Flow Cytometry: SR-BI Antibody - BSA Free [NB400-104]
Flow Cytometry: SR-BI Antibody [NB400-104] - An intracellular stain was performed on HeLa cells with SR-BI antibody NB400-104AF488 (blue) and a matched isotype control NBP2-24893AF488 (orange). Cells were fixed with 4% PFA and then permeablized with 0.1% saponin. Cells were incubated in an antibody dilution of 5 ug/mL for 30 minutes at room temperature. Both antibodies were conjugated to Alexa Fluor 488.
Western Blot: SR-BI AntibodyBSA Free [NB400-104]
Western Blot: SR-BI Antibody [NB400-104] - Detection of SR-BI in rat H4IIE total cell lysates and plasma membrane proteins. Photo courtesy of product review by verified customer.
Immunohistochemistry: SR-BI Antibody - BSA Free [NB400-104]
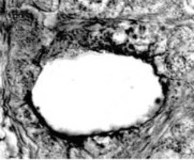
Immunohistochemistry: SR-BI Antibody [NB400-104] - Immunolocalization of SR-BI in adult mink testis using NB400-104. SR-BI labeling is visible at the surface and along the outline of the large vacuole. Photo courtesy of R.M. Pelletier, University of Montreal.
Immunohistochemistry-Paraffin: SR-BI Antibody - BSA Free [NB400-104]
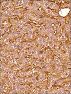
Immunohistochemistry-Paraffin: SR-BI Antibody [NB400-104] - FFPE tissue section of mouse liver using SR-BI antibody (Lot 8310) at 1:300 dilution with HRP-DAB detection and hematoxylin counterstaining. The antibody generated a specific membrane signal of SR-BI protein in the murine hepatocytes.
Western Blot: SR-BI Antibody - BSA Free [NB400-104]
SR-BI-Antibody-Western-Blot-NB400-104-img0034.jpg
Immunohistochemistry-Paraffin: SR-BI Antibody - BSA Free [NB400-104]
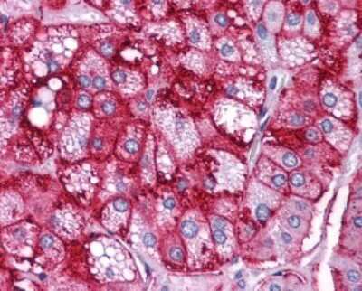
Immunohistochemistry-Paraffin: SR-BI Antibody [NB400-104] - Staining of human adrenal cortex.
Immunocytochemistry/ Immunofluorescence: SR-BI Antibody - BSA Free [NB400-104]
Immunocytochemistry/Immunofluorescence: SR-BI Antibody [NB400-104] - HeLa cells were fixed and permeabilized for 10 minutes using -20C MeOH. The cells were incubated with anti-SR-BI at 2 ug/ml overnight at 4C and detected with an anti-rabbit Dylight 488 (Green) at a 1:500 dilution. Alpha tubulin (DM1A) NB100-690 was used as a co-stain at a 1:1000 dilution and detected with an anti-mouse Dylight 550 (Red) at a 1:500 dilution. Nuclei were counterstained with DAPI (Blue). Cells were imaged using a 40X objective.
Immunohistochemistry-Paraffin: SR-BI Antibody - BSA Free [NB400-104]
Immunohistochemistry-Paraffin: SR-BI Antibody [NB400-104] - FFPE tissue section of mouse liver using SR-BI antibody (Lot R-4) at 1:300 dilution with HRP-DAB detection and hematoxylin counterstaining. The antibody generated mainly a membranous signal of SR-BI protein in the murine hepatocytes.
Flow Cytometry: SR-BI Antibody - BSA Free [NB400-104]
Flow Cytometry: SR-BI Antibody [NB400-104] - Analysis of Huh7 and HepG2 cells using SR-B1 antibody NB400-104. Courtesy of Bruno Sainz, Jr., PhD, University of Illinois at Chicago.
