Skip to main content

SOX11 Antibody (CL0143) - Azide and BSA Free

Novus Biologicals, part of Bio-Techne | Catalog # NBP3-43927

Novus Biologicals, part of Bio-Techne
Catalog #
Availability
Size / Price
Qty
Loading...
NBP3-43927

Key Product Details

Species Reactivity

Human

Applications

Immunohistochemistry-Paraffin, Western Blot

Label

Unconjugated

Antibody Source

Monoclonal Mouse IgG2A Clone # CL0143

Format

Azide and BSA Free

Concentration

LYOPH mg/ml

Product Specifications

Immunogen

This antibody was generated using a recombinant protein sequence of P35716, with the exact immunogen sequence remaining proprietary.

Clonality

Monoclonal

Host

Mouse

Isotype

IgG2A

Description

Novus Biologicals Mouse SOX11 Antibody (CL0143) - Azide and BSA Free (NBP2-52865) is a monoclonal antibody validated for use in IHC and WB. All Novus Biologicals antibodies are covered by our 100% guarantee.

Scientific Data Images for SOX11 Antibody (CL0143) - Azide and BSA Free

SOX11 Antibody (CL0143) - Azide and BSA Free Western Blot: SOX11 Antibody [NBP3-43927]

Western Blot: SOX11 Antibody [NBP3-43927]

Lane 1: Marker [kDa]
Lane 2: Negative control (vector only transfected HEK293T lysate)
Lane 3: SOX11 Over-expression Lysate (Co-expressed with a C-terminal myc-DDK tag (~3.1 kDa) in mammalian HEK293T cells)
SOX11 Antibody (CL0143) - Azide and BSA Free Immunohistochemistry-Paraffin: SOX11 Antibody [NBP3-43927]

Immunohistochemistry-Paraffin: SOX11 Antibody [NBP3-43927]

Staining of human chronic lymphocytic leukemia shows no nuclear positivity in tumor cells as expected.
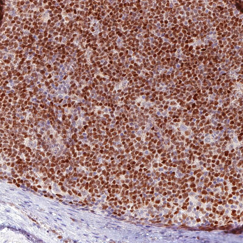
SOX11 Antibody (CL0143) - Azide and BSA Free Immunohistochemistry-Paraffin: SOX11 Antibody [NBP3-43927]

Immunohistochemistry-Paraffin: SOX11 Antibody [NBP3-43927]

Staining of human mantle cell lymphoma shows moderate to strong nuclear positivity in tumor cells.

Applications for SOX11 Antibody (CL0143) - Azide and BSA Free

Application
Recommended Usage

Immunohistochemistry-Paraffin

1:200 - 1:500

Western Blot

1 ug/ml
Application Notes
For IHC-Paraffin, HIER pH 6 retrieval is recommended.

Formulation, Preparation, and Storage

Purification

Protein A purified

Reconstitution

Centrifuge the vial of lyophilized antibody at 12,000 x g for 20 seconds. Reconstitute by adding sterile, distilled water to achieve a final antibody concentration of 1mg/ml.

Formulation

Lyophilized from a 0.2 um filtered solution in PBS with Trehalose

Format

Azide and BSA Free

Preservative

No Preservative

Concentration

LYOPH mg/ml

Shipping

The product is shipped at ambient temperature. Upon receipt, store it immediately at the temperature recommended below.

Stability & Storage

Store at 4C short term. Aliquot and store at -20C long term. Avoid freeze-thaw cycles.

Background: SOX11

SOX11 encodes a member of the SOX (SRY-related HMG-box) family of transcription factors involved in the regulation of embryonic development and in the determination of the cell fate. The encoded protein may act as a transcriptional regulator after forming a protein complex with other proteins. The protein may function in the developing nervous system and play a role in tumorigenesis.

Long Name

Transcription Factor SRY (Sex Determining Region Y)-box 11

Alternate Names

SRY (sex determining region Y)-box 11, SRY (sex-determining region Y)-box 11, SRY-related HMG-box gene 11, transcription factor SOX-11

Gene Symbol

SOX11

Additional SOX11 Products

Product Documents for SOX11 Antibody (CL0143) - Azide and BSA Free

Certificate of Analysis

To download a Certificate of Analysis, please enter a lot number in the search box below.

Product Specific Notices for SOX11 Antibody (CL0143) - Azide and BSA Free

This product is for research use only and is not approved for use in humans or in clinical diagnosis. Primary Antibodies are guaranteed for 1 year from date of receipt.

Loading...
Loading...
Loading...
Loading...
Loading...