Skip to main content

SREBP2 Antibody - BSA Free

Novus Biologicals, part of Bio-Techne | Catalog # NBP2-41282

Novus Biologicals, part of Bio-Techne

Key Product Details

Species Reactivity

Validated:

Human, Mouse

Cited:

Human

Predicted:

Rat (100%). Backed by our 100% Guarantee.

Applications

Validated:

Immunohistochemistry, Immunohistochemistry-Paraffin, Western Blot, ELISA, Immunocytochemistry/ Immunofluorescence

Cited:

Western Blot

Label

Unconjugated

Antibody Source

Polyclonal Rabbit IgG

Format

BSA Free

Concentration

1 mg/ml

Product Specifications

Immunogen

Antibody was raised against a 15 amino acid peptide near the center of human SREBF2. The immunogen is located within amino acids 440 - 490 of SREBF2. Amino Acid Squence: LDDAKVKDEPDSPPV

Specificity

At least three isoforms of SREBF2 are known to exist. SREBF2 antibody is predicted not to cross-react with SREBF1.

Clonality

Polyclonal

Host

Rabbit

Isotype

IgG

Theoretical MW

128 kDa.
Disclaimer note: The observed molecular weight of the protein may vary from the listed predicted molecular weight due to post translational modifications, post translation cleavages, relative charges, and other experimental factors.

Description

Novus Biologicals Rabbit SREBP2 Antibody - BSA Free (NBP2-41282) is a polyclonal antibody validated for use in IHC, WB, ELISA and ICC/IF. Anti-SREBP2 Antibody: Cited in 1 publication. All Novus Biologicals antibodies are covered by our 100% guarantee.

Scientific Data Images for SREBP2 Antibody - BSA Free

Western Blot: SREBP2 AntibodyBSA Free [NBP2-41282]

Western Blot: SREBP2 AntibodyBSA Free [NBP2-41282]

Western Blot: SREBP2 Antibody [NBP2-41282] - Analysis of SREBF2 in PC-3 cell lysate with SREBF1 antibody at 1 ug/ml.
SREBP2 Antibody - BSA Free

Immunocytochemistry/ Immunofluorescence: SREBP2 Antibody - BSA Free [NBP2-41282] -

Immunocytochemistry/ Immunofluorescence: SREBP2 Antibody - BSA Free [NBP2-41282] - Immunofluorescence of SREBP2 in human spleen tissue with SREBP2 antibody at 20 ug/mL.
SREBP2 Antibody - BSA Free