Western Blot: SR-BI Antibody - BSA Free [NB400-104] -
ABCA1, ABCG1 & SR-BI protein expressions. a & b Hepatic protein expressions of ABCA1, ABCG1 & SR-BI were significantly decreased in COMT−/− mice at GD 18.5, compared to C57BL/6 J mice. Decreased hepatic ABCA1 expression was also observed at 10 days postpartum. ATI-5261 increased ABCA1 & ABCG1 expression in the liver at 10 days postpartum. c Placental protein expressions of ABCA1 & ABCG1 was reduced in COMT−/− mice, compared to C57BL/6 J mice. ATI-5261 treatment significantly increased ABCA1 levels in the placenta of COMT−/− mice. d Representative immunoblots of the corresponding proteins in the placenta with mouse RAW264.7 cell lysate included as positive control. Similar results were obtained when the experiment was repeated with lysates prepared from three batches of tissues. Data are presented as mean ± SEM. Groups (n = 8 in all groups) were compared using one-way ANOVA with post-hoc analysis (Tukey’s procedure). *, p < 0.05 Image collected & cropped by CiteAb from the following publication (https://pubmed.ncbi.nlm.nih.gov/30237900), licensed under a CC-BY license. Not internally tested by Novus Biologicals.
Immunocytochemistry/ Immunofluorescence: SR-BI Antibody - BSA Free [NB400-104] -
Expression of scavenger receptors & immune lectins in rat LSECs & KCs. a. Unscaled heatmaps of normalized log2 expression values (log2 (RPKM+ 1), & log2 (iBAQ+ 1)) for scavenger receptors (SR) & C-type lectins in the KC & LSEC transcriptomes & proteomes. Underlined: Genes expressed in the transcriptome that were also present in the proteome. b. Absolute abundance of selected SR gene products in the KC & LSEC transcriptomes & proteomes. The bar height reflects good correlation between the transcriptome & proteome data for gene products of Clec4g, Clec4m, Stab1, & Stab2 in both cell types. The abundance of gene products of Marco & Cd5l were well correlated between the KC transcriptome & proteome, while LSECs showed high abundance of these gene products only at mRNA level. c. Immune labeling of non-parenchymal liver cell (NPC) cultures for selected SRs & C-type lectins. NPCs from the 25–45% interface on the Percoll gradient were incubated for 1 h, then fixed 15 min in 4% paraformaldehyde, & double immune-labeled with antibodies to Fc gammaRIIb2 (SE-1; red fluorescence; left column), or CD68 (red fluorescence; right column), & to either stabilin-2 (STAB2; green), mannose receptor (MRC1; green), SR-A1 (green), or SR-B1 (green). Overlap of green & red fluorescence is seen as yellow staining in the overlay images. Antibodies are listed in Table 1. Cell nuclei were stained with DAPI (blue). Arrow heads point to CD68 positive KCs. Antibodies to stabilin-2 & Fc gammaRIIb2 (SE-1) specifically labeled LSECs & the CD68-antibody specifically labeled KCs, whereas positive labeling for the mannose receptor, SR-A1, & SR-B1 was observed in both LSECs & KCs Image collected & cropped by CiteAb from the following publication (https://pubmed.ncbi.nlm.nih.gov/33246411), licensed under a CC-BY license. Not internally tested by Novus Biologicals.
Western Blot: SR-BI Antibody - BSA Free [NB400-104] -
Western Blot: SR-BI Antibody - BSA Free [NB400-104] - Protein expressions of ABCA1, SR-BI & ABCG1 in liver & macrophage by Western blot. Simvastatin increased the expressions of ABCA1 & ABCG1 in liver & ABCA1 in macrophage, Both L-4F & the combination group improved the expressions of ABCA1, SR-BI & ABCG1 in liver & ABCA1 & ABCG1 in macrophage. 1P < 0.05, 2P < 0.001, vs. AS group; aP < 0.05, bP < 0.001, vs. Simva group;*P < 0.05, **P < 0.001, vs. L-4F group. Image collected & cropped by CiteAb from the following publication (https://lipidworld.biomedcentral.com/articles/10.1186/1476-511X-12-180), licensed under a CC-BY license. Not internally tested by Novus Biologicals.
Western Blot: SR-BI Antibody - BSA Free [NB400-104] -
Western Blot: SR-BI Antibody - BSA Free [NB400-104] - Expression of cellular HCV receptors at the mRNA & protein levels.(a) mRNA copy numbers of CD81, occluding (OCLN), claudin-1 (CLDN1) & SR-BI were quantified in OASF, RASF & Huh-7.5 cells, normalized to the reference gene GAPDH. (b) Detection of CD81 on Huh-7.5 cells, OASF, & RASF by FACS analysis. (c–d) Detection of OCLN, CLDN1 & SR-BI in OASF & RASF by immunoblot analysis. Huh-7.5 cells were used as positive control & Hep-56.1D as negative control. In both the real-time PCR & the FACS analysis experiments the number of biological replicates was 3 & the number of experimental replicates was 2 (total n = 6). In immunoblotting detection, the number of biological replicates was 2 & the number of experimental replicates was 2 (n = 4). Image collected & cropped by CiteAb from the following publication (https://pubmed.ncbi.nlm.nih.gov/26643193), licensed under a CC-BY license. Not internally tested by Novus Biologicals.
