7) [NBP3-16540]

Immunohistochemistry-Paraffin: SUMO2/3 Antibody (6R8G7) [NBP3-16540]

Immunohistochemistry-Paraffin: SUMO2/3 Antibody (6R8G7) [NBP3-16540] - Immunohistochemistry of paraffin-embedded human esophageal using SUMO2/3 Rabbit mAb (NBP3-16540) at dilution of 1:100 (40x lens).Perform microwave antigen retrieval with 10 mM Tris/EDTA buffer pH 9.0 before commencing with IHC staining protocol.

Applications for SUMO2/3 Antibody (6R8G7)

Application
Recommended Usage

Immunocytochemistry/ Immunofluorescence

1:50 - 1:200

Immunohistochemistry

1:50 - 1:200

Western Blot

1:100 - 1:500

Formulation, Preparation, and Storage

Purification

Affinity purified

Formulation

PBS (pH 7.3), 50% glycerol, 0.05% BSA

Preservative

0.02% Sodium Azide

Concentration

Please see the vial label for concentration. If unlisted please contact technical services.

Shipping

The product is shipped with polar packs. Upon receipt, store it immediately at the temperature recommended below.

Stability & Storage

Store at -20C. Avoid freeze-thaw cycles.

Background: SUMO2/3

Small Ubiquitin-like Modifiers (SUMOs) are a family of small, related proteins that can be enzymatically attached to a target protein by a post-translational modification process termed SUMOylation. There are four known SUMOs (SUMO1-4). All SUMO proteins share a conserved Ubiquitin domain and a C-terminal diglycine cleavage/attachment site. Following cleavage of a C-terminal prosegment, the C-terminal glycine residue of SUMO is enzymatically attached to a lysine residue on a target protein. In humans, SUMO is conjugated to a variety of molecules in the presence of the SAE1/UBA2 SUMO-activating (E1) enzyme and the UBE2I/Ubc9 SUMO-conjugating (E2) enzyme. In yeast, the SUMO-activating (E1) enzyme is Aos1/Uba2p. SUMOylation can occur without the requirement of a specific SUMO ligase (E3), where SUMO is transferred directly from UBE2I/Ubc9 to specific substrates. Unlike SUMO1, which is usually conjugated to proteins as a monomer, SUMO2 and SUMO3 are known to form high molecular weight polymers on proteins. SUMO precursor processing and deconjugation are catalyzed by a family of cysteine proteases known as SUMO-specific proteases (SENPs) and DeSUMOylating Isopeptidase 1.

Long Name

Small Ubiquitin-like Modifier 2, & 3

Alternate Names

HSMT3, small ubiquitin-like modifier 2, SMT3A, SMT3B, SMT3H2, SUMO2, SUMO3

Gene Symbol

SUMO2

Additional SUMO2/3 Products

Product Documents for SUMO2/3 Antibody (6R8G7)

Certificate of Analysis

To download a Certificate of Analysis, please enter a lot number in the search box below.

Product Specific Notices for SUMO2/3 Antibody (6R8G7)

This product is for research use only and is not approved for use in humans or in clinical diagnosis. Primary Antibodies are guaranteed for 1 year from date of receipt.

Loading...
Loading...
Loading...
Loading...