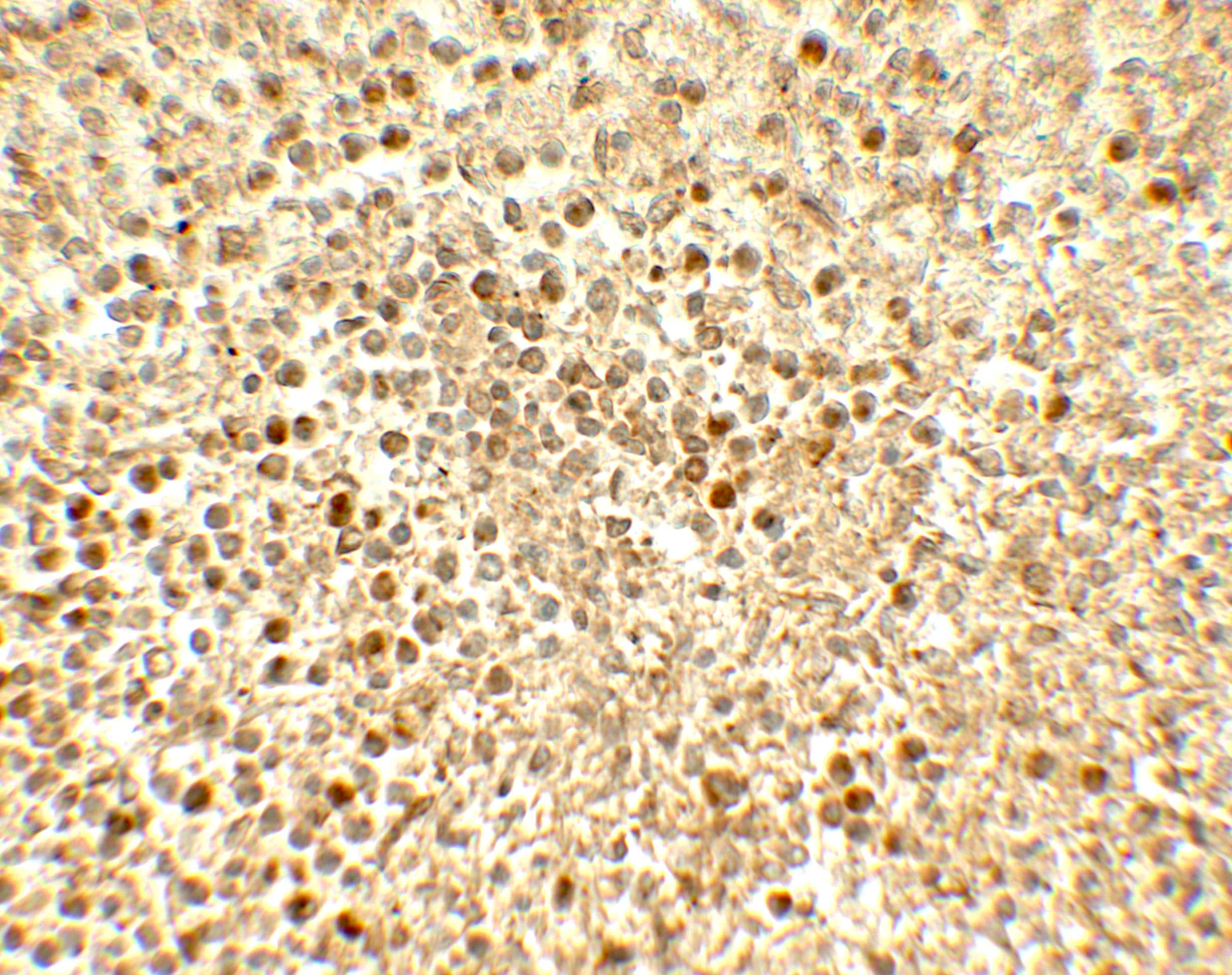
Immunohistochemistry: SREBP2 Antibody - BSA Free [NBP2-41282] -

Immunohistochemistry: SREBP2 Antibody - BSA Free [NBP2-41282] - Immunohistochemistry of SREBP2 in human spleen tissue with SREBP2 antibody at 5 ug/mL.

Applications for SREBP2 Antibody - BSA Free

Application
Recommended Usage

Immunocytochemistry/ Immunofluorescence

20 ug/ml

Immunohistochemistry

5 ug/ml

Immunohistochemistry-Paraffin

5 ug/ml

Western Blot

1-2 ug/ml

Formulation, Preparation, and Storage

Purification

Peptide affinity purified

Formulation

PBS

Format

BSA Free

Preservative

0.02% Sodium Azide

Concentration

1 mg/ml

Shipping

The product is shipped with polar packs. Upon receipt, store it immediately at the temperature recommended below.

Stability & Storage

Store at 4C short term. Aliquot and store at -20C long term. Avoid freeze-thaw cycles.

Background: SREBP2

SREBP2 encodes a ubiquitously expressed transcription factor that controls cholesterol homeostasis by stimulating transcription of sterol-regulated genes. The encoded protein contains a basic helix-loop-helix-leucine zipper (bHLH-Zip) domain.

Long Name

Sterol Regulatory Element Binding Transcription Factor 2

Alternate Names

bHLhd2, SREBF2

Gene Symbol

SREBF2

Additional SREBP2 Products

Product Documents for SREBP2 Antibody - BSA Free

Certificate of Analysis

To download a Certificate of Analysis, please enter a lot number in the search box below.

Product Specific Notices for SREBP2 Antibody - BSA Free

This product is for research use only and is not approved for use in humans or in clinical diagnosis. Primary Antibodies are guaranteed for 1 year from date of receipt.

Loading...
Loading...
Loading...
Loading...