Skip to main content

STK16 Antibody - BSA Free

Novus Biologicals, part of Bio-Techne | Catalog # NBP2-20513

Novus Biologicals, part of Bio-Techne
Catalog #
Availability
Size / Price
Qty
Loading...
NBP2-20513

Key Product Details

Species Reactivity

Human

Applications

Immunohistochemistry, Immunohistochemistry-Paraffin, Western Blot

Label

Unconjugated

Antibody Source

Polyclonal Rabbit IgG

Format

BSA Free

Concentration

Concentrations vary lot to lot. See vial label for concentration. If unlisted please contact technical services.

Product Specifications

Immunogen

Recombinant protein encompassing a sequence within the center region of human STK16. The exact sequence is proprietary.

Localization

Membrane; Lipid-anchor

Clonality

Polyclonal

Host

Rabbit

Isotype

IgG

Theoretical MW

35 kDa.
Disclaimer note: The observed molecular weight of the protein may vary from the listed predicted molecular weight due to post translational modifications, post translation cleavages, relative charges, and other experimental factors.

Description

Novus Biologicals Rabbit STK16 Antibody - BSA Free (NBP2-20513) is a polyclonal antibody validated for use in IHC and WB. All Novus Biologicals antibodies are covered by our 100% guarantee.

Scientific Data Images for STK16 Antibody - BSA Free

Western Blot: STK16 Antibody [NBP2-20513]

Western Blot: STK16 Antibody [NBP2-20513]

Western Blot: STK16 Antibody [NBP2-20513] - Sample (30 ug of whole cell lysate) A: Raji 12% SDS PAGE gel, diluted at 1:1000.
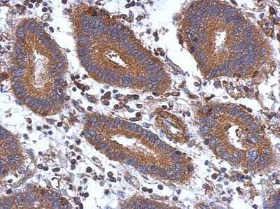
Immunohistochemistry-Paraffin: STK16 Antibody [NBP2-20513]

Immunohistochemistry-Paraffin: STK16 Antibody [NBP2-20513]

Immunohistochemistry-Paraffin: STK16 Antibody [NBP2-20513] - Immunohistochemical analysis of paraffin-embedded Colon ca, using antibody at 1:500 dilution.

Applications for STK16 Antibody - BSA Free

Application
Recommended Usage

Immunohistochemistry

10 - 1:500

Immunohistochemistry-Paraffin

1:100-1:1000

Western Blot

1:500-1:3000

Formulation, Preparation, and Storage

Purification

Antigen Affinity-purified

Formulation

0.1M Tris, 0.1M Glycine, 20% Glycerol

Format

BSA Free

Preservative

0.01% Thimerosal

Concentration

Concentrations vary lot to lot. See vial label for concentration. If unlisted please contact technical services.

Shipping

The product is shipped with polar packs. Upon receipt, store it immediately at the temperature recommended below.

Stability & Storage

Aliquot and store at -20C or -80C. Avoid freeze-thaw cycles.

Background: STK16

Protein kinase that act on both serine and threonine residues.

Long Name

Serine/threonine-protein kinase 16

Alternate Names

hPSK, MPSK, MPSK1, PKL12, TSF-1, TSF1

Gene Symbol

STK16

UniProt

Additional STK16 Products

Product Documents for STK16 Antibody - BSA Free

Certificate of Analysis

To download a Certificate of Analysis, please enter a lot number in the search box below.

Product Specific Notices for STK16 Antibody - BSA Free

This product is for research use only and is not approved for use in humans or in clinical diagnosis. Primary Antibodies are guaranteed for 1 year from date of receipt.

Loading...
Loading...
Loading...
Loading...

⚠ WARNING: This product can expose you to chemicals including mercury, which is known to the State of California to cause reproductive toxicity with developmental effects.  For more information go to www.P65Warnings.ca.gov.