Skip to main content

SR-BI Antibody (SR37-06)

Novus Biologicals, part of Bio-Techne | Catalog # NBP3-11865

Recombinant Monoclonal Antibody.
Novus Biologicals, part of Bio-Techne
Catalog #
Availability
Size / Price
Qty
Loading...
NBP3-11865-100ul
NBP3-11865-25ul

Key Product Details

Species Reactivity

Human, Mouse, Rat

Applications

Flow Cytometry, Immunocytochemistry/ Immunofluorescence, Immunohistochemistry, Immunohistochemistry-Paraffin, Western Blot

Label

Unconjugated

Antibody Source

Recombinant Monoclonal Rabbit IgG Clone # SR37-06 expressed in HEK293

Concentration

Please see the vial label for concentration. If unlisted please contact technical services.

Product Specifications

Immunogen

Recombinant protein (Uniprot#: Q8WTV0)

Clonality

Monoclonal

Host

Rabbit

Isotype

IgG

Theoretical MW

80 kDa.
Disclaimer note: The observed molecular weight of the protein may vary from the listed predicted molecular weight due to post translational modifications, post translation cleavages, relative charges, and other experimental factors.

Description

Novus Biologicals Rabbit SR-BI Antibody (SR37-06) (NBP3-11865) is a recombinant monoclonal antibody validated for use in IHC, WB, Flow and ICC/IF. All Novus Biologicals antibodies are covered by our 100% guarantee.

Scientific Data Images for SR-BI Antibody (SR37-06)

Western Blot: SR-BI Antibody (SR37-06) [NBP3-11865]

Western Blot: SR-BI Antibody (SR37-06) [NBP3-11865]

Western Blot: SR-BI Antibody (SR37-06) [NBP3-11865] - Western blot analysis of SR-BI on different lysates using NBP3-11865 at 1/1,000 dilution. Positive control: Lane 1: Human liver. Lane 2: Mouse liver
Immunocytochemistry/ Immunofluorescence: SR-BI Antibody (SR37-06) [NBP3-11865]

Immunocytochemistry/ Immunofluorescence: SR-BI Antibody (SR37-06) [NBP3-11865]

Immunocytochemistry/Immunofluorescence: SR-BI Antibody (SR37-06) [NBP3-11865] - Immunocytochemistry staining SR-BI in PC-12 cells (green). The nuclear counter stain is DAPI (blue). Cells were fixed in paraformaldehyde, permeabilised with 0.25% Triton X100/PBS.
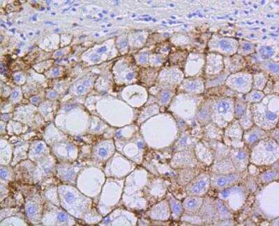
Immunohistochemistry-Paraffin: SR-BI Antibody (SR37-06) [NBP3-11865]

Immunohistochemistry-Paraffin: SR-BI Antibody (SR37-06) [NBP3-11865]

Immunohistochemistry-Paraffin: SR-BI Antibody (SR37-06) [NBP3-11865] - Immunohistochemical analysis of paraffin-embedded mouse liver tissue using NBP3-11865. Counter stained with hematoxylin.

Applications for SR-BI Antibody (SR37-06)

Application
Recommended Usage

Flow Cytometry

1:50-1:200

Immunocytochemistry/ Immunofluorescence

1:50-1:200

Immunohistochemistry

1:50-1:200

Western Blot

1:1000-5000

Formulation, Preparation, and Storage

Purification

Protein A purified

Formulation

1X TBS (pH7.4), 1% BSA, 40% Glycerol

Preservative

0.05% Sodium Azide

Concentration

Please see the vial label for concentration. If unlisted please contact technical services.

Shipping

The product is shipped with polar packs. Upon receipt, store it immediately at the temperature recommended below.

Stability & Storage

Store at -20C. Avoid freeze-thaw cycles.

Background: SR-BI

SR-BI (scavenger receptor class B member 1, SCARB1) belongs to the CD36 family and acts as a cell surface lipoprotein receptor for a variety of ligands including high density lipoprotein (HDL), phospholipids, phosphatidylserine, and lipoproteins such as lipopolysaccharide (LPS). SR-BI mediates selective uptake of HDL cholesteryl (HDL-C) ester in the liver, steroidogenic tissues, and adipose tissue and facilitates the flux of free and esterified cholesterol between the cell surface and apoB-containing lipoproteins and modified lipoproteins. SR-BI plays a role in antigen capture and cross-presentation from bacteria, parasites, and viruses such as Hepatitis C. In endothelial cells and macrophages, SR-BI is involved in anti-inflammatory and pro-survival signaling, providing protection against atherosclerosis and clearing apoptotic cells (efferocytosis) (1, 2).

At least 5 different human splice variants have been identified with theoretical molecular weights ranging from 60.9 kDa for the canonical sequence to 45 kDa for an N-terminally truncated variant (SR-BII) (3). The extracellular domain of human SR-BI (CLA-1) shares 80%, 80%, 89%, 86% and 84% aa sequence identity with mouse, rat, porcine, rabbit, and bovine SR-BI, respectively. SR-BI is highly glycosylated and removal of N-linked glycosylation reduces lipid transport.

References

1. Linton MF, Tao H, Linton EF, Yancey PG. (2017) SR-BI: A Multifunctional Receptor in Cholesterol Homeostasis and Atherosclerosis. Trends Endocrinol Metab. 28(6):461-472. PMID: 28259375

2. Hoekstra M, Sorci-Thomas M. (2017) Rediscovering scavenger receptor type BI: surprising new roles for the HDL receptor. Curr Opin Lipidol. 28(3):255-260. PMID: 28301373

3. Shen WJ, Asthana S, Kraemer FB, Azhar S. (2018) Scavenger receptor B type 1: expression, molecular regulation, and cholesterol transport function.

Long Name

Scavenger Receptor Class B, Member I

Alternate Names

CD36L1, CLA1, HDLQTL6, SCARB1, SR-B1, SRBI

Gene Symbol

SCARB1

Additional SR-BI Products

Product Documents for SR-BI Antibody (SR37-06)

Certificate of Analysis

To download a Certificate of Analysis, please enter a lot number in the search box below.

Product Specific Notices for SR-BI Antibody (SR37-06)

This product is for research use only and is not approved for use in humans or in clinical diagnosis. Primary Antibodies are guaranteed for 1 year from date of receipt.

Loading...
Loading...
Loading...
Loading...
Loading...