Skip to main content

SOCS-3 Antibody (OTI3D3)

Novus Biologicals, part of Bio-Techne | Catalog # NBP2-00817

Novus Biologicals, part of Bio-Techne
Catalog #
Availability
Size / Price
Qty
Loading...
NBP2-00817

Key Product Details

Species Reactivity

Human, Mouse, Rat

Applications

Flow Cytometry, Immunocytochemistry/ Immunofluorescence, Immunohistochemistry, Immunohistochemistry-Paraffin, Western Blot

Label

Unconjugated

Antibody Source

Monoclonal Mouse IgG2A Clone # OTI3D3

Concentration

1 mg/ml

Product Specifications

Immunogen

Full length human recombinant protein of human SOCS3 (NP_003946) produced in HEK293T cell.

Reactivity Notes

Please note that this antibody is reactive to Mouse and derived from the same host, Mouse. Mouse-On-Mouse blocking reagent may be needed for IHC and ICC experiments to reduce high background signal. You can find these reagents under catalog numbers PK-2200-NB and MP-2400-NB. Please contact Technical Support if you have any questions.

Clonality

Monoclonal

Host

Mouse

Isotype

IgG2A

Theoretical MW

24.6 kDa.
Disclaimer note: The observed molecular weight of the protein may vary from the listed predicted molecular weight due to post translational modifications, post translation cleavages, relative charges, and other experimental factors.

Description

Novus Biologicals Mouse SOCS-3 Antibody (OTI3D3) (NBP2-00817) is a monoclonal antibody validated for use in IHC, WB, Flow and ICC/IF. All Novus Biologicals antibodies are covered by our 100% guarantee.

Scientific Data Images for SOCS-3 Antibody (OTI3D3)

Western Blot: SOCS-3 Antibody (OTI3D3) [NBP2-00817]

Western Blot: SOCS-3 Antibody (OTI3D3) [NBP2-00817]

Western Blot: SOCS3 Antibody (3D3) [NBP2-00817] - HEK293T cells were transfected with the pCMV6-ENTRY control (Left lane) or pCMV6-ENTRY SOCS3 (Right lane) cDNA for 48 hrs and lysed. Equivalent amounts of cell lysates (5 ug per lane) were separated by SDS-PAGE and immunoblotted with anti-SOCS3.
Immunocytochemistry/Immunofluorescence: SOCS3 Antibody (3D3) [NBP2-00817] Staining of COS7 cells transiently transfected by pCMV6-ENTRY SOCS3.
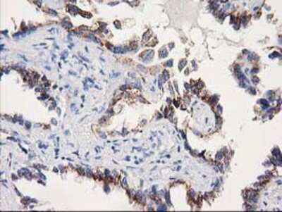
Immunohistochemistry-Paraffin: SOCS-3 Antibody (OTI3D3) [NBP2-00817]

Immunohistochemistry-Paraffin: SOCS-3 Antibody (OTI3D3) [NBP2-00817]

Immunohistochemistry-Paraffin: SOCS3 Antibody (3D3) [NBP2-00817] - Staining of paraffin-embedded Carcinoma of Human thyroid tissue using anti-SOCS3 mouse monoclonal antibody.

Applications for SOCS-3 Antibody (OTI3D3)

Application
Recommended Usage

Flow Cytometry

1:100

Immunocytochemistry/ Immunofluorescence

1:100

Immunohistochemistry

1:150

Immunohistochemistry-Paraffin

1:150

Western Blot

1:2000

Formulation, Preparation, and Storage

Purification

Immunogen affinity purified

Formulation

PBS (pH 7.3), 1.0% BSA and 50% Glycerol

Preservative

0.02% Sodium Azide

Concentration

1 mg/ml

Shipping

The product is shipped with polar packs. Upon receipt, store it immediately at the temperature recommended below.

Stability & Storage

Store at -20C. Avoid freeze-thaw cycles.

Background: SOCS-3

This gene encodes a member of the STAT-induced STAT inhibitor (SSI), also known as suppressor of cytokine signaling (SOCS), family. SSI family members are cytokine-inducible negative regulators of cytokine signaling. The expression of this gene is induced by various cytokines, including IL6, IL10, and interferon (IFN)-gamma. The protein encoded by this gene can bind to JAK2 kinase, and inhibit the activity of JAK2 kinase. Studies of the mouse counterpart of this gene suggested the roles of this gene in the negative regulation of fetal liver hematopoiesis, and placental development. [provided by RefSeq].

Long Name

Suppressor Of Cytokine Signaling 3

Alternate Names

ATOD4, CIS3, Cish3, SOCS3, SSI-3

Entrez Gene IDs

9021 (Human)

Gene Symbol

SOCS3

Additional SOCS-3 Products

Product Documents for SOCS-3 Antibody (OTI3D3)

Certificate of Analysis

To download a Certificate of Analysis, please enter a lot number in the search box below.

Product Specific Notices for SOCS-3 Antibody (OTI3D3)

This product is for research use only and is not approved for use in humans or in clinical diagnosis. Primary Antibodies are guaranteed for 1 year from date of receipt.

Loading...
Loading...
Loading...
Loading...
Loading...