Skip to main content

SPG11 Antibody - BSA Free

Novus Biologicals, part of Bio-Techne | Catalog # NBP1-76990

Novus Biologicals, part of Bio-Techne

Key Product Details

Species Reactivity

Human, Mouse, Rat

Applications

Immunohistochemistry, Immunohistochemistry-Paraffin, Western Blot, ELISA

Label

Unconjugated

Antibody Source

Polyclonal Rabbit IgG

Format

BSA Free

Concentration

1 mg/ml

Product Specifications

Immunogen

Antibody was raised against a 15 amino acid synthetic peptide near the carboxy terminus of human SPG11. The immunogen is located within amino acids 2360 - 2410 of SPG11. Amino Acid Squence: FEEISKKYKQHQPTD

Clonality

Polyclonal

Host

Rabbit

Isotype

IgG

Description

Novus Biologicals Rabbit SPG11 Antibody - BSA Free (NBP1-76990) is a polyclonal antibody validated for use in IHC, WB and ELISA. All Novus Biologicals antibodies are covered by our 100% guarantee.

Scientific Data Images for SPG11 Antibody - BSA Free

Western Blot: SPG11 AntibodyBSA Free [NBP1-76990]

Western Blot: SPG11 AntibodyBSA Free [NBP1-76990]

Western Blot: SPG11 Antibody [NBP1-76990] - Mouse heart tissue lysate with SPG11 antibody at (A) 0.5 and (B) 1 ug/mL.
SPG11 Antibody - BSA Free

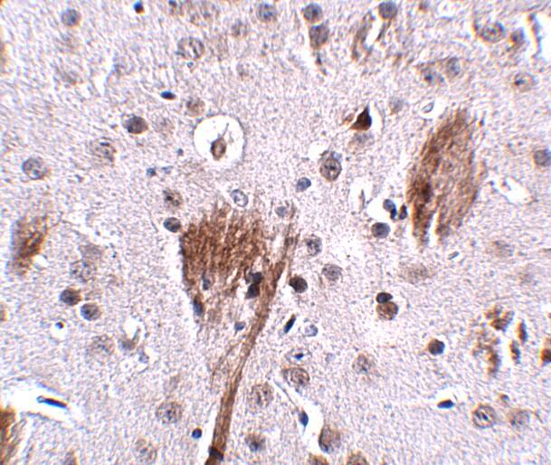
Immunohistochemistry: SPG11 Antibody - BSA Free [NBP1-76990] -

Immunohistochemistry: SPG11 Antibody - BSA Free [NBP1-76990] - Immunohistochemistry of SPG11 in mouse brain tissue with SPG11 antibody at 2.5 ug/mL.

Applications for SPG11 Antibody - BSA Free

Application
Recommended Usage

ELISA

1:100-1:2000

Immunohistochemistry

2.5 ug/ml

Immunohistochemistry-Paraffin

2.5 ug/ml

Western Blot

0.5-1 ug/ml

Formulation, Preparation, and Storage

Purification

Peptide affinity purified

Formulation

PBS

Format

BSA Free

Preservative

0.02% Sodium Azide

Concentration

1 mg/ml

Shipping

The product is shipped with polar packs. Upon receipt, store it immediately at the temperature recommended below.

Stability & Storage

Store at 4C short term. Aliquot and store at -20C long term. Avoid freeze-thaw cycles.

Background: SPG11

Hereditary spastic paraplegias (HSPs) are genetically and phenotypically heterogeneous disorders. Spastic paraplegia with thinning of the corpus callosum (ARHSP-TCC) is a relatively frequent form of complicated hereditary spastic paraplegia (cHSP) in which mental retardation and muscle stiffness at onset are followed by slowly progressive paraparesis and cognitive deterioration. Mutations of the SPG11 gene encoding the spatacsin protein have been identified as a major cause of HSP-TCC. Spatacsin is a potential transmembrane protein that is phosphorylated upon DNA damage. It is expressed in all structures of the brain, with a high expression in the cerebellum. SPG11 mutations may occur more frequently in familial than sporadic forms of cHSP without TCC. Kjellin syndrome is found to be associated with mutations in not only the SPG15 gene but also SPG11 gene. Recent studies show Parkinsonism may initiate SPG11-linked HSP TCC and that SPG11 may cause juvenile Parkinsonism.

Alternate Names

Colorectal carcinoma-associated protein, FLJ21439spatacsin, KIAA1840DKFZp762B1512, spastic paraplegia 11 (autosomal recessive), Spastic paraplegia 11 protein

Gene Symbol

SPG11

Additional SPG11 Products

Product Documents for SPG11 Antibody - BSA Free

Certificate of Analysis

To download a Certificate of Analysis, please enter a lot number in the search box below.

Product Specific Notices for SPG11 Antibody - BSA Free

This product is for research use only and is not approved for use in humans or in clinical diagnosis. Primary Antibodies are guaranteed for 1 year from date of receipt.

Loading...
Loading...
Loading...
Loading...