Skip to main content

Sorbitol Dehydrogenase Antibody - BSA Free

Novus Biologicals, part of Bio-Techne | Catalog # NBP1-87415

Novus Biologicals, part of Bio-Techne
Catalog #
Availability
Size / Price
Qty
Loading...
NBP1-87415
NBP1-87415-25ul

Key Product Details

Validated by

Orthogonal Validation, Independent Antibodies

Species Reactivity

Human, Mouse, Rat

Applications

Immunohistochemistry, Immunohistochemistry-Paraffin, Western Blot

Label

Unconjugated

Antibody Source

Polyclonal Rabbit IgG

Format

BSA Free

Concentration

Concentrations vary lot to lot. See vial label for concentration. If unlisted please contact technical services.

Product Specifications

Immunogen

This antibody was developed against Recombinant Protein corresponding to amino acids: PGDRVAIEPGAPRENDEFCKMGRYNLSPSIFFCATPPDDGNLCRFYKHNAAFCYKLPDNVTFEEGALIEPLSVGIHACRRGG

Clonality

Polyclonal

Host

Rabbit

Isotype

IgG

Description

Novus Biologicals Rabbit Sorbitol Dehydrogenase Antibody - BSA Free (NBP1-87415) is a polyclonal antibody validated for use in IHC and WB. All Novus Biologicals antibodies are covered by our 100% guarantee.

Scientific Data Images for Sorbitol Dehydrogenase Antibody - BSA Free

Immunohistochemistry-Paraffin: Sorbitol Dehydrogenase Antibody [NBP1-87415]

Immunohistochemistry-Paraffin: Sorbitol Dehydrogenase Antibody [NBP1-87415]

Immunohistochemistry-Paraffin: Sorbitol Dehydrogenase Antibody [NBP1-87415] - Analysis in human prostate and skeletal muscle tissues using NBP1-87415 antibody. Corresponding SORD RNA-seq data are presented for the same tissues.
Immunohistochemistry-Paraffin: Sorbitol Dehydrogenase Antibody [NBP1-87415]

Immunohistochemistry-Paraffin: Sorbitol Dehydrogenase Antibody [NBP1-87415]

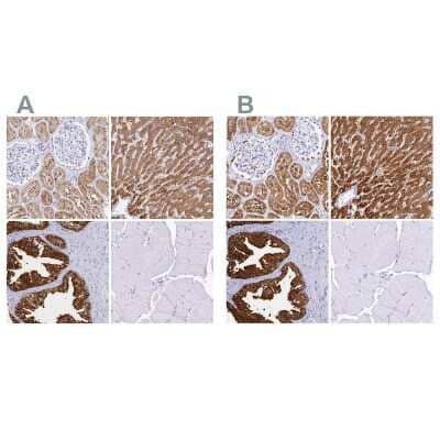
Immunohistochemistry-Paraffin: Sorbitol Dehydrogenase Antibody [NBP1-87415] - Staining of human kidney, liver, prostate and skeletal muscle using Anti-SORD antibody NBP1-87415 (A) shows similar protein distribution across tissues to independent antibody NBP1-87416 (B).
Western Blot: Sorbitol Dehydrogenase Antibody [NBP1-87415]

Western Blot: Sorbitol Dehydrogenase Antibody [NBP1-87415]

Western Blot: Sorbitol Dehydrogenase Antibody [NBP1-87415] - Analysis using Anti-SORD antibody NBP1-87415 (A) shows similar pattern to independent antibody NBP1-87416 (B).

Applications for Sorbitol Dehydrogenase Antibody - BSA Free

Application
Recommended Usage

Immunohistochemistry

1:500 - 1:1000

Immunohistochemistry-Paraffin

1:500 - 1:1000

Western Blot

0.04-0.4 ug/ml
Application Notes
For IHC-Paraffin, HIER pH 6 retrieval is recommended.

Formulation, Preparation, and Storage

Purification

Immunogen affinity purified

Formulation

PBS (pH 7.2) and 40% Glycerol

Format

BSA Free

Preservative

0.02% Sodium Azide

Concentration

Concentrations vary lot to lot. See vial label for concentration. If unlisted please contact technical services.

Shipping

The product is shipped with polar packs. Upon receipt, store it immediately at the temperature recommended below.

Stability & Storage

Store at 4C short term. Aliquot and store at -20C long term. Avoid freeze-thaw cycles.

Background: Sorbitol Dehydrogenase

Sorbitol dehydrogenase (SDH), a member of the medium-chain dehydrogenase/reductase protein family and the second enzyme of the polyol pathway of glucose metabolism, converts sorbitol to fructose strictly using NAD(+) as coenzyme. SDH is expressed almost ubiquitously in all mammalian tissues. The enzyme has attracted considerable interest due to its implication in the development of diabetic complications as the polyol pathway is particularly active in hyperglycemic states. Although SORD is closely related to the class I long-chain alcohol dehydrogenases, it differs in substrate specificity, catalyzing polyols such as sorbitol and xylitol but having no activity towards primary alcohols.

Alternate Names

EC 1.1.1, EC 1.1.1.14, L-iditol 2-dehydrogenase, sorbitol dehydrogenase, SORD1

Gene Symbol

SORD

Additional Sorbitol Dehydrogenase Products

Product Documents for Sorbitol Dehydrogenase Antibody - BSA Free

Certificate of Analysis

To download a Certificate of Analysis, please enter a lot number in the search box below.

Product Specific Notices for Sorbitol Dehydrogenase Antibody - BSA Free

This product is for research use only and is not approved for use in humans or in clinical diagnosis. Primary Antibodies are guaranteed for 1 year from date of receipt.

Loading...
Loading...
Loading...
Loading...