Western Blot: SR-BI Antibody - BSA Free [NB400-104] -
Western Blot: SR-BI Antibody - BSA Free [NB400-104] - Protein expressions of ABCA1, SR-BI & ABCG1 in liver & macrophage by Western blot. Simvastatin increased the expressions of ABCA1 & ABCG1 in liver & ABCA1 in macrophage, Both L-4F & the combination group improved the expressions of ABCA1, SR-BI & ABCG1 in liver & ABCA1 & ABCG1 in macrophage. 1P < 0.05, 2P < 0.001, vs. AS group; aP < 0.05, bP < 0.001, vs. Simva group;*P < 0.05, **P < 0.001, vs. L-4F group. Image collected & cropped by CiteAb from the following publication (https://lipidworld.biomedcentral.com/articles/10.1186/1476-511X-12-180), licensed under a CC-BY license. Not internally tested by Novus Biologicals.
Western Blot: SR-BI Antibody - BSA Free [NB400-104] -
Western Blot: SR-BI Antibody - BSA Free [NB400-104] - 6‐Dihydroparadol increases A) ABCA1 & B) ABCG1, but not C) SR‐BI protein levels in cholesterol‐loaded THP‐1‐derived macrophages. THP‐1 cells were differentiated as described in Figure 2, & then loaded with unlabeled cholesterol for 24 h. Cells were treated with increasing concentrations of 6‐dihydroparadol (1–30 μm) for another 24 h. The protein levels of ABCA1, ABCG1, & SR‐B1 were detected by Western blot analysis. The control was treated with solvent vehicle (0.1% DMSO). As a positive control, TO901317 (5 μm, 24 h) was used. The bar graphs represent mean ± SD from three independent experiments. *p < 0.05, **p < 0.01, & ***p < 0.001 versus control (determined by Student's t‐test or ANOVA with Bonferroni's post hoc test). Image collected & cropped by CiteAb from the following publication (https://pubmed.ncbi.nlm.nih.gov/29802792), licensed under a CC-BY license. Not internally tested by Novus Biologicals.
Immunocytochemistry/ Immunofluorescence: SR-BI Antibody - BSA Free [NB400-104] -
Immunocytochemistry/ Immunofluorescence: SR-BI Antibody - BSA Free [NB400-104] - Identification of Plasmodium sporozoite-associated receptors on immortalized hepatocyte-like cells (imHCs). The expression of Plasmodium sporozoite-associated receptors (CD81, EphA2 & SR-BI) on imHCs & HC-04 cells was determined using immunofluorescent staining. Prior to analysis, the hepatocytes were grown in MEM/F12 medium containing 10% fetal bovine serum until confluence was reached. The expression of CD81 (a), EphA2 (b) & SR-BI (c) on imHCs & HC-04 cells was compared (d, e, f, respectively). Hepatocyte nuclei were stained with Hoechst 33342 dye. Fluorescence images were captured & analysed using an Operetta High-Content Imaging System (PerkinElmer) with a ×40 objective lens. Scale bar = 50 μm. Cells expressing CD81, EphA2 or SR-BI were quantified from 15 randomly selected image fields (total number of analysed cells > 2000) (g, h, i, respectively). Bar graph shows the mean percentage of positively stained cells. Error bars depict standard deviations. ****p < 0.0001, Student’s t test Image collected & cropped by CiteAb from the following publication (https://pubmed.ncbi.nlm.nih.gov/29370800), licensed under a CC-BY license. Not internally tested by Novus Biologicals.
