Skip to main content

SRPX Antibody - BSA Free

Novus Biologicals, part of Bio-Techne | Catalog # NBP1-77086

Novus Biologicals, part of Bio-Techne

Key Product Details

Species Reactivity

Validated:

Human, Mouse, Rat

Cited:

Human

Applications

Validated:

Immunohistochemistry, Immunohistochemistry-Paraffin, Western Blot, ELISA, Immunocytochemistry/ Immunofluorescence

Cited:

IF/IHC

Label

Unconjugated

Antibody Source

Polyclonal Rabbit IgG

Format

BSA Free

Concentration

1 mg/ml

Product Specifications

Immunogen

Antibody was raised against a 13 amino acid synthetic peptide from near the amino terminus of human SRPX1. The immunogen is located within amino acids 30 - 80 of SRPX1. Amino Acid Squence: VGYSHPRYKDTPW

Clonality

Polyclonal

Host

Rabbit

Isotype

IgG

Description

Novus Biologicals Rabbit SRPX Antibody - BSA Free (NBP1-77086) is a polyclonal antibody validated for use in IHC, WB, ELISA and ICC/IF. Anti-SRPX Antibody: Cited in 1 publication. All Novus Biologicals antibodies are covered by our 100% guarantee.

Scientific Data Images for SRPX Antibody - BSA Free

Western Blot: SRPX AntibodyBSA Free [NBP1-77086]

Western Blot: SRPX AntibodyBSA Free [NBP1-77086]

Western Blot: SRPX Antibody [NBP1-77086] - SK-N-SH cell lysate with SRPX antibody at 0.25 ug/mL in (A) the absence and (B) the presence of blocking peptide.
Immunocytochemistry/ Immunofluorescence: SRPX Antibody - BSA Free [NBP1-77086]

Immunocytochemistry/ Immunofluorescence: SRPX Antibody - BSA Free [NBP1-77086]

Immunocytochemistry/Immunofluorescence: SRPX Antibody [NBP1-77086] - Immunofluorescence of SRPX1 in human brain tissue with SRPX1 antibody at 20 ug/mL.
SRPX Antibody - BSA Free

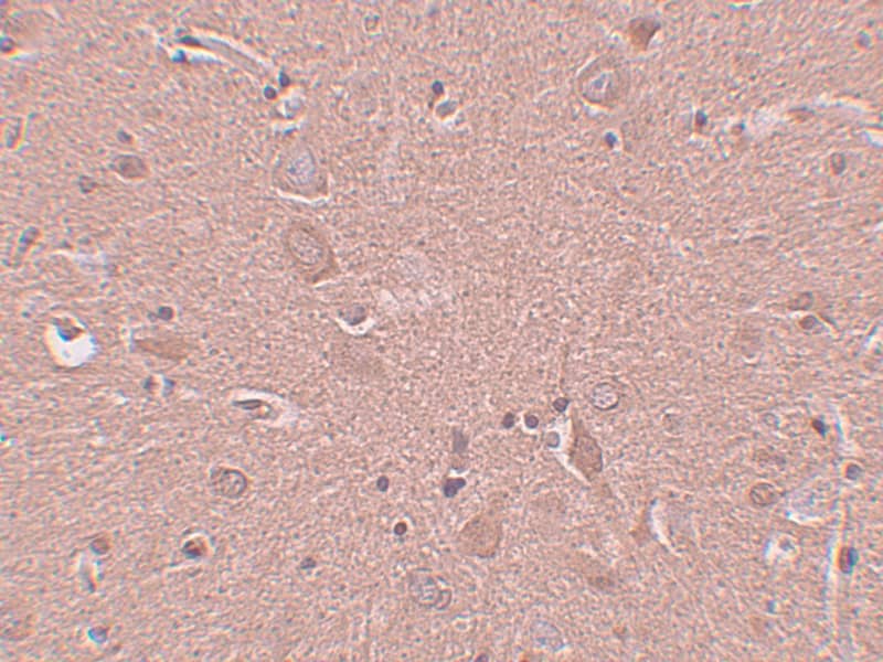
Immunohistochemistry: SRPX Antibody - BSA Free [NBP1-77086] -

Immunohistochemistry: SRPX Antibody - BSA Free [NBP1-77086] - Immunohistochemistry of SRPX in human brain tissue with SRPX antibody at 5 ug/mL.

Applications for SRPX Antibody - BSA Free

Application
Recommended Usage

ELISA

1:100-1:2000

Immunocytochemistry/ Immunofluorescence

20 ug/mL

Immunohistochemistry

5 ug/mL

Immunohistochemistry-Paraffin

1:10-1:500

Western Blot

0.25 ug/ml

Formulation, Preparation, and Storage

Purification

Peptide affinity purified

Formulation

PBS

Format

BSA Free

Preservative

0.02% Sodium Azide

Concentration

1 mg/ml

Shipping

The product is shipped with polar packs. Upon receipt, store it immediately at the temperature recommended below.

Stability & Storage

Store at 4C.

Background: SRPX

SRPX1 was initially identified as a candidate gene for X-linked retinitis pigmentosa and is overexpressed in the trabecular network of the eye in glaucoma conditions. Its expression is significantly downregulated in a number cancer cell lines and malignant tumor tissues and its ectopic expression induces apoptosis through the endoplasmic reticulum and the activation of caspase-12, -9, and -3, indicating that it can function as a tumor suppressor. SRPX1 is also involved with the regulation of autophagy under low serum conditions and can associate with Rab24, a member of the Rab GTPase protein family that is involved in autophagy. This association of SRPX1 with Rab24 is enhanced during autophagy.

Alternate Names

DRS, ETX1SRPX1, sushi repeat-containing protein SRPX, sushi-repeat containing protein, X-linked, sushi-repeat-containing protein, X chromosome, sushi-repeat-containing protein, X-linked

Gene Symbol

SRPX

Additional SRPX Products

Product Documents for SRPX Antibody - BSA Free

Certificate of Analysis

To download a Certificate of Analysis, please enter a lot number in the search box below.

Product Specific Notices for SRPX Antibody - BSA Free

This product is for research use only and is not approved for use in humans or in clinical diagnosis. Primary Antibodies are guaranteed for 1 year from date of receipt.

Loading...
Loading...
Loading...
Loading...