Skip to main content

SOX4 Antibody (CL5665) - Azide and BSA Free

Novus Biologicals, part of Bio-Techne | Catalog # NBP3-44188

Novus Biologicals, part of Bio-Techne
Catalog #
Availability
Size / Price
Qty
Loading...
NBP3-44188

Key Product Details

Species Reactivity

Human, Mouse, Rat

Applications

Immunohistochemistry-Paraffin, Immunocytochemistry/ Immunofluorescence

Label

Unconjugated

Antibody Source

Monoclonal Mouse IgG1 Clone # CL5665

Format

Azide and BSA Free

Concentration

LYOPH mg/ml

Product Specifications

Immunogen

This antibody was generated using a synthetic peptide of Q06945, with the exact immunogen sequence remaining proprietary.

Clonality

Monoclonal

Host

Mouse

Isotype

IgG1

Description

Novus Biologicals Mouse SOX4 Antibody (CL5665) - Azide and BSA Free (NBP2-61421) is a monoclonal antibody validated for use in IHC and ICC/IF. All Novus Biologicals antibodies are covered by our 100% guarantee.

Scientific Data Images for SOX4 Antibody (CL5665) - Azide and BSA Free

SOX4 Antibody (CL5665) - Azide and BSA Free Immunohistochemistry-Paraffin: SOX4 Antibody [NBP3-44188]

Immunohistochemistry-Paraffin: SOX4 Antibody [NBP3-44188]

Staining of human endometrium shows moderate to strong nuclear positivity in stromal cells.
SOX4 Antibody (CL5665) - Azide and BSA Free Immunohistochemistry-Paraffin: SOX4 Antibody [NBP3-44188]

Immunohistochemistry-Paraffin: SOX4 Antibody [NBP3-44188]

Staining of human glioma shows moderate to strong nuclear positivity in tumor cells.
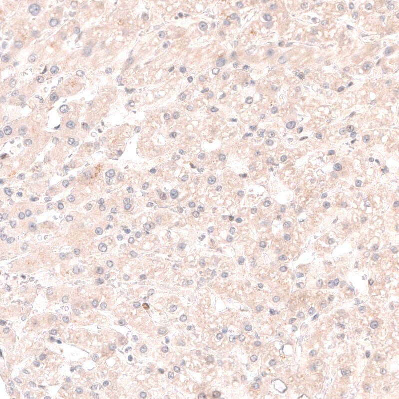
SOX4 Antibody (CL5665) - Azide and BSA Free Immunohistochemistry-Paraffin: SOX4 Antibody [NBP3-44188]

Immunohistochemistry-Paraffin: SOX4 Antibody [NBP3-44188]

Staining of human liver shows no nuclear positivity in hepatocytes as expected.

Applications for SOX4 Antibody (CL5665) - Azide and BSA Free

Application
Recommended Usage

Immunocytochemistry/ Immunofluorescence

2-10 ug/ml

Immunohistochemistry-Paraffin

1:1000 - 1:2500
Application Notes
For IHC-Paraffin, HIER pH 6 retrieval is recommended. Immunocytochemistry/ Immunofluorescence/IF, Fixation Permeabilization: PFA/Triton X-100

Formulation, Preparation, and Storage

Purification

Protein A purified

Reconstitution

Centrifuge the vial of lyophilized antibody at 12,000 x g for 20 seconds. Reconstitute by adding sterile, distilled water to achieve a final antibody concentration of 1mg/ml.

Formulation

Lyophilized from a 0.2 um filtered solution in PBS with Trehalose

Format

Azide and BSA Free

Preservative

No Preservative

Concentration

LYOPH mg/ml

Shipping

The product is shipped at ambient temperature. Upon receipt, store it immediately at the temperature recommended below.

Stability & Storage

Store at 4C short term. Aliquot and store at -20C long term. Avoid freeze-thaw cycles.

Background: SOX4

SOX4 encodes a member of the SOX (SRY-related HMG-box) family of transcription factors involved in the regulation of embryonic development and in the determination of the cell fate. The encoded protein may act as a transcriptional regulator after forming a protein complex with other proteins, such as syndecan binding protein (syntenin). The protein may function in the apoptosis pathway leading to cell death as well as to tumorigenesis and may mediate downstream effects of parathyroid hormone (PTH) and PTH-related protein (PTHrP) in bone development. The solution structure has been resolved for the HMG-box of a similar mouse protein.

Alternate Names

ecotropic viral integration site 16, EVI16, SRY (sex determining region Y)-box 4, SRY-related HMG-box gene 4, transcription factor SOX-4

Gene Symbol

SOX4

Additional SOX4 Products

Product Documents for SOX4 Antibody (CL5665) - Azide and BSA Free

Certificate of Analysis

To download a Certificate of Analysis, please enter a lot number in the search box below.

Product Specific Notices for SOX4 Antibody (CL5665) - Azide and BSA Free

This product is for research use only and is not approved for use in humans or in clinical diagnosis. Primary Antibodies are guaranteed for 1 year from date of receipt.

Loading...
Loading...
Loading...
Loading...
Loading...