Immunocytochemistry/ Immunofluorescence: SR-BI Antibody - BSA Free [NB400-104] -
Immunocytochemistry/ Immunofluorescence: SR-BI Antibody - BSA Free [NB400-104] - Immunofluorescence assay on GIM biopsies of HCV-transplanted patients.Immunofluorescence assay on GIM polyp biopsies of HCV-transplanted patients, using antibodies against HCV receptors: CD81, SR-B1, Claudin-1, Occludin (Original magnification X400). (A, E) CD81 in colon (patient 26); (B, F) Claudin-1 in colon (patient 26); (C, G) Occludin in colon (C patient 28, G patient 26); (D) SR-B1 in antrum (patient 28); (H) SR-B1 in colon (patient 26). All the sections were clearly positive for the analyzed HCV receptors before (A-D) & after transplantation (E-H). Negative controls (I-N) were performed on GIM biopsies of HCV positive patients by omitting the primary antibodies, & by using polyclonal FITC-conjugated Donkey anti-mouse (I) & anti-rabbit (L, M, N) as secondary antibodies. (I CD81 in antrum; L Claudin-1 in polyp colon; M Occludin in antrum; N SR-B1 in polyp colon. Nuclei were counterstained with DAPI (blue). Scale bar 50 μm. Image collected & cropped by CiteAb from the following publication (https://dx.plos.org/10.1371/journal.pone.0181683), licensed under a CC-BY license. Not internally tested by Novus Biologicals.
Immunocytochemistry/ Immunofluorescence: SR-BI Antibody - BSA Free [NB400-104] -
Immunocytochemistry/ Immunofluorescence: SR-BI Antibody - BSA Free [NB400-104] - ALDH2 rs671 modulates HDL-C levels in mice & human liver through increasing poly(ADP-ribosyl)ation of LXR alpha due to attenuated ALDH2/PARP1 interaction.(A) Representative H&E & Oil Red O staining for mouse liver fed with a Western diet (WD) for 8 weeks (WT & ALDH2 rs671-KI mice, referred to as rs671). Scale bar: 100 μm. (B) HDL-C in plasma at 16th week (WD for 8 weeks). WT, n = 9; rs671, n = 10. (C) Western blotting analysis of ABCA1, ALDH2, LXR alpha, & SR-B1 expression in mouse liver tissue. WT, n = 3; rs671, n = 3. (D) IP results of WT ALDH2 or ALDH2 rs671, PARP1. (E) IP results of ALDH2 & PARP1 in human liver tissues. WT, n = 3; rs671, n = 3. Experiments were repeated 3 times. (F) ALDH2 rs671 significantly increased nuclear translocation of PARP1 in human liver tissue. WT, n = 3; rs671, n = 3. Statistical comparisons were made using a 2-tailed Student’s t test. All data are mean ± SD. *P < 0.05, **P < 0.01, ***P < 0.001. Image collected & cropped by CiteAb from the following publication (https://pubmed.ncbi.nlm.nih.gov/35393951), licensed under a CC-BY license. Not internally tested by Novus Biologicals.
Western Blot: SR-BI Antibody - BSA Free [NB400-104] -
Western Blot: SR-BI Antibody - BSA Free [NB400-104] - siRNA-mediated knock down of SR-B1 impairs HDL-mediated protection of HIVCM against OGD-induced necrosis.(A) Representative immunoblot & (B) quantification (n = 3) of SR-B1 knockdown by siRNA in HIVCM. UT: untransfected cells; siCntrl: transfected with control siRNA; siSR-B1: transfected with siRNA targeting SR-B1. (C) Quantification of the percentage of OGD-induced cell death in siCntrl- or siSR-B1-transfected HIVCMs treated with or without HDL (100 μg/ml) prior to 4 h of OGD. Cell viability was measured using the Cell Titer Blue assay & the reduction in viability in siCntrl-transfected cells treated without HDL was set as 100% OGD-induced cell death (n = 9). (D) Proportion of PI-stained cells when HIVCMs were transfected with siCntrl or siSR-B1, treated for 30 min with or without HDL, & exposed to OGD for 4 h as above (n = 3). (E) Representative immunoblots of SR-B1, AKT, & beta-actin & quantification of (F) SR-B1/ beta-actin (n = 5, 6, 6) & (G) AKT/ beta-actin (n = 3), expressed as fold change in arbitrary relative units. ***P = 0.0003; **P < 0.005; *P < 0.03; ns, not statistically significant (P > 0.3) by one-way ANOVA. Image collected & cropped by CiteAb from the following publication (https://pubmed.ncbi.nlm.nih.gov/29523748), licensed under a CC-BY license. Not internally tested by Novus Biologicals.
