Skip to main content

SNX5 Antibody (HL2375) - Azide and BSA Free

Novus Biologicals, part of Bio-Techne | Catalog # NBP3-25692

Recombinant Monoclonal Antibody
Novus Biologicals, part of Bio-Techne
Catalog #
Availability
Size / Price
Qty
Loading...
NBP3-25692

Key Product Details

Species Reactivity

Human, Mouse

Applications

Immunohistochemistry, Immunohistochemistry-Paraffin, Immunocytochemistry/ Immunofluorescence

Label

Unconjugated

Antibody Source

Recombinant Monoclonal Rabbit IgG Clone # HL2375 expressed in HEK293

Format

Azide and BSA Free

Concentration

Concentrations vary lot to lot. See vial label for concentration. If unlisted please contact technical services.

Product Specifications

Immunogen

Recombinant fragment of human SNX5.

Clonality

Monoclonal

Host

Rabbit

Isotype

IgG

Description

Novus Biologicals Rabbit SNX5 Antibody (HL2375) - Azide and BSA Free (NBP3-25692) is a recombinant monoclonal antibody validated for use in IHC and ICC/IF. All Novus Biologicals antibodies are covered by our 100% guarantee.

Scientific Data Images for SNX5 Antibody (HL2375) - Azide and BSA Free

SNX5 Antibody (HL2375) - Azide and BSA Free

Immunocytochemistry/Immunofluorescence: SNX5 Antibody (HL2375) - Azide and BSA Free [NBP3-25692] -

Immunocytochemistry/Immunofluorescence: SNX5 Antibody (HL2375) - Azide and BSA Free [NBP3-25692] - SNX5 antibody [HL2375] detects SNX5 protein at cytoplasm by immunofluorescent analysis. Sample: HeLa cells were fixed in ice-cold MeOH for 5 min. Green: SNX5 stained by SNX5 antibody [HL2375] (NBP3-25692) diluted at 1:500. Blue: Fluoroshield with DAPI .
SNX5 Antibody (HL2375) - Azide and BSA Free

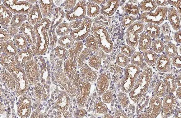
Immunohistochemistry-Paraffin: SNX5 Antibody (HL2375) - Azide and BSA Free [NBP3-25692] -

Immunohistochemistry-Paraffin: SNX5 Antibody (HL2375) - Azide and BSA Free [NBP3-25692] - SNX5 antibody [HL2375] detects SNX5 protein at cell membrane and cytoplasm by immunohistochemical analysis. Sample: Paraffin-embedded mouse kidney. SNX5 stained by SNX5 antibody [HL2375] (NBP3-25692) diluted at 1:100. Antigen Retrieval: Citrate buffer, pH 6.0, 15 min
SNX5 Antibody (HL2375) - Azide and BSA Free

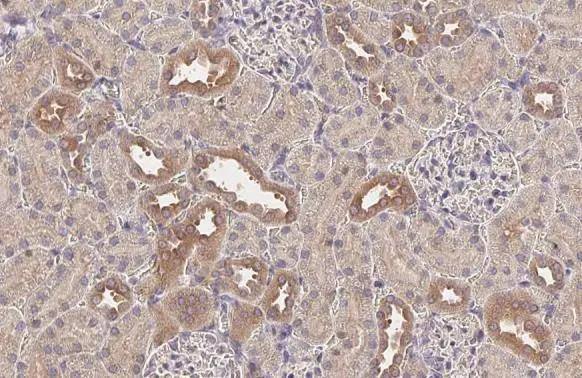
Immunohistochemistry-Paraffin: SNX5 Antibody (HL2375) [NBP3-25692] -

SNX5 antibody [HL2375] detects SNX5 protein at cell membrane and cytoplasm by immunohistochemical analysis.Sample: Paraffin-embedded rat kidney.SNX5 stained by SNX5 antibody [HL2375] (NBP3-25692) diluted at 1:200.Antigen Retrieval: Citrate buffer, pH 6.0, 15 min

Applications for SNX5 Antibody (HL2375) - Azide and BSA Free

Application
Recommended Usage

Immunocytochemistry/ Immunofluorescence

1:100-1:1000

Immunohistochemistry-Paraffin

1:100-1:1000

Formulation, Preparation, and Storage

Purification

Protein A purified

Formulation

PBS

Format

Azide and BSA Free

Preservative

No Preservative

Concentration

Concentrations vary lot to lot. See vial label for concentration. If unlisted please contact technical services.

Shipping

The product is shipped with polar packs. Upon receipt, store it immediately at the temperature recommended below.

Stability & Storage

Store at 4C short term. Aliquot and store at -20C long term. Avoid freeze-thaw cycles.

Background: SNX5

SNX5 encodes a member of the sorting nexin family. Members of this family contain a phox (PX) domain, which is a phosphoinositide binding domain, and are involved in intracellular trafficking. This protein binds to fanconi anemia complementation group A protein, but its function is unknown. This gene results in two transcript variants encoding the same protein.

Alternate Names

FLJ10931, sorting nexin 5, sorting nexin-5

Gene Symbol

SNX5

Additional SNX5 Products

Product Documents for SNX5 Antibody (HL2375) - Azide and BSA Free

Certificate of Analysis

To download a Certificate of Analysis, please enter a lot number in the search box below.

Product Specific Notices for SNX5 Antibody (HL2375) - Azide and BSA Free

This product is for research use only and is not approved for use in humans or in clinical diagnosis. Primary Antibodies are guaranteed for 1 year from date of receipt.

Loading...
Loading...
Loading...
Loading...