STEAP1 Antibody (J2D2) - BSA Free
Novus Biologicals, part of Bio-Techne | Catalog # NBP1-07094
Conjugate
Catalog #
Key Product Details
Species Reactivity
Human, Mouse
Applications
Immunohistochemistry, Immunohistochemistry-Paraffin, Western Blot, ELISA, Immunocytochemistry/ Immunofluorescence
Label
Unconjugated
Antibody Source
Monoclonal Mouse IgG2b Kappa Clone # J2D2
Format
BSA Free
Concentration
1.0 mg/ml
Product Specifications
Immunogen
Recombinant human STEAP1 (1-70aa) purified from E. coli (NP_036581).
Clonality
Monoclonal
Host
Mouse
Isotype
IgG2b Kappa
Scientific Data Images for STEAP1 Antibody (J2D2) - BSA Free
Immunocytochemistry/ Immunofluorescence: STEAP1 Antibody (J2D2) - BSA Free [NBP1-07094]
Immunocytochemistry/Immunofluorescence: STEAP1 Antibody (J2D2) [NBP1-07094] - staining of human LNCap cell colony with monoclonalanti-human STEAP1 antibody (J2D2) .Immunohistochemistry-Paraffin: STEAP1 Antibody (J2D2) - BSA Free [NBP1-07094]
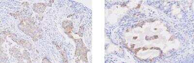
Immunohistochemistry-Paraffin: STEAP1 Antibody (J2D2) [NBP1-07094] - Paraffin embedded sections of human breast cancer and prostate hyperplasia tissue were incubated with anti-human STEAP1 (1:50) for 2 hours at room temperature. Antigen retrieval was performed in 0.1M sodium citrate buffer and detected using Diaminobenzidine (DAB). Human breast cancer tissue (left) and prostate hyperplasia tissue (right).Western Blot: STEAP1 Antibody (J2D2) [NBP1-07094] -
Western Blot: STEAP1 Antibody (J2D2) [NBP1-07094] - The cell lysates (30ug) and tissue lysates (30ug) were resolved by SDS-PAGE, transferred to PVDF membrane and probed with NBP1-07094 (1:500). Proteins were visualized using a goat anti-mouse secondary antibody conjugated to HRP and an ECL detection system. Lane 1: LNcap cell lysate, Lane 2: Mouse Testis Tissue lysateApplications for STEAP1 Antibody (J2D2) - BSA Free
Application
Recommended Usage
ELISA
1:100-1:2000
Immunocytochemistry/ Immunofluorescence
1:100
Immunohistochemistry
1:10-1:500
Immunohistochemistry-Paraffin
1:50SDS-PAGE 1:100-1:2000
Western Blot
1:1000-1:2000
Application Notes
For IHC-P: Antigen retrieval was performed in 0.1M sodium citrate buffer and detected using Diaminobenzidine (DAB).
Formulation, Preparation, and Storage
Purification
Protein G purified
Formulation
PBS (pH 7.4), 10% Glycerol
Format
BSA Free
Preservative
0.02% Sodium Azide
Concentration
1.0 mg/ml
Shipping
The product is shipped with polar packs. Upon receipt, store it immediately at the temperature recommended below.
Stability & Storage
Store at 4C short term. Aliquot and store at -20C long term. Avoid freeze-thaw cycles.
Background: STEAP1
Long Name
Six Transmembrane Epithelial Antigen of the Prostate 1
Alternate Names
PRSS24
Entrez Gene IDs
26872 (Human)
Gene Symbol
STEAP1
UniProt
Additional STEAP1 Products
Product Documents for STEAP1 Antibody (J2D2) - BSA Free
Product Specific Notices for STEAP1 Antibody (J2D2) - BSA Free
This product is for research use only and is not approved for use in humans or in clinical diagnosis. Primary Antibodies are guaranteed for 1 year from date of receipt.
Loading...
Loading...
Loading...
Loading...
Loading...