Western Blot: SR-BI Antibody - BSA Free [NB400-104] -
Western Blot: SR-BI Antibody - BSA Free [NB400-104] - Effects of 13-HODE & LA in the presence & absence of PPAR alpha & PPAR gamma selective antagonists on molecular markers of cholesterol homeostasis in RAW264.7 macrophages. RAW264.7 cells were pre-treated without or with the PPAR alpha selective antagonist GW6471 or the PPAR gamma selective antagonist GW9662 & subsequently treated without (vehicle control) or with 2.5 μmol/L 13-HODE or 100 μmol/L LA for 24 h. Afterwards, cells were lysed & subsequently processed for western blotting as described in the materials & methods section. A, Representative immunoblots specific for ABCA1, ABCG1, SR-BI, LXR alpha, & beta-actin which was used for normalization are shown. B, Bars represent data from densitometric analysis & are means ± SD from three independent experiments (n = 3). Data are expressed as percentage of protein concentration of vehicle control cells. Results from statistical analysis are indicated: Significant effects are denoted with superscript letters. Bars marked without a common superscript letter significantly differ (P < 0.05). Image collected & cropped by CiteAb from the following publication (https://lipidworld.biomedcentral.com/articles/10.1186/1476-511X-10-222), licensed under a CC-BY license. Not internally tested by Novus Biologicals.
Immunocytochemistry/ Immunofluorescence: SR-BI Antibody - BSA Free [NB400-104] -
Immunocytochemistry/ Immunofluorescence: SR-BI Antibody - BSA Free [NB400-104] - Identification of Plasmodium sporozoite-associated receptors on immortalized hepatocyte-like cells (imHCs). The expression of Plasmodium sporozoite-associated receptors (CD81, EphA2 & SR-BI) on imHCs & HC-04 cells was determined using immunofluorescent staining. Prior to analysis, the hepatocytes were grown in MEM/F12 medium containing 10% fetal bovine serum until confluence was reached. The expression of CD81 (a), EphA2 (b) & SR-BI (c) on imHCs & HC-04 cells was compared (d, e, f, respectively). Hepatocyte nuclei were stained with Hoechst 33342 dye. Fluorescence images were captured & analysed using an Operetta High-Content Imaging System (PerkinElmer) with a ×40 objective lens. Scale bar = 50 μm. Cells expressing CD81, EphA2 or SR-BI were quantified from 15 randomly selected image fields (total number of analysed cells > 2000) (g, h, i, respectively). Bar graph shows the mean percentage of positively stained cells. Error bars depict standard deviations. ****p < 0.0001, Student’s t test Image collected & cropped by CiteAb from the following publication (https://pubmed.ncbi.nlm.nih.gov/29370800), licensed under a CC-BY license. Not internally tested by Novus Biologicals.
Western Blot: SR-BI Antibody - BSA Free [NB400-104] -
Western Blot: SR-BI Antibody - BSA Free [NB400-104] - siRNA-mediated knock down of SR-B1 impairs HDL-mediated protection of HIVCM against OGD-induced necrosis.(A) Representative immunoblot & (B) quantification (n = 3) of SR-B1 knockdown by siRNA in HIVCM. UT: untransfected cells; siCntrl: transfected with control siRNA; siSR-B1: transfected with siRNA targeting SR-B1. (C) Quantification of the percentage of OGD-induced cell death in siCntrl- or siSR-B1-transfected HIVCMs treated with or without HDL (100 μg/ml) prior to 4 h of OGD. Cell viability was measured using the Cell Titer Blue assay & the reduction in viability in siCntrl-transfected cells treated without HDL was set as 100% OGD-induced cell death (n = 9). (D) Proportion of PI-stained cells when HIVCMs were transfected with siCntrl or siSR-B1, treated for 30 min with or without HDL, & exposed to OGD for 4 h as above (n = 3). (E) Representative immunoblots of SR-B1, AKT, & beta-actin & quantification of (F) SR-B1/ beta-actin (n = 5, 6, 6) & (G) AKT/ beta-actin (n = 3), expressed as fold change in arbitrary relative units. ***P = 0.0003; **P < 0.005; *P < 0.03; ns, not statistically significant (P > 0.3) by one-way ANOVA. Image collected & cropped by CiteAb from the following publication (https://pubmed.ncbi.nlm.nih.gov/29523748), licensed under a CC-BY license. Not internally tested by Novus Biologicals.
