Skip to main content

SNX5 Antibody - BSA Free

Novus Biologicals, part of Bio-Techne | Catalog # NBP2-38641

Novus Biologicals, part of Bio-Techne
Catalog #
Availability
Size / Price
Qty
Loading...
NBP2-38641
NBP2-38641-25ul

Key Product Details

Species Reactivity

Validated:

Human

Predicted:

Mouse (99%), Rat (99%). Backed by our 100% Guarantee.

Applications

Immunohistochemistry, Immunohistochemistry-Paraffin, Western Blot

Label

Unconjugated

Antibody Source

Polyclonal Rabbit IgG

Format

BSA Free

Concentration

Concentrations vary lot to lot. See vial label for concentration. If unlisted please contact technical services.

Product Specifications

Immunogen

This antibody was developed against a recombinant protein corresponding to amino acids: FFEQEKNFLINYYNRIKDSCVKADKMTRSHKNVADDYIHTAACLHSLALEEPTVIKKYLLKVAELFEKLRKVEGRV

Clonality

Polyclonal

Host

Rabbit

Isotype

IgG

Description

Novus Biologicals Rabbit SNX5 Antibody - BSA Free (NBP2-38641) is a polyclonal antibody validated for use in IHC and WB. All Novus Biologicals antibodies are covered by our 100% guarantee.

Scientific Data Images for SNX5 Antibody - BSA Free

Western Blot: SNX5 Antibody [NBP2-38641]

Western Blot: SNX5 Antibody [NBP2-38641]

Western Blot: SNX5 Antibody [NBP2-38641] - Lane 1: Marker [kDa] 250, 130, 95, 72, 55, 36, 28, 17, 10. Lane 2: Human cell line RT-4
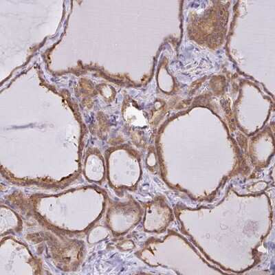
Immunohistochemistry-Paraffin: SNX5 Antibody [NBP2-38641]

Immunohistochemistry-Paraffin: SNX5 Antibody [NBP2-38641]

Immunohistochemistry-Paraffin: SNX5 Antibody [NBP2-38641] - Staining of human thyroid gland shows moderate cytoplasmic positivity in glandular cells.

Applications for SNX5 Antibody - BSA Free

Application
Recommended Usage

Immunohistochemistry

1:200 - 1:500

Immunohistochemistry-Paraffin

1:200 - 1:500

Western Blot

0.04-0.4 ug/ml
Application Notes
For IHC-Paraffin, HIER pH 6 retrieval is recommended.

Formulation, Preparation, and Storage

Purification

Immunogen affinity purified

Formulation

PBS (pH 7.2) and 40% Glycerol

Format

BSA Free

Preservative

0.02% Sodium Azide

Concentration

Concentrations vary lot to lot. See vial label for concentration. If unlisted please contact technical services.

Shipping

The product is shipped with polar packs. Upon receipt, store it immediately at the temperature recommended below.

Stability & Storage

Store at 4C short term. Aliquot and store at -20C long term. Avoid freeze-thaw cycles.

Background: SNX5

SNX5 encodes a member of the sorting nexin family. Members of this family contain a phox (PX) domain, which is a phosphoinositide binding domain, and are involved in intracellular trafficking. This protein binds to fanconi anemia complementation group A protein, but its function is unknown. This gene results in two transcript variants encoding the same protein.

Alternate Names

FLJ10931, sorting nexin 5, sorting nexin-5

Gene Symbol

SNX5

UniProt

Additional SNX5 Products

Product Documents for SNX5 Antibody - BSA Free

Certificate of Analysis

To download a Certificate of Analysis, please enter a lot number in the search box below.

Product Specific Notices for SNX5 Antibody - BSA Free

This product is for research use only and is not approved for use in humans or in clinical diagnosis. Primary Antibodies are guaranteed for 1 year from date of receipt.

Loading...
Loading...
Loading...
Loading...