Skip to main content

Spectrin beta 2 Antibody

Novus Biologicals, part of Bio-Techne | Catalog # NB100-40828

Novus Biologicals, part of Bio-Techne
Catalog #
Availability
Size / Price
Qty
Loading...
NB100-40828

Key Product Details

Validated by

Independent Antibodies

Species Reactivity

Human, Mouse

Applications

Immunohistochemistry, Immunohistochemistry-Paraffin, Immunoprecipitation, Western Blot

Label

Unconjugated

Antibody Source

Polyclonal Rabbit IgG

Concentration

0.2 mg/ml

Product Specifications

Immunogen

The immunogen recognized by this antibody maps to a region between residue 2100 and 2150 of human Spectrin Non-Erythroid Beta 1 using the numbering given in entry NP_003119.2 (GeneID 6711).

Clonality

Polyclonal

Host

Rabbit

Isotype

IgG

Description

Novus Biologicals Rabbit Spectrin beta 2 Antibody (NB100-40828) is a polyclonal antibody validated for use in IHC, WB and IP. All Novus Biologicals antibodies are covered by our 100% guarantee.

Scientific Data Images for Spectrin beta 2 Antibody

Western Blot: Spectrin beta 2 Antibody [NB100-40828]

Western Blot: Spectrin beta 2 Antibody [NB100-40828]

Western Blot: Spectrin beta 2 Antibody [NB100-40828] - Detection of mouse SPTBN1 by western blot. Samples: Whole cell lysate (50 ug) from TCMK-1 and NIH 3T3 cells prepared using NETN lysis buffer. Antibody: Affinity purified rabbit anti-SPTBN1 antibody NB100-40828 used for WB at 0.1 ug/ml. Detection: Chemiluminescence with an exposure time of 30 seconds.
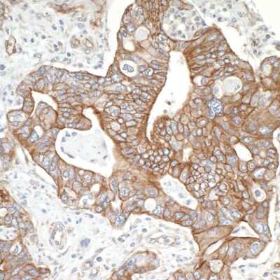
Immunohistochemistry: Spectrin beta 2 Antibody [NB100-40828]

Immunohistochemistry: Spectrin beta 2 Antibody [NB100-40828]

Immunohistochemistry: Spectrin beta 2 Antibody [NB100-40828] - Detection of human SPTBN1 by immunohistochemistry. Sample: FFPE section of human ovarian carcinoma. Antibody: Affinity purified rabbit anti- SPTBN1 (NB100-40828). Detection: DAB
Western Blot: Spectrin beta 2 Antibody [NB100-40828]

Western Blot: Spectrin beta 2 Antibody [NB100-40828]

Western Blot: Spectrin beta 2 Antibody [NB100-40828] - Detection of human SPTBN1 by western blot. Samples: Whole cell lysate (50 ug) from HeLa, HEK293T, and Jurkat cells prepared using NETN lysis buffer. Antibody: Affinity purified rabbit anti-SPTBN1 antibody NB100-40828 used for WB at 0.1 ug/ml. Detection: Chemiluminescence with an exposure time of 10 seconds.

Applications for Spectrin beta 2 Antibody

Application
Recommended Usage

Immunohistochemistry-Paraffin

1:500-1:2000

Immunoprecipitation

2-5 ug/mg lysate

Formulation, Preparation, and Storage

Purification

Immunogen affinity purified

Formulation

TBS and 0.1% BSA

Preservative

0.09% Sodium Azide

Concentration

0.2 mg/ml

Shipping

The product is shipped with polar packs. Upon receipt, store it immediately at the temperature recommended below.

Stability & Storage

Store at 4C. Do not freeze.

Background: Spectrin beta 2

SPTBN1 is a major constituent of the erythrocyte skeleton, accounting for 25% of the total membrane protein and 75% of the cytoskeletal mass. It is associated with the cytoplasmic surface of the membrane by attachment to ankyrin, a peripheral membrane protein. The membrane skeleton influences several cellular properties such as cell shape, restriction of mobility of the integral membrane protein exposed at the cell surface, and transmembrane movement of phospholipids and cholesterol. While the simplest form of SPTBN1 in solution is an alpha-beta heterodimer, SPTBN1 can undergo self-association in various conditions to form a tetramer of alpha2-beta2. In recent years a large number of SPTBN1-like molecules have been found in non-erythroid cells. These proteins are known by such different names as fodrin, CBP I, calspectin and TW 260/240.

Alternate Names

beta-fodrin, beta-G spectrin, Beta-II spectrin, beta-spectrin 2, beta-spectrin II, betaSpII, ELF, embryonic liver beta-fodrin, Fodrin beta chain, spectrin beta chain, brain 1, spectrin, beta, non-erythrocytic 1, Spectrin, non-erythroid beta chain 1, SPTB2

Entrez Gene IDs

6711 (Human); 20740 (Mouse)

Gene Symbol

SPTBN1

Additional Spectrin beta 2 Products

Product Documents for Spectrin beta 2 Antibody

Certificate of Analysis

To download a Certificate of Analysis, please enter a lot number in the search box below.

Product Specific Notices for Spectrin beta 2 Antibody

This product is for research use only and is not approved for use in humans or in clinical diagnosis. Primary Antibodies are guaranteed for 1 year from date of receipt.

Loading...
Loading...
Loading...
Loading...
Loading...