Skip to main content

STAT1 Antibody (OTI4H9) - Azide and BSA Free

Novus Biologicals, part of Bio-Techne | Catalog # NBP2-74375

Novus Biologicals, part of Bio-Techne

Key Product Details

Species Reactivity

Human, Mouse, Rat, Canine, Monkey, Primate

Applications

Immunohistochemistry, Immunohistochemistry-Paraffin, Western Blot, Immunocytochemistry/ Immunofluorescence

Label

Unconjugated

Antibody Source

Monoclonal Mouse IgG1 Clone # OTI4H9

Format

Azide and BSA Free

Concentration

LYOPH mg/ml

Product Specifications

Immunogen

Full length human recombinant protein of human STAT1 (NP_009330) produced in HEK293T cell.

Reactivity Notes

Please note that this antibody is reactive to Mouse and derived from the same host, Mouse. Mouse-On-Mouse blocking reagent may be needed for IHC and ICC experiments to reduce high background signal. You can find these reagents under catalog numbers PK-2200-NB and MP-2400-NB. Please contact Technical Support if you have any questions.

Clonality

Monoclonal

Host

Mouse

Isotype

IgG1

Theoretical MW

82.9 kDa.
Disclaimer note: The observed molecular weight of the protein may vary from the listed predicted molecular weight due to post translational modifications, post translation cleavages, relative charges, and other experimental factors.

Description

Novus Biologicals Mouse STAT1 Antibody (OTI4H9) - Azide and BSA Free (NBP1-48011) is a monoclonal antibody validated for use in IHC, WB and ICC/IF. All Novus Biologicals antibodies are covered by our 100% guarantee.

Scientific Data Images for STAT1 Antibody (OTI4H9) - Azide and BSA Free

Western Blot: STAT1 Antibody (OTI4H9)Azide and BSA Free [NBP2-74375]

Western Blot: STAT1 Antibody (OTI4H9)Azide and BSA Free [NBP2-74375]

Western Blot: STAT1 Antibody (OTI4H9) - Azide and BSA Free [NBP2-74375] - HEK293T cells were transfected with the pCMV6-ENTRY control (Left lane) or pCMV6-ENTRY STAT1 (Right lane) cDNA for 48 hrs and lysed. Equivalent amounts of cell lysates (5 ug per lane) were separated by SDS-PAGE and immunoblotted with anti-STAT1.
Immunocytochemistry/ Immunofluorescence: STAT1 Antibody (OTI4H9) - Azide and BSA Free [NBP2-74375]

Immunocytochemistry/ Immunofluorescence: STAT1 Antibody (OTI4H9) - Azide and BSA Free [NBP2-74375]

Immunocytochemistry/Immunofluorescence: STAT1 Antibody (OTI4H9) - Azide and BSA Free [NBP2-74375] - Staining of COS7 cells transiently transfected by pCMV6-ENTRY STAT1.
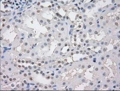
Immunohistochemistry: STAT1 Antibody (OTI4H9) - Azide and BSA Free [NBP2-74375]

Immunohistochemistry: STAT1 Antibody (OTI4H9) - Azide and BSA Free [NBP2-74375]

Immunohistochemistry: STAT1 Antibody (OTI4H9) - Azide and BSA Free [NBP2-74375] - Staining of paraffin-embedded Human endometrium tissue using anti-STAT1 mouse monoclonal antibody.

Applications for STAT1 Antibody (OTI4H9) - Azide and BSA Free

Application
Recommended Usage

Immunocytochemistry/ Immunofluorescence

1:50-100

Immunohistochemistry

1:50

Western Blot

1:1000-2000

Formulation, Preparation, and Storage

Purification

Immunogen affinity purified

Reconstitution

we recommend adding 100uL distilled water to a final antibody concentration of about 1 mg/mL. To use this carrier-free antibody for conjugation experiment, we strongly recommend performing another round of desalting process.

Formulation

Lyophilized from PBS (pH 7.3) with 8% Trehalose

Format

Azide and BSA Free

Preservative

No Preservative

Concentration

LYOPH mg/ml

Shipping

The product is shipped with polar packs. Upon receipt, store it immediately at the temperature recommended below.

Stability & Storage

Store at -20C. Avoid freeze-thaw cycles.

Background: STAT1

STATs (signal transducers and activators of transcription) are a family of cytoplasmic latent transcription factors that are activated to regulate gene expression in response to a large number of extracellular signaling polypeptides including cytokines, interferons, and growth factors. After phosphorylation by JAK tyrosine kinases, STATs enter the nucleus to regulate transcription of many different genes. Among the seven STATs (Stat1, Stat2, Stat3, Stat4, Stat5a, Stat5b, and Stat6), Stat1, Stat3, Stat5a, and Stat5b have a wide activation profile. STAT1 is activated by many different ligands including IFN family (IFN-a, IFN-b, IFN-g and IL-10), gp130 family (IL-6, IL-11, LIF, CNTF, and G-CSF), and receptor tyrosine kinases (EGF, PDGF, and CSF-1). STAT1 has two forms, the 91 kDa STAT1a and the 84 kDa STAT1b which are encoded by the same gene with splicing variant.

Long Name

Signal Transducer and Activator of Transcription 1

Alternate Names

CANDF7, ISGF-3, STAT91

Gene Symbol

STAT1

Additional STAT1 Products

Product Documents for STAT1 Antibody (OTI4H9) - Azide and BSA Free

Certificate of Analysis

To download a Certificate of Analysis, please enter a lot number in the search box below.

Product Specific Notices for STAT1 Antibody (OTI4H9) - Azide and BSA Free

This product is for research use only and is not approved for use in humans or in clinical diagnosis. Primary Antibodies are guaranteed for 1 year from date of receipt.

Loading...
Loading...
Loading...
Loading...
Loading...