Skip to main content

Somatostatin Antibody (7G5) - BSA Free

Novus Biologicals, part of Bio-Techne | Catalog # NBP2-37447

Novus Biologicals, part of Bio-Techne
Catalog #
Availability
Size / Price
Qty
Loading...
NBP2-37447
NBP2-37447-0.025ml

Key Product Details

Species Reactivity

Human

Applications

Validated:

Immunohistochemistry, Immunohistochemistry-Paraffin, ELISA, Flow Cytometry, Immunocytochemistry/ Immunofluorescence, CyTOF-ready

Cited:

IF/IHC

Label

Unconjugated

Antibody Source

Monoclonal Mouse IgG1 Clone # 7G5

Format

BSA Free

Concentration

1 mg/ml

Product Specifications

Immunogen

Purified recombinant fragment of human Somatostatin (AA: 1-116) expressed in E. Coli.

Clonality

Monoclonal

Host

Mouse

Isotype

IgG1

Theoretical MW

12.7 kDa.
Disclaimer note: The observed molecular weight of the protein may vary from the listed predicted molecular weight due to post translational modifications, post translation cleavages, relative charges, and other experimental factors.

Description

Novus Biologicals Mouse Somatostatin Antibody (7G5) - BSA Free (NBP2-37447) is a monoclonal antibody validated for use in IHC, ELISA, Flow and ICC/IF. Anti-Somatostatin Antibody: Cited in 2 publications. All Novus Biologicals antibodies are covered by our 100% guarantee.

Scientific Data Images for Somatostatin Antibody (7G5) - BSA Free

Immunohistochemistry-Paraffin: Somatostatin Antibody (7G5) - BSA Free [NBP2-37447]

Immunohistochemistry-Paraffin: Somatostatin Antibody (7G5) - BSA Free [NBP2-37447]

Immunohistochemistry-Paraffin: Somatostatin Antibody (7G5) [NBP2-37447] - Analysis of lung cancer tissues using SST mouse mAb with DAB staining.
Flow Cytometry: Somatostatin Antibody (7G5) - BSA Free [NBP2-37447]

Flow Cytometry: Somatostatin Antibody (7G5) - BSA Free [NBP2-37447]

Flow Cytometry: Somatostatin Antibody (7G5) [NBP2-37447] - Analysis of HepG2 cells using SST mouse mAb (green) and negative control (red).
Immunohistochemistry-Paraffin: Somatostatin Antibody (7G5) - BSA Free [NBP2-37447]

Immunohistochemistry-Paraffin: Somatostatin Antibody (7G5) - BSA Free [NBP2-37447]

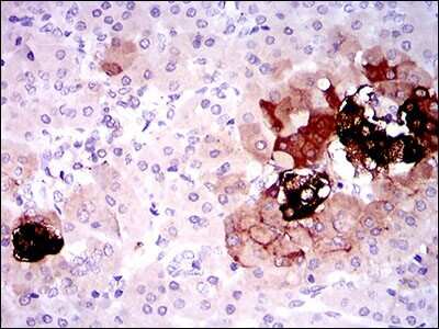
Immunohistochemistry-Paraffin: Somatostatin Antibody (7G5) [NBP2-37447] - Analysis of pancreas tissues, SST mouse mAb with DAB staining.

Applications for Somatostatin Antibody (7G5) - BSA Free

Application
Recommended Usage

ELISA

1:10000

Flow Cytometry

1:200 - 1:400

Immunohistochemistry

1:200 - 1:1000

Immunohistochemistry-Paraffin

1:200 - 1:1000
Application Notes
This antibody is Cytof ready. Somatostatin antibody validated for IF from a verified customer review.

Reviewed Applications

Read 1 review rated 5 using NBP2-37447 in the following applications:

Formulation, Preparation, and Storage

Purification

Protein G purified

Formulation

PBS

Format

BSA Free

Preservative

0.05% Sodium Azide

Concentration

1 mg/ml

Shipping

The product is shipped with polar packs. Upon receipt, store it immediately at the temperature recommended below.

Stability & Storage

Store at 4C short term. Aliquot and store at -20C long term. Avoid freeze-thaw cycles.

Background: Somatostatin

The hormone somatostatin has active 14 aa and 28 aa forms that are produced by alternate cleavage of the single preproprotein encoded by this gene. Somatostatin is expressed throughout the body and inhibits the release of numerous secondary hormones by binding to high-affinity G-protein-coupled somatostatin receptors. This hormone is an important regulator of the endocrine system through its interactions with pituitary growth hormone, thyroid stimulating hormone, and most hormones of the gastrointestinal tract. Somatostatin also affects rates of neurotransmission in the central nervous system and proliferation of both normal and tumorigenic cells. (provided by RefSeq)

Alternate Names

SMST, SOM, SRIF, SST

Gene Symbol

SST

Additional Somatostatin Products

Product Documents for Somatostatin Antibody (7G5) - BSA Free

Certificate of Analysis

To download a Certificate of Analysis, please enter a lot number in the search box below.

Product Specific Notices for Somatostatin Antibody (7G5) - BSA Free

This product is for research use only and is not approved for use in humans or in clinical diagnosis. Primary Antibodies are guaranteed for 1 year from date of receipt.

Loading...
Loading...
Loading...
Loading...
Loading...