Skip to main content

STAT1 Antibody - BSA Free

Novus Biologicals, part of Bio-Techne | Catalog # NB100-56314

Novus Biologicals, part of Bio-Techne
Catalog #
Availability
Size / Price
Qty
Loading...
NB100-56314
NB100-56314SS

Key Product Details

Species Reactivity

Validated:

Human, Mouse, Porcine, Canine, Primate

Cited:

Human

Applications

Validated:

Immunohistochemistry-Paraffin, Western Blot, Immunocytochemistry/ Immunofluorescence

Cited:

Western Blot

Label

Unconjugated

Antibody Source

Polyclonal Rabbit IgG

Format

BSA Free

Concentration

1.0 mg/ml

Product Specifications

Immunogen

A synthetic peptide sequence corresponding to amino acids between 700 and 750 of human Stat1 was used as immunogen. This sequence is 100% conserved between Stat1 alpha and Stat1 beta.

Specificity

This antibody is able to detect both the alpha form (p91, ~91 kD) and the beta form (p84, ~84 kD) of STAT1.

Clonality

Polyclonal

Host

Rabbit

Isotype

IgG

Scientific Data Images for STAT1 Antibody - BSA Free

Western Blot: STAT1 Antibody [NB100-56314]

Western Blot: STAT1 Antibody [NB100-56314]

Western Blot: STAT1 Antibody [NB100-56314] - Western blot analysis of STAT1 in HeLa cell lysate using NB100-56314.
Immunocytochemistry/ Immunofluorescence: STAT1 Antibody [NB100-56314]

Immunocytochemistry/ Immunofluorescence: STAT1 Antibody [NB100-56314]

Immunocytochemistry/Immunofluorescence: STAT1 Antibody [NB100-56314] - RH30 cells were fixed in 4% paraformaldehyde for 10 minutes and permeabilized in 0.05% Triton X-100 in PBS for 5 minutes. The cells were incubated with anti-STAT1 Antibody NB100-56314 at 2 ug/ml overnight at 4C and detected with an anti-rabbit Dylight 488 (Green) at a 1:1000 dilution for 60 minutes. Nuclei were counterstained with DAPI (Blue). Cells were imaged using a 100X objective and digitally deconvolved.
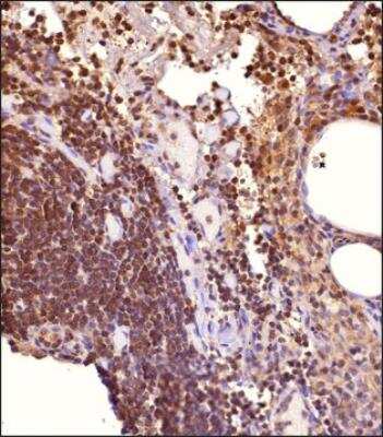
Immunohistochemistry-Paraffin: STAT1 Antibody [NB100-56314]

Immunohistochemistry-Paraffin: STAT1 Antibody [NB100-56314]

Immunohistochemistry-Paraffin: STAT1 Antibody [NB100-56314] - Analysis of a FFPE tissue section of human lymph node using 1:200 dilution of STAT1 antibody. The staining was developed using HRP labeled anti-rabbit secondary antibody and DAB reagent, and nuclei of cells were counter-stained with hematoxylin. Strong nuclear staining in germinal center and surrounding cells along with cytoplasmic reactivity was observed.

Applications for STAT1 Antibody - BSA Free

Application
Recommended Usage

Immunocytochemistry/ Immunofluorescence

1-5 ug/ml

Western Blot

1-2 ug/ml

Formulation, Preparation, and Storage

Purification

Protein G purified

Formulation

PBS

Format

BSA Free

Preservative

0.05% Sodium Azide

Concentration

1.0 mg/ml

Shipping

The product is shipped with polar packs. Upon receipt, store it immediately at the temperature recommended below.

Stability & Storage

Store at 4C short term. Aliquot and store at -20C long term. Avoid freeze-thaw cycles.

Background: STAT1

STATs (signal transducers and activators of transcription) are a family of cytoplasmic latent transcription factors that are activated to regulate gene expression in response to a large number of extracellular signaling polypeptides including cytokines, interferons, and growth factors. STAT1 is involved in the TNFR1-TRADD signaling complex. In Hela cells STAT1 acts as a TNFR1-signaling molecule to suppress NF-kB activation. It has also been shown that its activation slows growth and promotes apoptosis.

Long Name

Signal Transducer and Activator of Transcription 1

Alternate Names

CANDF7, ISGF-3, STAT91

Entrez Gene IDs

20846 (Mouse)

Gene Symbol

STAT1

Additional STAT1 Products

Product Documents for STAT1 Antibody - BSA Free

Certificate of Analysis

To download a Certificate of Analysis, please enter a lot number in the search box below.

Product Specific Notices for STAT1 Antibody - BSA Free

This product is for research use only and is not approved for use in humans or in clinical diagnosis. Primary Antibodies are guaranteed for 1 year from date of receipt.

Loading...
Loading...
Loading...
Loading...