Skip to main content

SPINK7 Antibody - BSA Free

Novus Biologicals, part of Bio-Techne | Catalog # NBP1-84015

Novus Biologicals, part of Bio-Techne
Catalog #
Availability
Size / Price
Qty
Loading...
NBP1-84015
NBP1-84015-25ul

Key Product Details

Validated by

Orthogonal Validation

Species Reactivity

Human

Applications

Immunohistochemistry, Immunohistochemistry-Paraffin

Label

Unconjugated

Antibody Source

Polyclonal Rabbit IgG

Format

BSA Free

Concentration

Concentrations vary lot to lot. See vial label for concentration. If unlisted please contact technical services.

Product Specifications

Immunogen

This antibody was developed against Recombinant Protein corresponding to amino acids: ITYGNECHLCTESLKSNGRVQFLHDG

Clonality

Polyclonal

Host

Rabbit

Isotype

IgG

Description

Novus Biologicals Rabbit SPINK7 Antibody - BSA Free (NBP1-84015) is a polyclonal antibody validated for use in IHC. All Novus Biologicals antibodies are covered by our 100% guarantee.

Scientific Data Images for SPINK7 Antibody - BSA Free

Immunohistochemistry-Paraffin: SPINK7 Antibody [NBP1-84015]

Immunohistochemistry-Paraffin: SPINK7 Antibody [NBP1-84015]

Immunohistochemistry-Paraffin: SPINK7 Antibody [NBP1-84015] - Staining in human esophagus and lymph node tissues using anti-SPINK7 antibody. Corresponding SPINK7 RNA-seq data are presented for the same tissues.
Immunohistochemistry-Paraffin: SPINK7 Antibody [NBP1-84015]

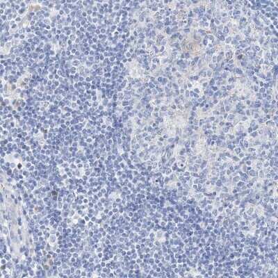
Immunohistochemistry-Paraffin: SPINK7 Antibody [NBP1-84015]

Immunohistochemistry-Paraffin: SPINK7 Antibody [NBP1-84015] - Staining of human lymph node shows low expression as expected.
Immunohistochemistry-Paraffin: SPINK7 Antibody [NBP1-84015]

Immunohistochemistry-Paraffin: SPINK7 Antibody [NBP1-84015]

Immunohistochemistry-Paraffin: SPINK7 Antibody [NBP1-84015] - Staining of human esophagus shows high expression.

Applications for SPINK7 Antibody - BSA Free

Application
Recommended Usage

Immunohistochemistry

1:50 - 1:200

Immunohistochemistry-Paraffin

1:50 - 1:200
Application Notes
For IHC-Paraffin, HIER pH 6 retrieval is recommended.

Formulation, Preparation, and Storage

Purification

Immunogen affinity purified

Formulation

PBS (pH 7.2) and 40% Glycerol

Format

BSA Free

Preservative

0.02% Sodium Azide

Concentration

Concentrations vary lot to lot. See vial label for concentration. If unlisted please contact technical services.

Shipping

The product is shipped with polar packs. Upon receipt, store it immediately at the temperature recommended below.

Stability & Storage

Store at 4C short term. Aliquot and store at -20C long term. Avoid freeze-thaw cycles.

Background: SPINK7

Probable serine protease inhibitor

Alternate Names

ECG2MGC133106, ECRG2, ECRG-2, esophagus cancer related gene 2, Esophagus cancer-related gene 2 protein, esophagus cancer-related gene-2, MGC133105, serine peptidase inhibitor, Kazal type 7 (putative), serine protease inhibitor Kazal-type 7

Gene Symbol

SPINK7

Additional SPINK7 Products

Product Documents for SPINK7 Antibody - BSA Free

Certificate of Analysis

To download a Certificate of Analysis, please enter a lot number in the search box below.

Product Specific Notices for SPINK7 Antibody - BSA Free

This product is for research use only and is not approved for use in humans or in clinical diagnosis. Primary Antibodies are guaranteed for 1 year from date of receipt.

Loading...
Loading...
Loading...
Loading...