Skip to main content

SREBP1 Antibody (PSH04-61)

Novus Biologicals, part of Bio-Techne | Catalog # NBP3-32977

Recombinant Monoclonal Antibody
Novus Biologicals, part of Bio-Techne
Catalog #
Availability
Size / Price
Qty
Loading...
NBP3-32977

Key Product Details

Species Reactivity

Human

Applications

Immunohistochemistry, Immunohistochemistry-Paraffin, Western Blot, Immunocytochemistry/ Immunofluorescence

Label

Unconjugated

Antibody Source

Recombinant Monoclonal Rabbit IgG Clone # PSH04-61 expressed in HEK293

Concentration

1 mg/ml

Product Specifications

Immunogen

Synthetic peptide within human SREBP1 aa 301-350 / 1,147. (Uniprot: P36956)

Localization

Endoplasmic reticulum membrane, Golgi apparatus membrane, Cytoplasmic vesicle, COPII-coated vesicle membrane; Nucleus.

Clonality

Monoclonal

Host

Rabbit

Isotype

IgG

Theoretical MW

122 kDa.
Disclaimer note: The observed molecular weight of the protein may vary from the listed predicted molecular weight due to post translational modifications, post translation cleavages, relative charges, and other experimental factors.

Scientific Data Images for SREBP1 Antibody (PSH04-61)

SREBP1 Antibody (PSH04-61)

Western Blot: SREBP1 Antibody (PSH04-61) [NBP3-32977]

Western Blot: SREBP1 Antibody (PSH04-61) [NBP3-32977] - Western blot analysis of SREBP1 on different lysates with Rabbit anti-SREBP1 antibody (NBP3-32977) at 1/2,000 dilution.

Lane 1: HeLa cell lysate
Lane 2: HEK-293 cell lysate
Lane 3: MCF7 cell lysate
Lane 4: A549 cell lysate
Lane 5: SK-Br-3 cell lysate

Lysates/proteins at 20 ug/Lane.

Predicted band size: 122 kDa
Observed band size: 80-100 kDa

Exposure time: 3 minutes; ECL;

4-20% SDS-PAGE gel.

Proteins were transferred to a PVDF membrane and blocked with 5% NFDM/TBST for 1 hour at room temperature. The primary antibody (NBP3-32977) at 1/2,000 dilution was used in 5% NFDM/TBST at 4C overnight. Goat Anti-Rabbit IgG - HRP Secondary Antibody at 1/50,000 dilution was used for 1 hour at room temperature.
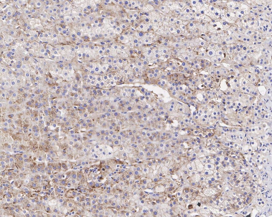
SREBP1 Antibody (PSH04-61)

Immunohistochemistry: SREBP1 Antibody (PSH04-61) [NBP3-32977]

Immunohistochemistry: SREBP1 Antibody (PSH04-61) [NBP3-32977] - Immunohistochemical analysis of paraffin-embedded human adrenal gland tissue with Rabbit anti-SREBP1 antibody (NBP3-32977) at 1/1,000 dilution.

The section was pre-treated using heat mediated antigen retrieval with sodium citrate buffer (pH 6.0) for 2 minutes. The tissues were blocked in 1% BSA for 20 minutes at room temperature, washed with ddH2O and PBS, and then probed with the primary antibody (NBP3-32977) at 1/1,000 dilution for 1 hour at room temperature. The detection was performed using an HRP conjugated compact polymer system. DAB was used as the chromogen. Tissues were counterstained with hematoxylin and mounted with DPX.
SREBP1 Antibody (PSH04-61)

Immunocytochemistry/ Immunofluorescence: SREBP1 Antibody (PSH04-61) [NBP3-32977]

Immunocytochemistry/ Immunofluorescence: SREBP1 Antibody (PSH04-61) [NBP3-32977] - Immunocytochemistry analysis of HeLa cells labeling SREBP1 with Rabbit anti-SREBP1 antibody (NBP3-32977) at 1/100 dilution.

Cells were fixed in 4% paraformaldehyde for 20 minutes at room temperature, permeabilized with 0.1% Triton X-100 in PBS for 5 minutes at room temperature, then blocked with 1% BSA in 10% negative goat serum for 1 hour at room temperature. Cells were then incubated with Rabbit anti-SREBP1 antibody (NBP3-32977) at 1/100 dilution in 1% BSA in PBST overnight at 4 ℃. Goat Anti-Rabbit IgG H&L (iFluor™ 488) was used as the secondary antibody at 1/1,000 dilution. PBS instead of the primary antibody was used as the secondary antibody only control. Nuclear DNA was labelled in blue with DAPI.

Beta tubulin (red) was stained at 1/100 dilution overnight at +4℃. Goat Anti-Mouse IgG H&L (iFluor™ 594) was used as the secondary antibody at 1/1,000 dilution.

Applications for SREBP1 Antibody (PSH04-61)

Application
Recommended Usage

Immunocytochemistry/ Immunofluorescence

1:100

Immunohistochemistry-Paraffin

1:1000

Western Blot

1:2000

Formulation, Preparation, and Storage

Purification

Protein A purified

Formulation

PBS (pH7.4), 0.1% BSA and 40% Glycerol

Preservative

0.05% Sodium Azide

Concentration

1 mg/ml

Shipping

The product is shipped with polar packs. Upon receipt, store it immediately at the temperature recommended below.

Stability & Storage

Store at 4C short term. Aliquot and store at -20C long term. Avoid freeze-thaw cycles.

Background: SREBP1

SREBP (Sterol Regulatory Element Binding Protein) 1 and 2 are transcription factors which participate in the control of cholesterol homeostasis. SREBP proteins, which are attached to the endoplasmic reticulum and nuclear envelope, are proteolytically cleaved and thus activated in response to conditions of low cellular sterol. SREBPs may also play some role in the apoptotic processes.

SREBP1 is a transcription factor that binds to the sterol regulatory element-1 (SRE1), which is a decamer flanking the low density lipoprotein receptor gene and some genes involved in sterol biosynthesis. The protein is synthesized as a precursor that is attached to the nuclear membrane and endoplasmic reticulum. Following cleavage, the mature protein translocates to the nucleus and activates transcription by binding to the SRE1. Sterols inhibit the cleavage of the precursor, and the mature nuclear form is rapidly catabolized, thereby reducing transcription. The protein is a member of the basic helix-loop-helix-leucine zipper (bHLH-Zip) transcription factor family. This gene is located within the Smith-Magenis syndrome region on chromosome 17.

Long Name

Sterol regulatory element-binding protein 1

Alternate Names

bHLHd1, SREBF1, SREBP-1

Gene Symbol

SREBF1

Additional SREBP1 Products

Product Documents for SREBP1 Antibody (PSH04-61)

Certificate of Analysis

To download a Certificate of Analysis, please enter a lot number in the search box below.

Product Specific Notices for SREBP1 Antibody (PSH04-61)

This product is for research use only and is not approved for use in humans or in clinical diagnosis. Primary Antibodies are guaranteed for 1 year from date of receipt.

Loading...
Loading...
Loading...
Loading...