Western Blot: SR-BI Antibody - BSA Free [NB400-104] -
Western Blot: SR-BI Antibody - BSA Free [NB400-104] - Differentiation & characteristics of iHLCs. (a) Cell morphology & culture conditions at different stages of differentiation from iPSCs into iHLCs. Bright-field images were taken at the indicated time points (scale bar 100 µm). (b) Sequential expression & repression of transcription factors marking successful differentiation. Cells were immunostained with antibodies against Oct 3/4 (pluripotency marker), the endodermal transcription factor GATA-4, & the hepatic marker HNF4 alpha at day 0, 5, & 10 of differentiation (scale bars 20 µm). Shown are representative fluorescence & DIC images. (c) mRNA expression levels of different hepatocyte-specific factors in iHLCs, Huh7.5 cells, & primary human hepatocytes (PHHs) were analysed via qRT-PCR. Expression levels are displayed as fold over iPSCs normalised to GAPDH & 18S rRNA (mean ± SEM, n = 3–4, *p < 0.05). (d) Western blot analysis of protein expression in HCV-infected iHLCs compared to Huh7.5 cells of different host factors crucial for HCV infection. Tubulin served as loading control. Full-length blots are presented in Supplementary Figure 1. (e) iHLCs & iPSCs were immunostained for the hepatic marker HNF4 alpha & the tight junction proteins occludin & claudin-1 (nuclei were visualised with Draq5) (scale bar 20 µm). (f) Metabolic functionality of mature iHLCs was evaluated by analysing glycogen storage by Periodic acid-Schiff (PAS) staining & indocyanine green (ICG) uptake visualised by bright-field microscopy (scale bar 100 µm). Shown are representative bright-field images. Image collected & cropped by CiteAb from the following publication (https://pubmed.ncbi.nlm.nih.gov/29497123), licensed under a CC-BY license. Not internally tested by Novus Biologicals.
Western Blot: SR-BI Antibody - BSA Free [NB400-104] -
Western Blot: SR-BI Antibody - BSA Free [NB400-104] - Evodiamine enhances apo A1-mediated ChE from THP-1 macrophages & increases ABCA1 protein level. (a) Differentiated THP-1 cells were loaded with [3H]-cholesterol together with the indicated treatments for 24 h. On the next day, the cells were washed twice with PBS & incubated with the same compounds [solvent vehicle control (Veh; ≤0.1% DMSO), evodiamine (1–20 μM), & the PPAR gamma agonist pioglitazone (10 μM) as positive control] with or without 10 µg/mL apo A1. Extracellular as well as intracellular radioactivities were quantified with scintillation counter. Differentiated THP-1-derived macrophages were treated with solvent vehicle control (Veh; ≤0.1% DMSO), evodiamine (10 μM), & the PPAR gamma agonist pioglitazone (10 μM) as positive control. After 24 h incubation, the cells were lysed & 20 μg protein was resolved via SDS-PAGE. Immunodetection was performed with antibodies against the indicated proteins, ABCA1 (b), ABCG1 (c), & SR-B1 (d), & visualized by chemiluminescence detection. All experiments were performed at least three times & data are presented as means ± S.D. vs. solvent vehicle control, *p < 0.05, **p < 0.01, ***p < 0.001, n.s. no significance (ANOVA/Bonferroni). Image collected & cropped by CiteAb from the following publication (https://pubmed.ncbi.nlm.nih.gov/30038271), licensed under a CC-BY license. Not internally tested by Novus Biologicals.
Western Blot: SR-BI Antibody - BSA Free [NB400-104] -
Western Blot: SR-BI Antibody - BSA Free [NB400-104] - siRNA-mediated knock down of SR-B1 impairs HDL-stimulated AKT phosphorylation in HIVCMs.(A) Representative immunoblots of phospho-AKT (pAKT), total AKT (tAKT), & beta-actin (loading control) & (B) quantification of the ratio of pAKT/tAKT (n = 3) in HIVCMs incubated with HDL (100 μg protein/ml) for different times. (C) Representative immunoblots of pAKT & tAKT & (D) quantification of the ratio of pAKT/tAKT (n = 3) in HIVCMs incubated with HDL (100 μg protein/ml) for 30 min prior to & during exposure to OGD or maintenance under normal conditions (‘Normoxia’). (E) Representative immunoblots of pAKT, tAKT, SR-B1, & beta-actin (loading control) in siCntrl & siSR-B1-transfected HIVCMs incubated with or without HDL for 30 min. (F) Quantification of the ratio of pAKT/tAKT (expressed as fold change relative to untreated; n = 4). Data are means ± SEM. **P < 0.004; *P < 0.05; ns, not statistically significant (P > 0.9) by one-way ANOVA. §P < 0.02 by unpaired Student's t-test, relative to 0 h time point. Image collected & cropped by CiteAb from the following publication (https://pubmed.ncbi.nlm.nih.gov/29523748), licensed under a CC-BY license. Not internally tested by Novus Biologicals.