Skip to main content

Spectrin alpha 1 Antibody - BSA Free

Novus Biologicals, part of Bio-Techne | Catalog # NBP3-36712

Novus Biologicals, part of Bio-Techne
Catalog #
Availability
Size / Price
Qty
Loading...
NBP3-36712-100ul
NBP3-36712-20ul

Key Product Details

Species Reactivity

Human, Mouse, Rat

Applications

Immunohistochemistry, Immunohistochemistry-Paraffin, Western Blot, ELISA, Immunocytochemistry/ Immunofluorescence

Label

Unconjugated

Antibody Source

Polyclonal Rabbit IgG

Format

BSA Free

Concentration

Please see the vial label for concentration. If unlisted please contact technical services.

Product Specifications

Immunogen

Recombinant fusion protein containing a sequence corresponding to amino acids 940-1160 of human Spectrin alpha 1 (NP_003117.2).

Sequence:
KHEAFLLDLNSFGDSMKALRNQANACQQQQAAPVEGVAGEQRVMALYDFQARSPREVTMKKGDVLTLLSSINKDWWKVEAADHQGIVPAVYVRRLAHDEFPMLPQRRREEPGNITQRQEQIENQYRSLLDRAEERRRRLLQRYNEFLLAYEAGDMLEWIQEKKAENTGVELDDVWELQKKFDEFQKDLNTNEPRLRDINKVADDLLFEGLLTPEGAQIRQE

Clonality

Polyclonal

Host

Rabbit

Isotype

IgG

Theoretical MW

280 kDa.
Disclaimer note: The observed molecular weight of the protein may vary from the listed predicted molecular weight due to post translational modifications, post translation cleavages, relative charges, and other experimental factors.

Description

Novus Biologicals Rabbit Spectrin alpha 1 Antibody - BSA Free (NBP3-36712) is a polyclonal antibody validated for use in IHC, WB, ELISA and ICC/IF. All Novus Biologicals antibodies are covered by our 100% guarantee.

Scientific Data Images for Spectrin alpha 1 Antibody - BSA Free

Spectrin alpha 1 Antibody

Western Blot: Spectrin alpha 1 Antibody [NBP3-36712] -

Western Blot: Spectrin alpha 1 Antibody [NBP3-36712] - Western blot analysis of various lysates using Spectrin alpha 1 Rabbit pAb at 1:3000 dilution.
Secondary antibody: HRP-conjugated Goat anti-Rabbit IgG (H+L) at 1:10000 dilution.
Lysates/proteins: 25ug per lane.
Blocking buffer: 3% nonfat dry milk in TBST.
Detection: ECL Basic Kit.
Exposure time: 10s.
Spectrin alpha 1 Antibody

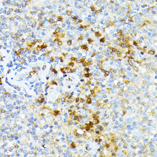
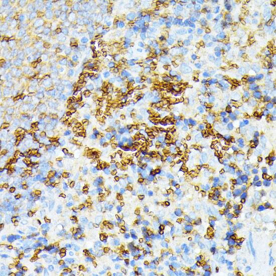
Immunohistochemistry: Spectrin alpha 1 Antibody [NBP3-36712] -

Immunohistochemistry: Spectrin alpha 1 Antibody [NBP3-36712] - Immunohistochemistry analysis of paraffin-embedded Human tonsil using Spectrin alpha 1 Rabbit pAb at dilution of 1:100 (40x lens). Microwave antigen retrieval performed with 0.01M PBS Buffer (pH 7.2) prior to IHC staining.
Spectrin alpha 1 Antibody

Immunocytochemistry/ Immunofluorescence: Spectrin alpha 1 Antibody [NBP3-36712] -

Immunocytochemistry/ Immunofluorescence: Spectrin alpha 1 Antibody [NBP3-36712] - Immunofluorescence analysis of paraffin-embedded rat bone marrow using Spectrin alpha 1 Rabbit pAb at dilution of 1:100. Secondary antibody: Cy3-conjugated Goat anti-Rabbit IgG (H+L) at 1:500 dilution. Blue: DAPI for nuclear staining.

Applications for Spectrin alpha 1 Antibody - BSA Free

Application
Recommended Usage

Immunocytochemistry/ Immunofluorescence

1:50 - 1:200

Immunohistochemistry-Paraffin

1:50 - 1:200

Western Blot

1:500 - 1:2000

Formulation, Preparation, and Storage

Purification

Affinity purified

Formulation

PBS (pH 7.3), 50% glycerol

Format

BSA Free

Preservative

0.09% Sodium Azide

Concentration

Please see the vial label for concentration. If unlisted please contact technical services.

Shipping

The product is shipped with polar packs. Upon receipt, store it immediately at the temperature recommended below.

Stability & Storage

Store at -20C. Avoid freeze-thaw cycles.

Background: Spectrin alpha 1

Spectrin is a major constituent of the erythrocyte skeleton accounting for 25% of the total membrane protein and 75% of the cytoskeletal mass. It is associated with the cytoplasmic surface of the membrane by attachment to ankyrin, a peripheral membrane protein. The membrane skeleton influences several cellular properties such as cell shape, restriction of mobility of the integral membrane protein exposed at the cell surface and transmembrane movement of phospholipids and cholesterol. On SDS PAGE gels erythrocyte spectrin appears as two bands referred to as alpha (240 kDa) and beta (220 kDa). While the simplest form of spectrin in solution is an alpha-beta heterodimer, spectrin can undergo self-association in various conditions to form a tetramer of alpha2-beta2. In recent years a large number of spectrin-like molecules have been found in non-erythroid cells. These proteins are known by such different names as fodrin, CBP I, calspectin and TW 260/240.

Alternate Names

alpha-I spectrin, EL2, erythrocyte, HS3, spectrin, alpha, erythrocytic 1 (elliptocytosis 2)

Gene Symbol

SPTA1

Additional Spectrin alpha 1 Products

Product Documents for Spectrin alpha 1 Antibody - BSA Free

Certificate of Analysis

To download a Certificate of Analysis, please enter a lot number in the search box below.

Product Specific Notices for Spectrin alpha 1 Antibody - BSA Free

This product is for research use only and is not approved for use in humans or in clinical diagnosis. Primary Antibodies are guaranteed for 1 year from date of receipt.

Loading...
Loading...
Loading...
Loading...