Skip to main content

SUG1 Antibody (PSH0-22)

Novus Biologicals, part of Bio-Techne | Catalog # NBP3-32865

Recombinant Monoclonal Antibody
Novus Biologicals, part of Bio-Techne
Catalog #
Availability
Size / Price
Qty
Loading...
NBP3-32865

Key Product Details

Species Reactivity

Human, Mouse, Rat

Applications

Immunohistochemistry, Immunohistochemistry-Paraffin, Western Blot

Label

Unconjugated

Antibody Source

Recombinant Monoclonal Rabbit IgG Clone # PSH0-22 expressed in HEK293

Concentration

1 mg/ml

Product Specifications

Immunogen

Recombinant protein within Human SUG1 aa 207-406 / 406. (Uniprot: P62195)

Localization

Cytoplasm, Nucleus.

Clonality

Monoclonal

Host

Rabbit

Isotype

IgG

Theoretical MW

46 kDa.
Disclaimer note: The observed molecular weight of the protein may vary from the listed predicted molecular weight due to post translational modifications, post translation cleavages, relative charges, and other experimental factors.

Description

Novus Biologicals Rabbit SUG1 Antibody (PSH0-22) (NBP3-32865) is a recombinant monoclonal antibody validated for use in IHC and WB. All Novus Biologicals antibodies are covered by our 100% guarantee.

Scientific Data Images for SUG1 Antibody (PSH0-22)

SUG1 Antibody (PSH0-22)

Western Blot: SUG1 Antibody (PSH0-22) [NBP3-32865]

Western Blot: SUG1 Antibody (PSH0-22) [NBP3-32865] - Western blot analysis of SUG1 on different lysates with Rabbit anti-SUG1 antibody (NBP3-32865) at 1/1,000 dilution.

Lane 1: A431 cell lysate (20 ug/Lane)
Lane 2: MCF-7 cell lysate (20 ug/Lane)
Lane 3: Hela cell lysate (20 ug/Lane)
Lane 4: HepG2 cell lysate (20 ug/Lane)
Lane 5: 293T cell lysate (20 ug/Lane)
Lane 6: NIH/3T3 cell lysate (20 ug/Lane)
Lane 7: PC-12 cell lysate (20 ug/Lane)
Lane 8: Mouse testis tissue lysate (40 ug/Lane)
Lane 9: Mouse heart tissue lysate (40 ug/Lane)
Lane 10: Rat testis tissue lysate (40 ug/Lane)
Lane 11: Rat brain tissue lysate (40 ug/Lane)

Predicted band size: 46 kDa
Observed band size: 46 kDa

Exposure time: 30 seconds;

4-20% SDS-PAGE gel.

Proteins were transferred to a PVDF membrane and blocked with 5% NFDM/TBST for 1 hour at room temperature. The primary antibody (NBP3-32865) at 1/1,000 dilution was used in 5% NFDM/TBST at room temperature for 2 hours. Goat Anti-Rabbit IgG - HRP Secondary Antibody at 1:300,000 dilution was used for 1 hour at room temperature.
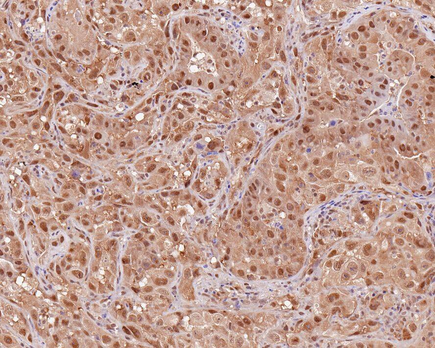
SUG1 Antibody (PSH0-22)

Immunohistochemistry: SUG1 Antibody (PSH0-22) [NBP3-32865]

Immunohistochemistry: SUG1 Antibody (PSH0-22) [NBP3-32865] - Immunohistochemical analysis of paraffin-embedded human lung carcinoma tissue with Rabbit anti-SUG1 antibody (NBP3-32865) at 1/1,000 dilution.

The section was pre-treated using heat mediated antigen retrieval with sodium citrate buffer (pH 6.0) for 2 minutes. The tissues were blocked in 1% BSA for 20 minutes at room temperature, washed with ddH2O and PBS, and then probed with the primary antibody (NBP3-32865) at 1/1,000 dilution for 1 hour at room temperature. The detection was performed using an HRP conjugated compact polymer system. DAB was used as the chromogen. Tissues were counterstained with hematoxylin and mounted with DPX.

Applications for SUG1 Antibody (PSH0-22)

Application
Recommended Usage

Immunohistochemistry-Paraffin

1:1000

Western Blot

1:1000

Formulation, Preparation, and Storage

Purification

Protein A purified

Formulation

PBS (pH7.4), 0.1% BSA and 40% Glycerol

Preservative

0.05% Sodium Azide

Concentration

1 mg/ml

Shipping

The product is shipped with polar packs. Upon receipt, store it immediately at the temperature recommended below.

Stability & Storage

Store at 4C short term. Aliquot and store at -20C long term. Avoid freeze-thaw cycles.

Background: SUG1

TRIP15 is an essential component of the COP9 signalosome complex (CSN), a complex involved in various cellular and developmental processes. The CSN complex is an essential regulator of the ubiquitin (Ubl) conjugation pathway by mediating the deneddylation of the cullin subunits of SCF-type E3 ligase complexes. The complex is also involved in phosphorylation of p53/TP53, c-jun/JUN, IkappaBalpha/NFKBIA, ITPK1 and IRF8/ICSBP. TRIP15 is also involved in early stage of neuronal differentiation via its interaction with NIF3L1.

Alternate Names

MSUG1 protein, p45, p45/SUG26S protease regulatory subunit 8, proteasome (prosome, macropain) 26S subunit, ATPase, 5, proteasome 26S ATPase subunit 5, Proteasome 26S subunit ATPase 5, Proteasome subunit p45, S8, SUG-1, SUG126S proteasome AAA-ATPase subunit RPT6, Tat-binding protein homolog 10, TBP10, thyroid receptor interactor 1, TRIP1Thyroid hormone receptor-interacting protein 1

Gene Symbol

PSMC5

Additional SUG1 Products

Product Documents for SUG1 Antibody (PSH0-22)

Certificate of Analysis

To download a Certificate of Analysis, please enter a lot number in the search box below.

Product Specific Notices for SUG1 Antibody (PSH0-22)

This product is for research use only and is not approved for use in humans or in clinical diagnosis. Primary Antibodies are guaranteed for 1 year from date of receipt.

Loading...
Loading...
Loading...
Loading...