SOX4 Antibody (CL5634) - Azide and BSA Free
Novus Biologicals, part of Bio-Techne | Catalog # NBP3-44187
Conjugate
Catalog #
Forumulation
Catalog #
Key Product Details
Species Reactivity
Human, Mouse, Rat
Applications
Immunohistochemistry-Paraffin, Immunocytochemistry/ Immunofluorescence
Label
Unconjugated
Antibody Source
Monoclonal Mouse IgG2B Clone # CL5634
Format
Azide and BSA Free
Concentration
LYOPH mg/ml
Product Specifications
Immunogen
This antibody was generated using a synthetic peptide of Q06945, with the exact immunogen sequence remaining proprietary.
Clonality
Monoclonal
Host
Mouse
Isotype
IgG2B
Description
Novus Biologicals Mouse SOX4 Antibody (CL5634) - Azide and BSA Free (NBP2-61420) is a monoclonal antibody validated for use in IHC and ICC/IF. All Novus Biologicals antibodies are covered by our 100% guarantee.
Scientific Data Images for SOX4 Antibody (CL5634) - Azide and BSA Free
Immunohistochemistry-Paraffin: SOX4 Antibody [NBP3-44187]
Staining of human liver shows no nuclear positivity in hepatocytes as expected.Immunohistochemistry-Paraffin: SOX4 Antibody [NBP3-44187]
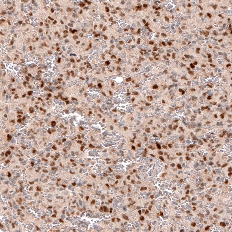
Staining of human glioma shows moderate to strong nuclear positivity in tumor cells.Immunohistochemistry-Paraffin: SOX4 Antibody [NBP3-44187]
Staining of human endometrium shows moderate to strong nuclear positivity in stromal cells.Applications for SOX4 Antibody (CL5634) - Azide and BSA Free
Application
Recommended Usage
Immunocytochemistry/ Immunofluorescence
2-10 ug/ml
Immunohistochemistry-Paraffin
1:1000 - 1:2500
Application Notes
For IHC-Paraffin, HIER pH 6 retrieval is recommended. Immunocytochemistry/ Immunofluorescence/IF Fixation Permeabilization: PFA/Triton X-100.
Formulation, Preparation, and Storage
Purification
Protein A purified
Reconstitution
Centrifuge the vial of lyophilized antibody at 12,000 x g for 20 seconds. Reconstitute by adding sterile, distilled water to achieve a final antibody concentration of 1mg/ml.
Formulation
Lyophilized from a 0.2 um filtered solution in PBS with Trehalose
Format
Azide and BSA Free
Preservative
No Preservative
Concentration
LYOPH mg/ml
Shipping
The product is shipped at ambient temperature. Upon receipt, store it immediately at the temperature recommended below.
Stability & Storage
Store at 4C short term. Aliquot and store at -20C long term. Avoid freeze-thaw cycles.
Background: SOX4
Alternate Names
ecotropic viral integration site 16, EVI16, SRY (sex determining region Y)-box 4, SRY-related HMG-box gene 4, transcription factor SOX-4
Gene Symbol
SOX4
Additional SOX4 Products
Product Documents for SOX4 Antibody (CL5634) - Azide and BSA Free
Product Specific Notices for SOX4 Antibody (CL5634) - Azide and BSA Free
This product is for research use only and is not approved for use in humans or in clinical diagnosis. Primary Antibodies are guaranteed for 1 year from date of receipt.
Loading...
Loading...
Loading...
Loading...
Loading...