Skip to main content

Sphingomyelin synthase 1 Antibody - BSA Free

Novus Biologicals, part of Bio-Techne | Catalog # NBP1-92435

Novus Biologicals, part of Bio-Techne
Catalog #
Availability
Size / Price
Qty
Loading...
NBP1-92435-25ul
NBP1-92435

Key Product Details

Species Reactivity

Validated:

Human

Predicted:

Mouse (94%), Rat (95%). Backed by our 100% Guarantee.

Applications

Immunohistochemistry, Immunohistochemistry-Paraffin, Immunocytochemistry/ Immunofluorescence

Label

Unconjugated

Antibody Source

Polyclonal Rabbit IgG

Format

BSA Free

Concentration

Concentrations vary lot to lot. See vial label for concentration. If unlisted please contact technical services.

Product Specifications

Immunogen

This antibody was developed against Recombinant Protein corresponding to amino acids: ASTMKEVVYWSPKKVADWLLENAMPEYCEPLEHFTGQDLINLTQEDFKKPPLCRVSSDNGQRLLDMIETLKMEHHLEAHKNGHANGHLNIGVDIPTPDGSFSIKIKPNGMPNGYRKEMIKIPM

Clonality

Polyclonal

Host

Rabbit

Isotype

IgG

Description

Novus Biologicals Rabbit Sphingomyelin synthase 1 Antibody - BSA Free (NBP1-92435) is a polyclonal antibody validated for use in IHC and ICC/IF. Anti-Sphingomyelin synthase 1 Antibody: Cited in 1 publication. All Novus Biologicals antibodies are covered by our 100% guarantee.

Scientific Data Images for Sphingomyelin synthase 1 Antibody - BSA Free

Immunocytochemistry/ Immunofluorescence: Sphingomyelin synthase 1 Antibody [NBP1-92435]

Immunocytochemistry/ Immunofluorescence: Sphingomyelin synthase 1 Antibody [NBP1-92435]

Immunocytochemistry/Immunofluorescence: Sphingomyelin synthase 1 Antibody [NBP1-92435] - Staining of human cell line A-431 shows localization to nucleoplasm, cytosol & the Golgi apparatus. Antibody staining is shown in green.
Immunohistochemistry-Paraffin: Sphingomyelin synthase 1 Antibody [NBP1-92435]

Immunohistochemistry-Paraffin: Sphingomyelin synthase 1 Antibody [NBP1-92435]

Immunohistochemistry-Paraffin: Sphingomyelin synthase 1 Antibody [NBP1-92435] - Staining of human prostate shows moderate granular cytoplasmic positivity in glandular cells.
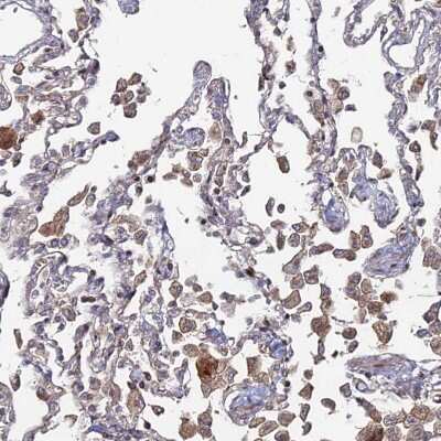
Immunohistochemistry-Paraffin: Sphingomyelin synthase 1 Antibody [NBP1-92435]

Immunohistochemistry-Paraffin: Sphingomyelin synthase 1 Antibody [NBP1-92435]

Immunohistochemistry-Paraffin: Sphingomyelin synthase 1 Antibody [NBP1-92435] - Staining of human lung shows moderate cytoplasmic positivity in macrophages.

Applications for Sphingomyelin synthase 1 Antibody - BSA Free

Application
Recommended Usage

Immunocytochemistry/ Immunofluorescence

0.25-2 ug/ml

Immunohistochemistry

1:50 - 1:200

Immunohistochemistry-Paraffin

1:50 - 1:200
Application Notes
For IHC-Paraffin, HIER pH 6 retrieval is recommended. ICC/IF Fixation Permeabilization: Use PFA/Triton X-100.

Formulation, Preparation, and Storage

Purification

Immunogen affinity purified

Formulation

PBS (pH 7.2) and 40% Glycerol

Format

BSA Free

Preservative

0.02% Sodium Azide

Concentration

Concentrations vary lot to lot. See vial label for concentration. If unlisted please contact technical services.

Shipping

The product is shipped with polar packs. Upon receipt, store it immediately at the temperature recommended below.

Stability & Storage

Store at 4C short term. Aliquot and store at -20C long term. Avoid freeze-thaw cycles.

Background: Sphingomyelin synthase 1

The protein encoded by the Sphingomyelin synthase 1 gene is predicted to be a five-pass transmembrane protein. This gene may be predominately expressed in brain. (provided by RefSeq)

Long Name

Phosphatidylcholine:ceramide cholinephosphotransferase 1

Alternate Names

EC 2.7.8.27, MOB, Protein Mob, SGMS1, SMS1, TMEM23

Gene Symbol

SGMS1

Additional Sphingomyelin synthase 1 Products

Product Documents for Sphingomyelin synthase 1 Antibody - BSA Free

Certificate of Analysis

To download a Certificate of Analysis, please enter a lot number in the search box below.

Product Specific Notices for Sphingomyelin synthase 1 Antibody - BSA Free

This product is for research use only and is not approved for use in humans or in clinical diagnosis. Primary Antibodies are guaranteed for 1 year from date of receipt.

Loading...
Loading...
Loading...
Loading...