Skip to main content

STI1 Antibody - BSA Free

Novus Biologicals, part of Bio-Techne | Catalog # NBP2-33411

Novus Biologicals, part of Bio-Techne
Catalog #
Availability
Size / Price
Qty
Loading...
NBP2-33411
NBP2-33411-25ul

Key Product Details

Validated by

Independent Antibodies

Species Reactivity

Validated:

Human

Predicted:

Mouse (99%), Rat (98%). Backed by our 100% Guarantee.

Applications

Immunohistochemistry, Immunohistochemistry-Paraffin, Western Blot

Label

Unconjugated

Antibody Source

Polyclonal Rabbit IgG

Format

BSA Free

Concentration

Concentrations vary lot to lot. See vial label for concentration. If unlisted please contact technical services.

Product Specifications

Immunogen

This antibody was developed against a recombinant protein corresponding to amino acids: YARIGNSYFKEEKYKDAIHFYNKSLAEHRTPDVLKKCQQAEKILKEQERLAYINPDLALEEKNKGNECFQKGDYPQAMKHYTEAIKRNPKDAKLYS

Clonality

Polyclonal

Host

Rabbit

Isotype

IgG

Description

Novus Biologicals Rabbit STI1 Antibody - BSA Free (NBP2-33411) is a polyclonal antibody validated for use in IHC and WB. All Novus Biologicals antibodies are covered by our 100% guarantee.

Scientific Data Images for STI1 Antibody - BSA Free

Western Blot: STI1 Antibody [NBP2-33411]

Western Blot: STI1 Antibody [NBP2-33411]

Western Blot: STI1 Antibody [NBP2-33411] - Analysis using Anti-STIP1 antibody NBP2-33411 (A) shows similar pattern to independent antibody NBP2-32621 (B).
Immunohistochemistry-Paraffin: STI1 Antibody [NBP2-33411]

Immunohistochemistry-Paraffin: STI1 Antibody [NBP2-33411]

Immunohistochemistry-Paraffin: STI1 Antibody [NBP2-33411] - Staining of human cerebral cortex.
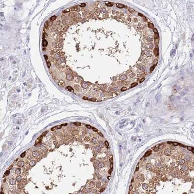
Immunohistochemistry-Paraffin: STI1 Antibody [NBP2-33411]

Immunohistochemistry-Paraffin: STI1 Antibody [NBP2-33411]

Immunohistochemistry-Paraffin: STI1 Antibody [NBP2-33411] - Staining of human testis shows strong cytoplasmic positivity in basal cells of the seminiferous ducts.

Applications for STI1 Antibody - BSA Free

Application
Recommended Usage

Immunohistochemistry

1:200 - 1:500

Immunohistochemistry-Paraffin

1:200 - 1:500

Western Blot

0.04-0.4 ug/ml
Application Notes
For IHC-Paraffin, HIER pH 6 retrieval is recommended.

Formulation, Preparation, and Storage

Purification

Immunogen affinity purified

Formulation

PBS (pH 7.2) and 40% Glycerol

Format

BSA Free

Preservative

0.02% Sodium Azide

Concentration

Concentrations vary lot to lot. See vial label for concentration. If unlisted please contact technical services.

Shipping

The product is shipped with polar packs. Upon receipt, store it immediately at the temperature recommended below.

Stability & Storage

Store at 4C short term. Aliquot and store at -20C long term. Avoid freeze-thaw cycles.

Background: STI1

STIP1 is an adaptor protein that coordinates the functions of HSP70 (see HSPA1A; MIM 140550) and HSP90 (see HSP90AA1; MIM 140571) in protein folding. It is thought to assist in the transfer of proteins from HSP70 to HSP90 by binding both HSP90 and substrate-bound HSP70. STIP1 also stimulates the ATPase activity of HSP70 and inhibits the ATPase activity of HSP90, suggesting that it regulates both the conformations and ATPase cycles of these chaperones (Song and Masison, 2005 (PubMed 16100115)).(supplied by OMIM)

Long Name

Stress-induced Phosphoprotein 1

Alternate Names

HOP, IEF-SSP-3521, NY-REN-11, STI1L, STIP1

Gene Symbol

STIP1

UniProt

Additional STI1 Products

Product Documents for STI1 Antibody - BSA Free

Certificate of Analysis

To download a Certificate of Analysis, please enter a lot number in the search box below.

Product Specific Notices for STI1 Antibody - BSA Free

This product is for research use only and is not approved for use in humans or in clinical diagnosis. Primary Antibodies are guaranteed for 1 year from date of receipt.

Loading...
Loading...
Loading...
Loading...