Skip to main content

SP110 Antibody (PSH03-66)

Novus Biologicals, part of Bio-Techne | Catalog # NBP3-32973

Recombinant Monoclonal Antibody
Novus Biologicals, part of Bio-Techne
Catalog #
Availability
Size / Price
Qty
Loading...
NBP3-32973

Key Product Details

Species Reactivity

Human, Mouse, Rat

Applications

Immunohistochemistry, Immunohistochemistry-Paraffin, Western Blot

Label

Unconjugated

Antibody Source

Recombinant Monoclonal Rabbit IgG1 Clone # PSH03-66 expressed in HEK293

Concentration

1 mg/ml

Product Specifications

Immunogen

Recombinant protein within human SP110 aa 301-550 / 689. (Uniprot: Q9HB58)

Localization

Nucleus.

Clonality

Monoclonal

Host

Rabbit

Isotype

IgG1

Theoretical MW

78 kDa.
Disclaimer note: The observed molecular weight of the protein may vary from the listed predicted molecular weight due to post translational modifications, post translation cleavages, relative charges, and other experimental factors.

Description

Novus Biologicals Rabbit SP110 Antibody (PSH03-66) (NBP3-32973) is a recombinant monoclonal antibody validated for use in IHC and WB. All Novus Biologicals antibodies are covered by our 100% guarantee.

Scientific Data Images for SP110 Antibody (PSH03-66)

SP110 Antibody (PSH03-66)

Western Blot: SP110 Antibody (PSH03-66) [NBP3-32973]

Western Blot: SP110 Antibody (PSH03-66) [NBP3-32973] - Western blot analysis of SP110 on different lysates with Rabbit anti-SP110 antibody (NBP3-32973) at 1/1,000 dilution.

Lane 1: Jurkat cell lysate
Lane 2: HeLa cell lysate
Lane 3: HL-60 cell lysate
Lane 4: SW480 cell lysate
Lane 5: Daudi cell lysate
Lane 6: K-562 cell lysate
Lane 7: PC-3M cell lysate

Lysates/proteins at 20 ug/Lane.

Predicted band size: 78 kDa
Observed band size: 29-78 kDa

Exposure time: 3 minutes;

4-20% SDS-PAGE gel.

Proteins were transferred to a PVDF membrane and blocked with 5% NFDM/TBST for 1 hour at room temperature. The primary antibody (NBP3-32973) at 1/1,000 dilution was used in 5% NFDM/TBST at 4C overnight. Goat Anti-Rabbit IgG - HRP Secondary Antibody at 1/50,000 dilution was used for 1 hour at room temperature.
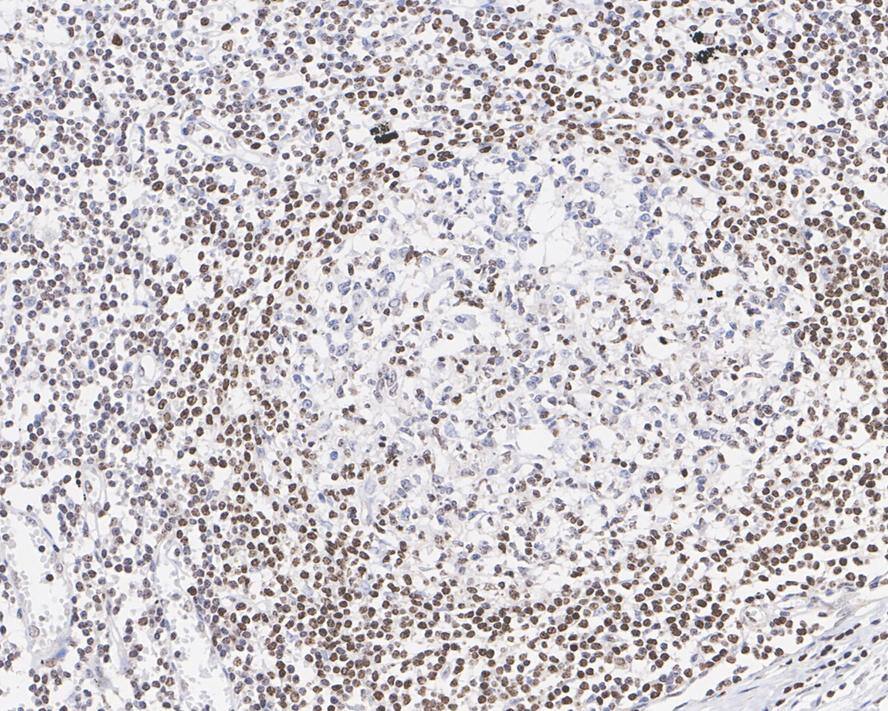
SP110 Antibody (PSH03-66)

Immunohistochemistry: SP110 Antibody (PSH03-66) [NBP3-32973]

Immunohistochemistry: SP110 Antibody (PSH03-66) [NBP3-32973] - Immunohistochemical analysis of paraffin-embedded human lymph node tissue with Rabbit anti-SP110 antibody (NBP3-32973) at 1/2,000 dilution.

The section was pre-treated using heat mediated antigen retrieval with sodium citrate buffer (pH 6.0) for 2 minutes. The tissues were blocked in 1% BSA for 20 minutes at room temperature, washed with ddH2O and PBS, and then probed with the primary antibody (NBP3-32973) at 1/2,000 dilution for 1 hour at room temperature. The detection was performed using an HRP conjugated compact polymer system. DAB was used as the chromogen. Tissues were counterstained with hematoxylin and mounted with DPX.

Applications for SP110 Antibody (PSH03-66)

Application
Recommended Usage

Immunohistochemistry-Paraffin

1:2000

Western Blot

1:1000

Formulation, Preparation, and Storage

Purification

Protein A purified

Formulation

PBS (pH7.4), 0.1% BSA and 40% Glycerol

Preservative

0.05% Sodium Azide

Concentration

1 mg/ml

Shipping

The product is shipped with polar packs. Upon receipt, store it immediately at the temperature recommended below.

Stability & Storage

Store at 4C short term. Aliquot and store at -20C long term. Avoid freeze-thaw cycles.

Background: SP110

The nuclear body is a multiprotein complex that may have a role in the regulation of gene transcription. This gene is a member of the SP100/SP140 family of nuclear body proteins and encodes a leukocyte-specific nuclear body component. The protein can function as an activator of gene transcription and may serve as a nuclear hormone receptor coactivator. In addition, it has been suggested that the protein may play a role in ribosome biogenesis and in the induction of myeloid cell differentiation. Alternative splicing has been observed for this gene and three transcript variants, encoding distinct isoforms, have been identified.

Alternate Names

FLJ22835, IFI41, IFI75, interferon-induced protein 41, 30kD, Interferon-induced protein 41/75, interferon-induced protein 75, 52kD, IPR1, phosphoprotein 41, phosphoprotein 75, SP110 nuclear body protein, Speckled 110 kDa, Transcriptional coactivator Sp110, VODI

Gene Symbol

SP110

Additional SP110 Products

Product Documents for SP110 Antibody (PSH03-66)

Certificate of Analysis

To download a Certificate of Analysis, please enter a lot number in the search box below.

Product Specific Notices for SP110 Antibody (PSH03-66)

This product is for research use only and is not approved for use in humans or in clinical diagnosis. Primary Antibodies are guaranteed for 1 year from date of receipt.

Loading...
Loading...
Loading...
Loading...