Skip to main content

SPATA16 Antibody - BSA Free

Novus Biologicals, part of Bio-Techne | Catalog # NBP2-13368

Novus Biologicals, part of Bio-Techne
Catalog #
Availability
Size / Price
Qty
Loading...
NBP2-13368
NBP2-13368-25ul

Key Product Details

Validated by

Orthogonal Validation

Species Reactivity

Human

Applications

Immunohistochemistry, Immunohistochemistry-Paraffin

Label

Unconjugated

Antibody Source

Polyclonal Rabbit IgG

Format

BSA Free

Concentration

Concentrations vary lot to lot. See vial label for concentration. If unlisted please contact technical services.

Product Specifications

Immunogen

This antibody was developed against a recombinant protein corresponding to the amino acids: LQALHMLPQTVDWSSFPPQQYLLTLGFKNKDDGKFLEKISSRKLPIFTEHKTPFGLTREDTVRQMETMGKRIL

Reactivity Notes

Immunogen displays the following percentage of sequence identity for non-tested species: Mouse (82%), Rat (80%)

Clonality

Polyclonal

Host

Rabbit

Isotype

IgG

Description

Novus Biologicals Rabbit SPATA16 Antibody - BSA Free (NBP2-13368) is a polyclonal antibody validated for use in IHC. All Novus Biologicals antibodies are covered by our 100% guarantee.

Scientific Data Images for SPATA16 Antibody - BSA Free

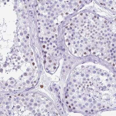
Immunohistochemistry-Paraffin: SPATA16 Antibody [NBP2-13368]

Immunohistochemistry-Paraffin: SPATA16 Antibody [NBP2-13368]

Immunohistochemistry-Paraffin: SPATA16 Antibody [NBP2-13368] - Staining of human testis shows strong nuclear positivity in subset of cells in seminiferus ducts.
Immunohistochemistry-Paraffin: SPATA16 Antibody [NBP2-13368]

Immunohistochemistry-Paraffin: SPATA16 Antibody [NBP2-13368]

Immunohistochemistry-Paraffin: SPATA16 Antibody [NBP2-13368] - Staining of human endometrium shows low expression as expected.
Immunohistochemistry-Paraffin: SPATA16 Antibody [NBP2-13368]

Immunohistochemistry-Paraffin: SPATA16 Antibody [NBP2-13368]

Immunohistochemistry-Paraffin: SPATA16 Antibody [NBP2-13368] - Staining of human testis shows high expression.

Applications for SPATA16 Antibody - BSA Free

Application
Recommended Usage

Immunohistochemistry

1:500 - 1:1000

Immunohistochemistry-Paraffin

1:500 - 1:1000
Application Notes
For IHC-Paraffin, HIER pH 6 retrieval is recommended.

Formulation, Preparation, and Storage

Purification

Immunogen affinity purified

Formulation

PBS (pH 7.2) and 40% Glycerol

Format

BSA Free

Preservative

0.02% Sodium Azide

Concentration

Concentrations vary lot to lot. See vial label for concentration. If unlisted please contact technical services.

Shipping

The product is shipped with polar packs. Upon receipt, store it immediately at the temperature recommended below.

Stability & Storage

Store at 4C short term. Aliquot and store at -20C long term. Avoid freeze-thaw cycles.

Background: SPATA16

SPATA16 is involved in the formation of sperm acrosome, which implicated its potential role in spermatogenesis andsperm-egg fusion

Alternate Names

NYD-SP12, spermatogenesis associated 16, Testis development protein NYD-SP12, testis-specific Golgi protein

Gene Symbol

SPATA16

Additional SPATA16 Products

Product Documents for SPATA16 Antibody - BSA Free

Certificate of Analysis

To download a Certificate of Analysis, please enter a lot number in the search box below.

Product Specific Notices for SPATA16 Antibody - BSA Free

This product is for research use only and is not approved for use in humans or in clinical diagnosis. Primary Antibodies are guaranteed for 1 year from date of receipt.

Loading...
Loading...
Loading...
Loading...