Skip to main content

STEAP1 Antibody - BSA Free

Novus Biologicals, part of Bio-Techne | Catalog # NBP1-76821

Novus Biologicals, part of Bio-Techne

Key Product Details

Species Reactivity

Validated:

Human, Mouse, Rat

Predicted:

Porcine (94%). Backed by our 100% Guarantee.

Applications

Immunohistochemistry, Immunohistochemistry-Paraffin, Western Blot, ELISA

Label

Unconjugated

Antibody Source

Polyclonal Rabbit IgG

Format

BSA Free

Concentration

1 mg/ml

Product Specifications

Immunogen

Antibody was raised against a 18 amino acid synthetic peptide from near the carboxy terminus of human STEAP1. The immunogen is located within the last 50 amino acids of STEAP1. Amino Acid Squence: CLRKKILKIRHGWEDVTK

Specificity

This STEAP1 antibody does not cross-react with other STEAP proteins.

Clonality

Polyclonal

Host

Rabbit

Isotype

IgG

Scientific Data Images for STEAP1 Antibody - BSA Free

Western Blot: STEAP1 AntibodyBSA Free [NBP1-76821]

Western Blot: STEAP1 AntibodyBSA Free [NBP1-76821]

Western Blot: STEAP1 Antibody [NBP1-76821] - Human spleen tissue lysate with STEAP1 antibody at (A) 1 and (B) 2 ug/mL.
STEAP1 Antibody - BSA Free

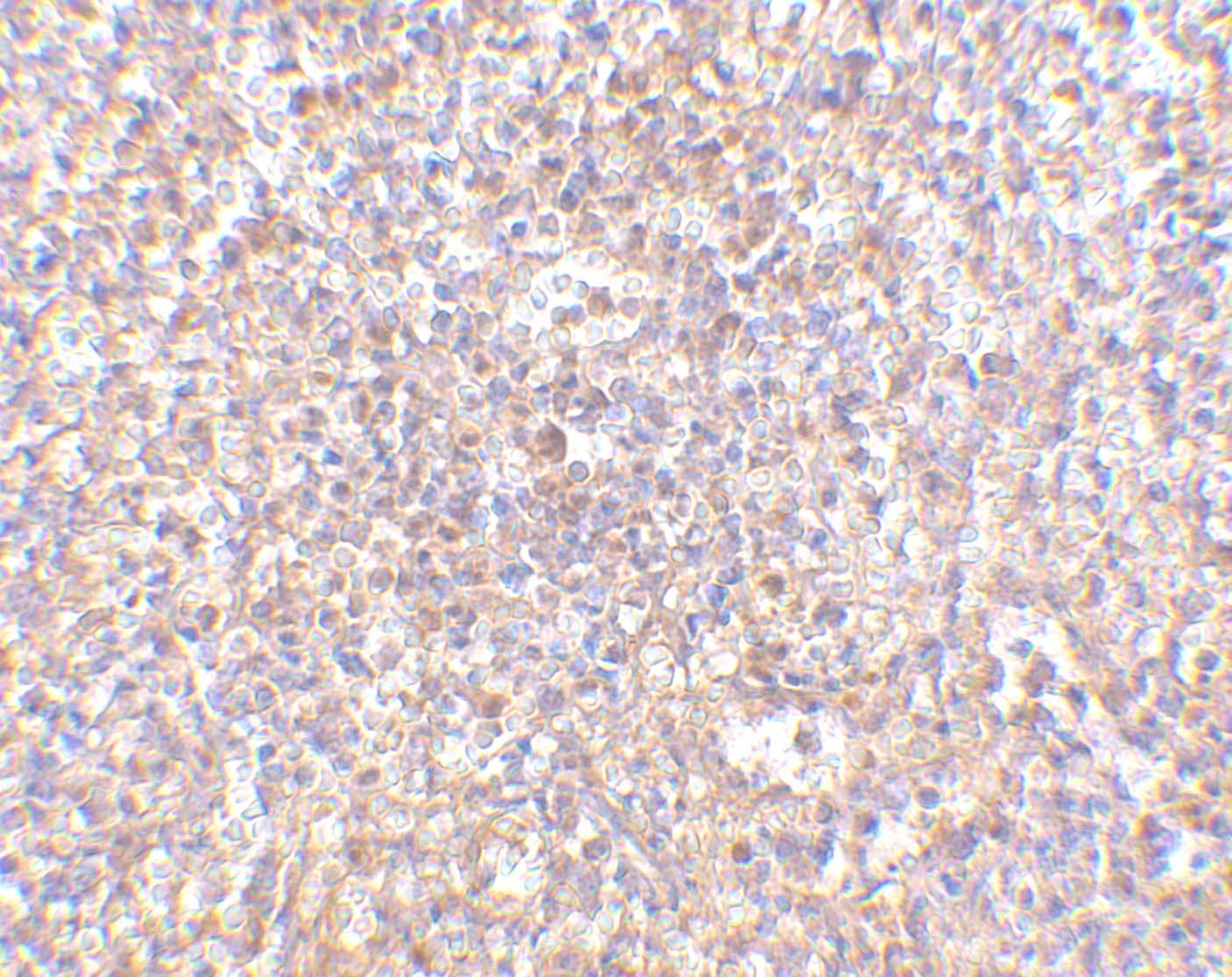
Immunohistochemistry: STEAP1 Antibody - BSA Free [NBP1-76821] -

Immunohistochemistry: STEAP1 Antibody - BSA Free [NBP1-76821] - Immunohistochemistry of STEAP1 in human spleen tissue with STEAP1 antibody at 2.5 ug/mL.

Applications for STEAP1 Antibody - BSA Free

Application
Recommended Usage

ELISA

1:100-1:2000

Immunohistochemistry

2.5 ug/ml

Immunohistochemistry-Paraffin

2.5 ug/ml

Western Blot

1-2 ug/ml

Formulation, Preparation, and Storage

Purification

Peptide affinity purified

Formulation

PBS

Format

BSA Free

Preservative

0.02% Sodium Azide

Concentration

1 mg/ml

Shipping

The product is shipped with polar packs. Upon receipt, store it immediately at the temperature recommended below.

Stability & Storage

Store at 4C short term. Aliquot and store at -20C long term. Avoid freeze-thaw cycles.

Background: STEAP1

The six-transmembrane epithelial antigen of prostate 1 (STEAP1) was the first member of a family of metalloreductases identified as cell-surface antigens in prostate tissue. The normal function of STEAP is still uncertain; unlike other members of the STEAP family, STEAP1 does not promote iron or copper reduction or uptake and lacks the FNO-like reductase domain critical for activity. However, its expression is highly increased in multiple cancer cell lines, including prostate, bladder, colon, and ovarian cancers. Supporting this is evidence that STEAP1 peptides can be used to stimulate CD8+ T cells from healthy donors, enabling them to recognize STEAP1-positive human tumor cells, suggesting that STEAP1 may a potential target for cancer immunotherapy. At least three isoforms of STEAP1 are known to exist. This STEAP1 antibody does not cross-react with other STEAP proteins.

Long Name

Six Transmembrane Epithelial Antigen of the Prostate 1

Alternate Names

PRSS24

Gene Symbol

STEAP1

Additional STEAP1 Products

Product Documents for STEAP1 Antibody - BSA Free

Certificate of Analysis

To download a Certificate of Analysis, please enter a lot number in the search box below.

Product Specific Notices for STEAP1 Antibody - BSA Free

This product is for research use only and is not approved for use in humans or in clinical diagnosis. Primary Antibodies are guaranteed for 1 year from date of receipt.

Loading...
Loading...
Loading...
Loading...