Skip to main content

SNX5 Antibody

Novus Biologicals, part of Bio-Techne | Catalog # NB100-1362

Novus Biologicals, part of Bio-Techne
Catalog #
Availability
Size / Price
Qty
Loading...
NB100-1362

Key Product Details

Species Reactivity

Validated:

Human

Predicted:

Bovine (100%), Canine (100%), Mouse (100%), Porcine (100%), Rat (100%). Backed by our 100% Guarantee.

Applications

Immunohistochemistry, Immunohistochemistry-Paraffin, Western Blot, Peptide ELISA

Label

Unconjugated

Antibody Source

Polyclonal Goat IgG

Concentration

0.5 mg/ml

Product Specifications

Immunogen

Peptide with sequence SLLQSCIDLFKNN corresponding to C-Terminus according to NP_055241.1, NP_689413.1.

Specificity

Both variants represent identical protein.

Clonality

Polyclonal

Host

Goat

Isotype

IgG

Description

Novus Biologicals Goat SNX5 Antibody (NB100-1362) is a polyclonal antibody validated for use in IHC, WB and ELISA. Anti-SNX5 Antibody: Cited in 1 publication. All Novus Biologicals antibodies are covered by our 100% guarantee.

Scientific Data Images for SNX5 Antibody

Western Blot: SNX5 Antibody [NB100-1362]

Western Blot: SNX5 Antibody [NB100-1362]

Western Blot: SNX5 Antibody [NB100-1362] - Staining (1ug/ml) of Jurkat lysate (RIPA buffer, 35ug total protein per lane). Detected by chemiluminescence.
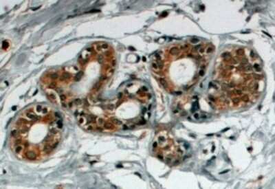
Immunohistochemistry-Paraffin: SNX5 Antibody [NB100-1362]

Immunohistochemistry-Paraffin: SNX5 Antibody [NB100-1362]

Immunohistochemistry-Paraffin: SNX5 Antibody [NB100-1362] - Human Breast. Steamed antigen retrieval with citrate buffer pH 6, HRP-staining.

Applications for SNX5 Antibody

Application
Recommended Usage

Immunohistochemistry

3 - 6 ug/ml

Immunohistochemistry-Paraffin

3 - 6 ug/ml

Peptide ELISA

Detection limit 1:32000

Western Blot

1 - 3 ug/ml
Application Notes
WB: Approx. 48 kDa band observed in human kidney, Jurkat, and A549 lysates (calculated MW of 46.8 kDa band according to NP_055241.1). IHC-P: Human breast shows cytoplasm staining of ductal epithelial cells. Cytoplasm staining is also observed in PCT of human kidney and in trophoblasts of human placenta.

Formulation, Preparation, and Storage

Purification

Immunogen affinity purified

Formulation

Tris saline (20 mM Tris pH 7.3, 150 mM NaCl), 0.5% BSA

Preservative

0.02% Sodium Azide

Concentration

0.5 mg/ml

Shipping

The product is shipped with polar packs. Upon receipt, store it immediately at the temperature recommended below.

Stability & Storage

Store at -20C. Avoid freeze-thaw cycles.

Background: SNX5

This gene encodes a member of the sorting nexin family. Members of this family contain a phox (PX) domain, which is a phosphoinositide binding domain, and are involved in intracellular trafficking. This protein binds to fanconi anemia complementation group A protein, but its function is unknown. This gene results in two transcript variants encoding the same protein.

Alternate Names

FLJ10931, sorting nexin 5, sorting nexin-5

Entrez Gene IDs

27131 (Human); 69178 (Mouse)

Gene Symbol

SNX5

Additional SNX5 Products

Product Documents for SNX5 Antibody

Certificate of Analysis

To download a Certificate of Analysis, please enter a lot number in the search box below.

Product Specific Notices for SNX5 Antibody

This product is for research use only and is not approved for use in humans or in clinical diagnosis. Primary Antibodies are guaranteed for 1 year from date of receipt.

Loading...
Loading...
Loading...
Loading...