Skip to main content

SSB Antibody - BSA Free

Novus Biologicals, part of Bio-Techne | Catalog # NBP3-35080

Novus Biologicals, part of Bio-Techne
Catalog #
Availability
Size / Price
Qty
Loading...
NBP3-35080-100ul
NBP3-35080-20ul

Key Product Details

Species Reactivity

Human

Applications

ELISA, Immunocytochemistry/ Immunofluorescence, Immunohistochemistry, Immunohistochemistry-Paraffin, Immunoprecipitation, Western Blot

Label

Unconjugated

Antibody Source

Polyclonal Rabbit IgG

Format

BSA Free

Concentration

Please see the vial label for concentration. If unlisted please contact technical services.

Product Specifications

Immunogen

Recombinant fusion protein containing a sequence corresponding to amino acids 166-408 of human SSB (NP_003133.1).

Sequence:
KFVETPGQKYKETDLLILFKDDYFAKKNEERKQNKVEAKLRAKQEQEAKQKLEEDAEMKSLEEKIGCLLKFSGDLDDQTCREDLHILFSNHGEIKWIDFVRGAKEGIILFKEKAKEALGKAKDANNGNLQLRNKEVTWEVLEGEVEKEALKKIIEDQQESLNKWKSKGRRFKGKGKGNKAAQPGSGKGKVQFQGKKTKFASDDEHDEHDENGATGPVKRAREETDKEEPASKQQKTENGAGDQ

Clonality

Polyclonal

Host

Rabbit

Isotype

IgG

Theoretical MW

47 kDa.
Disclaimer note: The observed molecular weight of the protein may vary from the listed predicted molecular weight due to post translational modifications, post translation cleavages, relative charges, and other experimental factors.

Description

Novus Biologicals Rabbit SSB Antibody - BSA Free (NBP3-35080) is a polyclonal antibody validated for use in IHC, WB, ELISA, ICC/IF and IP. All Novus Biologicals antibodies are covered by our 100% guarantee.

Scientific Data Images for SSB Antibody - BSA Free

SSB Antibody

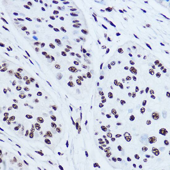
Immunohistochemistry: SSB Antibody [NBP3-35080] -

Immunohistochemistry: SSB Antibody [NBP3-35080] - Immunohistochemistry analysis of paraffin-embedded Human lung cancer using SSB Rabbit pAb at dilution of 1:300 (40x lens). High pressure antigen retrieval performed with 0.01M Citrate Bufferr (pH 6.0) prior to IHC staining.
SSB Antibody

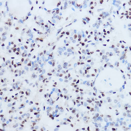
Immunoprecipitation: SSB Antibody [NBP3-35080] -

Immunoprecipitation: SSB Antibody [NBP3-35080] - Immunoprecipitation analysis of 200 ug extracts of Jurkat cells using 3 ug SSB antibody. Western blot was performed from the immunoprecipitate using SSB antibody at a dilution of 1:1000.
SSB Antibody

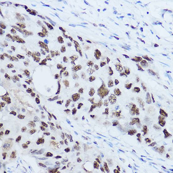
Immunohistochemistry: SSB Antibody [NBP3-35080] -

Immunohistochemistry: SSB Antibody [NBP3-35080] - Immunohistochemistry analysis of paraffin-embedded Human thyroid cancer using SSB Rabbit pAb at dilution of 1:300 (40x lens). High pressure antigen retrieval performed with 0.01M Citrate Bufferr (pH 6.0) prior to IHC staining.

Applications for SSB Antibody - BSA Free

Application
Recommended Usage

Immunocytochemistry/ Immunofluorescence

1:50 - 1:200

Immunohistochemistry-Paraffin

1:100 - 1:500

Immunoprecipitation

0.5ug - 4ug antibody for 200ug - 400ug extracts of whole cells

Western Blot

1:500 - 1:1000

Formulation, Preparation, and Storage

Purification

Affinity purified

Formulation

PBS (pH 7.3), 50% glycerol

Format

BSA Free

Preservative

0.02% Sodium Azide

Concentration

Please see the vial label for concentration. If unlisted please contact technical services.

Shipping

The product is shipped with polar packs. Upon receipt, store it immediately at the temperature recommended below.

Stability & Storage

Store at -20C. Avoid freeze-thaw cycles.

Background: SSB

Members of the suppressor of cytokine signaling (SOCS) family of proteins contain C-terminal regions of homology called the SOCS box, which serves to couple SOCS proteins and their binding partners with the Elongin B and C complex, thereby mediating protein degradation. Several other families of proteins also contain SOCS boxes, but differ from the SOCS proteins in the type of domain they contain upstream of the SOCS box. SSB-2 (SplA/ryanodine (SPRY) receptor domain-containing SOCS box protein 2), also known as GGRCC9 (gene-rich cluster protein C9), SPSB2 or MGC2519, is a cytoplasmic protein belonging to the SPSB family of proteins that contain a central SPRY domain and a C-terminal SOCS box. The SPRY domain is believed to be a protein-protein interaction motif. Members of the SPSB family are capable of interacting with Met (a receptor for hepatocyte growth factors (HGFs)), and SSB-1 is known to promote HGF signaling. SSB-1, SSB-2 and SSB-4 are also able to interact with PAR4 (prostate apoptosis response protein 4). Mutations in the genes encoding SPSB proteins are associated with several human diseases.

Alternate Names

La autoantigen, La ribonucleoprotein, lupus La protein, member 3, Sjoegren syndrome type B antigen, Sjogren syndrome antigen B (autoantigen La), SS-B, SS-B/La protein

Gene Symbol

SSB

Additional SSB Products

Product Documents for SSB Antibody - BSA Free

Certificate of Analysis

To download a Certificate of Analysis, please enter a lot number in the search box below.

Product Specific Notices for SSB Antibody - BSA Free

This product is for research use only and is not approved for use in humans or in clinical diagnosis. Primary Antibodies are guaranteed for 1 year from date of receipt.

Loading...
Loading...
Loading...
Loading...