Skip to main content

SNX5 Antibody (JE64-96)

Novus Biologicals, part of Bio-Techne | Catalog # NBP3-32965

Recombinant Monoclonal Antibody
Novus Biologicals, part of Bio-Techne
Catalog #
Availability
Size / Price
Qty
Loading...
NBP3-32965

Key Product Details

Species Reactivity

Human, Mouse, Rat

Applications

Immunohistochemistry, Immunohistochemistry-Paraffin, Western Blot

Label

Unconjugated

Antibody Source

Recombinant Monoclonal Rabbit IgG Clone # JE64-96 expressed in HEK293

Concentration

1 mg/ml

Product Specifications

Immunogen

Recombinant protein within human SNX5 aa 1-150/404. (Uniprot: Q9Y5X3)

Localization

Cytoplasm, Endosome, Early endosome, Early endosome membrane, Cell membrane, Cytoplasmic vesicle membrane, phagocytic cup, ruffle.

Clonality

Monoclonal

Host

Rabbit

Isotype

IgG

Theoretical MW

47 kDa.
Disclaimer note: The observed molecular weight of the protein may vary from the listed predicted molecular weight due to post translational modifications, post translation cleavages, relative charges, and other experimental factors.

Description

Novus Biologicals Rabbit SNX5 Antibody (JE64-96) (NBP3-32965) is a recombinant monoclonal antibody validated for use in IHC and WB. All Novus Biologicals antibodies are covered by our 100% guarantee.

Scientific Data Images for SNX5 Antibody (JE64-96)

SNX5 Antibody (JE64-96)

Western Blot: SNX5 Antibody (JE64-96) [NBP3-32965]

Western Blot: SNX5 Antibody (JE64-96) [NBP3-32965] - Western blot analysis of SNX5 on different lysates with Rabbit anti-SNX5 antibody (NBP3-32965) at 1/500 dilution.

Lane 1: Mouse spleen tissue lysate
Lane 2: Rat spleen tissue lysate

Lysates/proteins at 20 ug/Lane.

Predicted band size: 47 kDa
Observed band size: 50 kDa

Exposure time: 2 minutes;

12% SDS-PAGE gel.

Proteins were transferred to a PVDF membrane and blocked with 5% NFDM/TBST for 1 hour at room temperature. The primary antibody (NBP3-32965) at 1/500 dilution was used in 5% NFDM/TBST at room temperature for 2 hours. Goat Anti-Rabbit IgG - HRP Secondary Antibody at 1:300,000 dilution was used for 1 hour at room temperature.
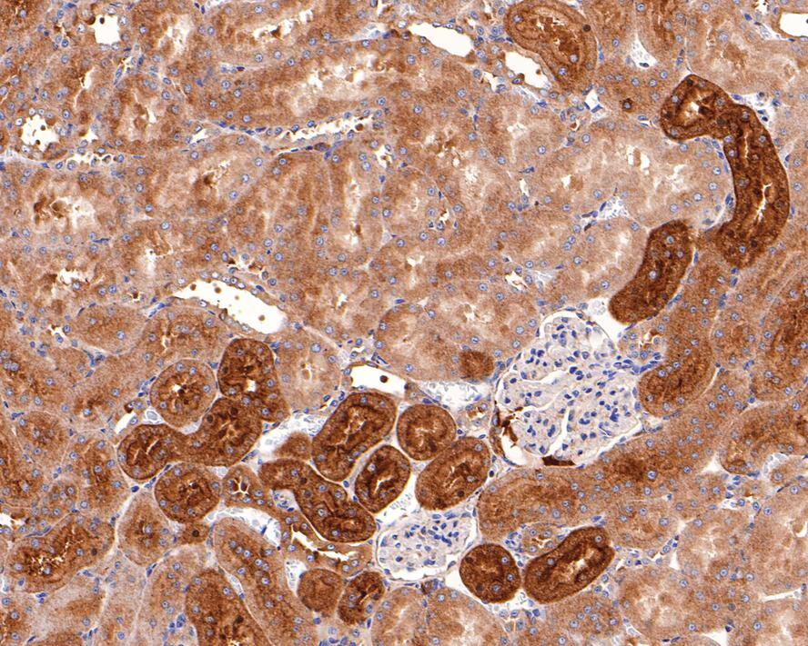
SNX5 Antibody (JE64-96)

Immunohistochemistry: SNX5 Antibody (JE64-96) [NBP3-32965]

Immunohistochemistry: SNX5 Antibody (JE64-96) [NBP3-32965] - Immunohistochemical analysis of paraffin-embedded rat kidney tissue with Rabbit anti-SNX5 antibody (NBP3-32965) at 1/100 dilution.

The section was pre-treated using heat mediated antigen retrieval with Tris-EDTA buffer (pH 9.0) for 20 minutes. The tissues were blocked in 1% BSA for 20 minutes at room temperature, washed with ddH2O and PBS, and then probed with the primary antibody (NBP3-32965) at 1/100 dilution for 1 hour at room temperature. The detection was performed using an HRP conjugated compact polymer system. DAB was used as the chromogen. Tissues were counterstained with hematoxylin and mounted with DPX.

Applications for SNX5 Antibody (JE64-96)

Application
Recommended Usage

Immunohistochemistry-Paraffin

1:100-1:400

Western Blot

1:500

Formulation, Preparation, and Storage

Purification

Protein A purified

Formulation

1*TBS (pH7.4), 0.05% BSA and 40% Glycerol

Preservative

0.05% Sodium Azide

Concentration

1 mg/ml

Shipping

The product is shipped with polar packs. Upon receipt, store it immediately at the temperature recommended below.

Stability & Storage

Store at 4C short term. Aliquot and store at -20C long term. Avoid freeze-thaw cycles.

Background: SNX5

SNX5 encodes a member of the sorting nexin family. Members of this family contain a phox (PX) domain, which is a phosphoinositide binding domain, and are involved in intracellular trafficking. This protein binds to fanconi anemia complementation group A protein, but its function is unknown. This gene results in two transcript variants encoding the same protein.

Alternate Names

FLJ10931, sorting nexin 5, sorting nexin-5

Gene Symbol

SNX5

Additional SNX5 Products

Product Documents for SNX5 Antibody (JE64-96)

Certificate of Analysis

To download a Certificate of Analysis, please enter a lot number in the search box below.

Product Specific Notices for SNX5 Antibody (JE64-96)

This product is for research use only and is not approved for use in humans or in clinical diagnosis. Primary Antibodies are guaranteed for 1 year from date of receipt.

Loading...
Loading...
Loading...
Loading...