Skip to main content

STI1 Antibody (4S8L6)

Novus Biologicals, part of Bio-Techne | Catalog # NBP3-15246

Recombinant Monoclonal Antibody
Novus Biologicals, part of Bio-Techne
Catalog #
Availability
Size / Price
Qty
Loading...
NBP3-15246-100ul
NBP3-15246-20ul

Key Product Details

Species Reactivity

Human, Mouse, Rat

Applications

Immunohistochemistry, Immunohistochemistry-Paraffin, Western Blot

Label

Unconjugated

Antibody Source

Recombinant Monoclonal Rabbit IgG Clone # 4S8L6 expressed in HEK293

Concentration

Please see the vial label for concentration. If unlisted please contact technical services.

Product Specifications

Immunogen

Recombinant fusion protein containing a sequence corresponding to amino acids 2-98 of human STI1 (P31948). EQVNELKEKGNKALSVGNIDDALQCYSEAIKLDPHNHVLYSNRSAAYAKKGDYQKAYEDGCKTVDLKPDWGKGYSRKAAALEFLNRFEEAKRTYEEG

Clonality

Monoclonal

Host

Rabbit

Isotype

IgG

Description

Novus Biologicals Rabbit STI1 Antibody (4S8L6) (NBP3-15246) is a recombinant monoclonal antibody validated for use in IHC and WB. All Novus Biologicals antibodies are covered by our 100% guarantee.

Scientific Data Images for STI1 Antibody (4S8L6)

Western Blot: STI1 Antibody (4S8L6) [NBP3-15246]

Western Blot: STI1 Antibody (4S8L6) [NBP3-15246]

Western Blot: STI1 Antibody (4S8L6) [NBP3-15246] - Western blot analysis of extracts of various cell lines, using STI1 Rabbit mAb (NBP3-15246) at 1:1000 dilution. Secondary antibody: HRP Goat Anti-Rabbit IgG (H+L) at 1:10000 dilution. Lysates/proteins: 25ug per lane. Blocking buffer: 3% nonfat dry milk in TBST. Detection: ECL Basic Kit. Exposure time: 1s.
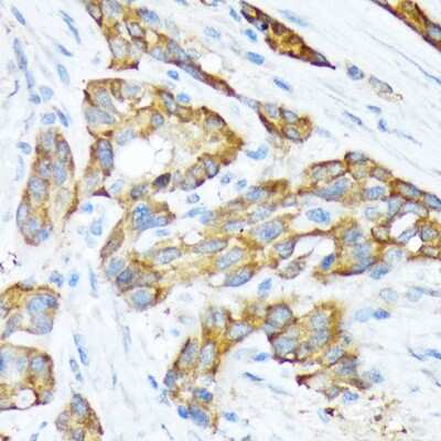
Immunohistochemistry-Paraffin: STI1 Antibody (4S8L6) [NBP3-15246]

Immunohistochemistry-Paraffin: STI1 Antibody (4S8L6) [NBP3-15246]

Immunohistochemistry-Paraffin: STI1 Antibody (4S8L6) [NBP3-15246] - Immunohistochemistry of paraffin-embedded mouse testis using STI1 Rabbit mAb (NBP3-15246) at dilution of 1:100 (40x lens).Perform microwave antigen retrieval with 10 mM Tris/EDTA buffer pH 9.0 before commencing with IHC staining protocol.
Western Blot: STI1 Antibody (4S8L6) [NBP3-15246]

Western Blot: STI1 Antibody (4S8L6) [NBP3-15246]

Western Blot: STI1 Antibody (4S8L6) [NBP3-15246] - Western blot analysis of extracts of various cell lines, using STI1 Rabbit mAb (NBP3-15246) at 1:1000 dilution. Secondary antibody: HRP Goat Anti-Rabbit IgG (H+L) at 1:10000 dilution. Lysates/proteins: 25ug per lane. Blocking buffer: 3% nonfat dry milk in TBST. Detection: ECL Basic Kit. Exposure time: 10s.

Applications for STI1 Antibody (4S8L6)

Application
Recommended Usage

Immunohistochemistry

1:50 - 1:200

Western Blot

1:500 - 1:2000

Formulation, Preparation, and Storage

Purification

Affinity purified

Formulation

PBS (pH 7.3), 50% glycerol, 0.05% BSA

Preservative

0.02% Sodium Azide

Concentration

Please see the vial label for concentration. If unlisted please contact technical services.

Shipping

The product is shipped with polar packs. Upon receipt, store it immediately at the temperature recommended below.

Stability & Storage

Store at -20C. Avoid freeze-thaw cycles.

Background: STI1

STIP1 is an adaptor protein that coordinates the functions of HSP70 (see HSPA1A; MIM 140550) and HSP90 (see HSP90AA1; MIM 140571) in protein folding. It is thought to assist in the transfer of proteins from HSP70 to HSP90 by binding both HSP90 and substrate-bound HSP70. STIP1 also stimulates the ATPase activity of HSP70 and inhibits the ATPase activity of HSP90, suggesting that it regulates both the conformations and ATPase cycles of these chaperones (Song and Masison, 2005 (PubMed 16100115)).(supplied by OMIM)

Long Name

Stress-induced Phosphoprotein 1

Alternate Names

HOP, IEF-SSP-3521, NY-REN-11, STI1L, STIP1

Gene Symbol

STIP1

Additional STI1 Products

Product Documents for STI1 Antibody (4S8L6)

Certificate of Analysis

To download a Certificate of Analysis, please enter a lot number in the search box below.

Product Specific Notices for STI1 Antibody (4S8L6)

This product is for research use only and is not approved for use in humans or in clinical diagnosis. Primary Antibodies are guaranteed for 1 year from date of receipt.

Loading...
Loading...
Loading...
Loading...