Skip to main content

SUCLG1 Antibody (HL2387) - Azide and BSA Free

Novus Biologicals, part of Bio-Techne | Catalog # NBP3-25700

Recombinant Monoclonal Antibody
Novus Biologicals, part of Bio-Techne
Catalog #
Availability
Size / Price
Qty
Loading...
NBP3-25700

Key Product Details

Species Reactivity

Human, Mouse, Rat

Applications

Immunocytochemistry/ Immunofluorescence, Immunohistochemistry, Immunohistochemistry-Paraffin, Western Blot

Label

Unconjugated

Antibody Source

Recombinant Monoclonal Rabbit IgG Clone # HL2387 expressed in HEK293

Format

Azide and BSA Free

Concentration

Concentrations vary lot to lot. See vial label for concentration. If unlisted please contact technical services.

Product Specifications

Immunogen

Full length of human SUCLG1 protein.

Clonality

Monoclonal

Host

Rabbit

Isotype

IgG

Description

Novus Biologicals Rabbit SUCLG1 Antibody (HL2387) - Azide and BSA Free (NBP3-25700) is a recombinant monoclonal antibody validated for use in IHC, WB and ICC/IF. All Novus Biologicals antibodies are covered by our 100% guarantee.

Scientific Data Images for SUCLG1 Antibody (HL2387) - Azide and BSA Free

SUCLG1 Antibody (HL2387) - Azide and BSA Free

Western Blot: SUCLG1 Antibody (HL2387) - Azide and BSA Free [NBP3-25700] -

Western Blot: SUCLG1 Antibody (HL2387) - Azide and BSA Free [NBP3-25700] - Various whole cell extracts (30 ug) were separated by 10% SDS-PAGE, and the membrane was blotted with SUCLG1 antibody [HL2387] (NBP3-25700) diluted at 1:1000. The HRP-conjugated anti-rabbit IgG antibody was used to detect the primary antibody.
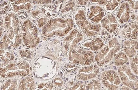
SUCLG1 Antibody (HL2387) - Azide and BSA Free

Immunohistochemistry-Paraffin: SUCLG1 Antibody (HL2387) - Azide and BSA Free [NBP3-25700] -

Immunohistochemistry-Paraffin: SUCLG1 Antibody (HL2387) - Azide and BSA Free [NBP3-25700] - SUCLG1 antibody [HL2387] detects SUCLG1 protein at mitochondria by immunohistochemical analysis. Sample: Paraffin-embedded human kidney. SUCLG1 stained by SUCLG1 antibody [HL2387] (NBP3-25700) diluted at 1:100. Antigen Retrieval: Citrate buffer, pH 6.0, 15 min
SUCLG1 Antibody (HL2387) - Azide and BSA Free

Immunocytochemistry/Immunofluorescence: SUCLG1 Antibody (HL2387) - Azide and BSA Free [NBP3-25700] -

Immunocytochemistry/Immunofluorescence: SUCLG1 Antibody (HL2387) - Azide and BSA Free [NBP3-25700] - SUCLG1 antibody [HL2387] detects SUCLG1 protein at mitochondria by immunofluorescent analysis. Sample: HeLa cells were fixed in ice-cold MeOH for 5 min. Green: SUCLG1 stained by SUCLG1 antibody [HL2387] (NBP3-25700) diluted at 1:500. Red: alpha Tubulin, a cytoskeleton marker, stained by alpha Tubulin antibody [GT114] (NBP2-43837) diluted at 1:1000. Blue: Fluoroshield with DAPI .

Applications for SUCLG1 Antibody (HL2387) - Azide and BSA Free

Application
Recommended Usage

Western Blot

1:500-1:3000

Formulation, Preparation, and Storage

Purification

Protein A purified

Formulation

PBS

Format

Azide and BSA Free

Preservative

No Preservative

Concentration

Concentrations vary lot to lot. See vial label for concentration. If unlisted please contact technical services.

Shipping

The product is shipped with polar packs. Upon receipt, store it immediately at the temperature recommended below.

Stability & Storage

Store at 4C short term. Aliquot and store at -20C long term. Avoid freeze-thaw cycles.

Background: SUCLG1

SUCLG1 - succinate-CoA ligase, GDP-forming, alpha subunit

Alternate Names

EC 6.2.1, EC 6.2.1.4, FLJ21114, FLJ43513, GALPHA, MTDPS9, SCS-alpha, succinate-CoA ligase, alpha subunit, succinate-CoA ligase, GDP-forming, alpha subunit, succinyl-CoA ligase [GDP-forming] subunit alpha, mitochondrial, Succinyl-CoA synthetase subunit alpha, SUCLA1

Gene Symbol

SUCLG1

Additional SUCLG1 Products

Product Documents for SUCLG1 Antibody (HL2387) - Azide and BSA Free

Certificate of Analysis

To download a Certificate of Analysis, please enter a lot number in the search box below.

Product Specific Notices for SUCLG1 Antibody (HL2387) - Azide and BSA Free

This product is for research use only and is not approved for use in humans or in clinical diagnosis. Primary Antibodies are guaranteed for 1 year from date of receipt.

Loading...
Loading...
Loading...
Loading...