Skip to main content

SPATS2 Antibody - BSA Free

Novus Biologicals, part of Bio-Techne | Catalog # NBP1-82269

Novus Biologicals, part of Bio-Techne
Catalog #
Availability
Size / Price
Qty
Loading...
NBP1-82269
NBP1-82269-25ul

Key Product Details

Species Reactivity

Human

Applications

Immunohistochemistry, Immunohistochemistry-Paraffin, Immunocytochemistry/ Immunofluorescence

Label

Unconjugated

Antibody Source

Polyclonal Rabbit IgG

Format

BSA Free

Concentration

Concentrations vary lot to lot. See vial label for concentration. If unlisted please contact technical services.

Product Specifications

Immunogen

This antibody was developed against Recombinant Protein corresponding to amino acids: SKSVSIQEEQSAPSSEKGGMNGYHVNGAINDTESVDSLSEGLETLSIDARELEDPESAMLDTLDRTGSMLQNGVSDFETKSLTMHSIHNSQQPRNAAKSLSRPTTETQ

Reactivity Notes

Immunogen displays the following percentage of sequence identity for non-tested species: Mouse (80%)

Clonality

Polyclonal

Host

Rabbit

Isotype

IgG

Scientific Data Images for SPATS2 Antibody - BSA Free

Immunocytochemistry/ Immunofluorescence: SPATS2 Antibody [NBP1-82269]

Immunocytochemistry/ Immunofluorescence: SPATS2 Antibody [NBP1-82269]

Immunocytochemistry/Immunofluorescence: SPATS2 Antibody [NBP1-82269] - Staining of human cell line U-2 OS shows positivity in cytoplasm.
Immunohistochemistry-Paraffin: SPATS2 Antibody [NBP1-82269]

Immunohistochemistry-Paraffin: SPATS2 Antibody [NBP1-82269]

Immunohistochemistry-Paraffin: SPATS2 Antibody [NBP1-82269] - Staining of human liver shows very weak cytoplasmic positivity in hepatocytes.
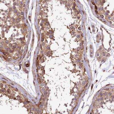
Immunohistochemistry-Paraffin: SPATS2 Antibody [NBP1-82269]

Immunohistochemistry-Paraffin: SPATS2 Antibody [NBP1-82269]

Immunohistochemistry-Paraffin: SPATS2 Antibody [NBP1-82269] - Staining of human testis shows cytoplasmic positivity in leydig cells and seminiferus ducts.

Applications for SPATS2 Antibody - BSA Free

Application
Recommended Usage

Immunocytochemistry/ Immunofluorescence

0.25-2 ug/ml

Immunohistochemistry

1:20 - 1:50

Immunohistochemistry-Paraffin

1:20 - 1:50
Application Notes
For IHC-Paraffin, HIER pH 6 retrieval is recommended. ICC/IF,Fixation Permeabilization: Use PFA/Triton X-100.

Formulation, Preparation, and Storage

Purification

Affinity purified

Formulation

PBS (pH 7.2) and 40% Glycerol

Format

BSA Free

Preservative

0.02% Sodium Azide

Concentration

Concentrations vary lot to lot. See vial label for concentration. If unlisted please contact technical services.

Shipping

The product is shipped with polar packs. Upon receipt, store it immediately at the temperature recommended below.

Stability & Storage

Store at 4C short term. Aliquot and store at -20C long term. Avoid freeze-thaw cycles.

Background: SPATS2

Alternate Names

FLJ13117, P59SCR, SCR59putative protein product of Nbla00526, Serine-rich spermatocytes and round spermatid 59 kDa protein, SPATA10serine-rich spermatocytes and round spermatid protein, spermatogenesis associated, serine-rich 2, spermatogenesis-associated serine-rich protein 2

Gene Symbol

SPATS2

Additional SPATS2 Products

Product Documents for SPATS2 Antibody - BSA Free

Certificate of Analysis

To download a Certificate of Analysis, please enter a lot number in the search box below.

Product Specific Notices for SPATS2 Antibody - BSA Free

This product is for research use only and is not approved for use in humans or in clinical diagnosis. Primary Antibodies are guaranteed for 1 year from date of receipt.

Loading...
Loading...
Loading...
Loading...