Skip to main content

SOCS-4 Antibody - Azide and BSA Free

Novus Biologicals, part of Bio-Techne | Catalog # NBP2-98875

Novus Biologicals, part of Bio-Techne

Key Product Details

Species Reactivity

Human

Applications

Immunocytochemistry/ Immunofluorescence, Immunohistochemistry-Paraffin

Label

Unconjugated

Antibody Source

Polyclonal Rabbit IgG

Format

Azide and BSA Free

Concentration

Please see the vial label for concentration. If unlisted please contact technical services.

Product Specifications

Immunogen

Produced in rabbits immunized with a synthetic peptide corresponding to the C-terminus of the Human SOCS-4.

Clonality

Polyclonal

Host

Rabbit

Isotype

IgG

Description

This antibody can be stored at 2C to 8C for one month without detectable loss of activity. Antibody products are stable for twelve months from date of receipt when stored at -20C to -80C. Avoid repeated freeze-thaw cycles.

Scientific Data Images for SOCS-4 Antibody - Azide and BSA Free

Immunohistochemistry-Paraffin: SOCS-4 Antibody [NBP2-98875]

Immunohistochemistry-Paraffin: SOCS-4 Antibody [NBP2-98875]

Immunohistochemistry-Paraffin: SOCS-4 Antibody [NBP2-98875] - Immunochemical staining of human SOCS-4 in human stomach with rabbit polyclonal antibody (1:2000, formalin-fixed paraffin embedded sections).
Immunohistochemistry-Paraffin: SOCS-4 Antibody [NBP2-98875]

Immunohistochemistry-Paraffin: SOCS-4 Antibody [NBP2-98875]

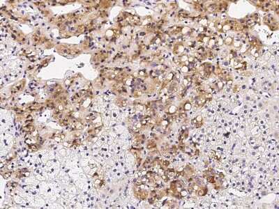
Immunohistochemistry-Paraffin: SOCS-4 Antibody [NBP2-98875] - Immunochemical staining of human SOCS-4 in human adrenal gland with rabbit polyclonal antibody (1:2000, formalin-fixed paraffin embedded sections).
Immunohistochemistry-Paraffin: SOCS-4 Antibody [NBP2-98875]

Immunohistochemistry-Paraffin: SOCS-4 Antibody [NBP2-98875]

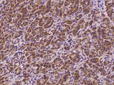
Immunohistochemistry-Paraffin: SOCS-4 Antibody [NBP2-98875] - Immunochemical staining of human SOCS-4 in human pancreas with rabbit polyclonal antibody (1:2000, formalin-fixed paraffin embedded sections).

Applications for SOCS-4 Antibody - Azide and BSA Free

Application
Recommended Usage

Immunocytochemistry/ Immunofluorescence

1:300-1:10000

Immunohistochemistry-Paraffin

1:1000-1:4000

Formulation, Preparation, and Storage

Purification

Antigen and protein A Affinity-purified

Formulation

0.2 um filtered solution in PBS

Format

Azide and BSA Free

Preservative

No Preservative

Concentration

Please see the vial label for concentration. If unlisted please contact technical services.

Shipping

The product is shipped with polar packs. Upon receipt, store it immediately at the temperature recommended below.

Stability & Storage

Store at 4C short term. Aliquot and store at -20C long term. Avoid freeze-thaw cycles.

Background: SOCS-4

The protein encoded by the SOCS4 gene contains a SH2 domain and a SOCS BOX domain. The protein thus belongs to thesuppressor of cytokine signaling (SOCS), also known as STAT-induced STAT inhibitor (SSI), protein family. SOCS familymembers are known to be cytokine-inducible negative regulators of cytokine signaling. Two alternatively splicedtranscript variants encoding the same protein have been found for this gene. (provided by RefSeq)

Long Name

Suppressor Of Cytokine Signaling 4

Alternate Names

CIS4, SOCS-7, SOCS4, SSI4

Gene Symbol

SOCS4

Additional SOCS-4 Products

Product Documents for SOCS-4 Antibody - Azide and BSA Free

Certificate of Analysis

To download a Certificate of Analysis, please enter a lot number in the search box below.

Product Specific Notices for SOCS-4 Antibody - Azide and BSA Free

This product is for research use only and is not approved for use in humans or in clinical diagnosis. Primary Antibodies are guaranteed for 1 year from date of receipt.

Loading...
Loading...
Loading...
Loading...