SNX16 Antibody
Novus Biologicals, part of Bio-Techne | Catalog # NB100-1211
Key Product Details
Species Reactivity
Validated:
Human
Predicted:
Bovine (100%), Canine (100%), Mouse (100%), Porcine (100%), Rat (100%). Backed by our 100% Guarantee.
Applications
Immunohistochemistry, Immunohistochemistry-Paraffin, Western Blot, Peptide ELISA
Label
Unconjugated
Antibody Source
Polyclonal Goat IgG
Concentration
0.5 mg/ml
Product Specifications
Immunogen
Peptide with sequence ATPYVPVPMPIGN-C corresponding to N-Terminus according to NP_690049.1, NP_690050.1.
Specificity
This antibody is expected to recognise both isoform a (NP_071416.2; NP_690049.1) and isoform b (NP_690050.1).
Clonality
Polyclonal
Host
Goat
Isotype
IgG
Description
Novus Biologicals Goat SNX16 Antibody (NB100-1211) is a polyclonal antibody validated for use in IHC, WB and ELISA. Anti-SNX16 Antibody: Cited in 1 publication. All Novus Biologicals antibodies are covered by our 100% guarantee.
Scientific Data Images for SNX16 Antibody
Western Blot: SNX16 Antibody [NB100-1211]
Western Blot: SNX16 Antibody [NB100-1211] - HEK293 overexpressing SNX16 and probed with (mock transfection in first lane).Immunohistochemistry-Paraffin: SNX16 Antibody [NB100-1211]
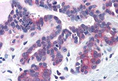
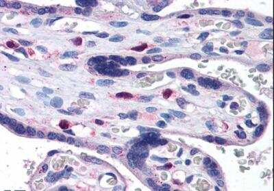
Immunohistochemistry-Paraffin: SNX16 Antibody [NB100-1211] - Staining of paraffin embedded Human Breast. Steamed antigen retrieval with citrate buffer pH 6, AP-staining.Western Blot: SNX16 Antibody [NB100-1211]
Western Blot: SNX16 Antibody [NB100-1211] - (0.05ug/ml) staining of Daudi lysate (35ug protein in RIPA buffer). Primary incubation was 1 hour. Detected by chemiluminescence.Applications for SNX16 Antibody
Application
Recommended Usage
Immunohistochemistry
3.75 ug/ml
Immunohistochemistry-Paraffin
3.75 ug/ml
Peptide ELISA
Detection limit 1:64000
Western Blot
0.05 - 0.2 ug/ml
Application Notes
WB: Approx. 38 kDa band observed in Daudi lysates (calculated MW of 39.2 kDa band according to NP_071416.2). In transfected HEK293 transiently expressing SNX16 a band of approx. 40 kDa is observed. This band is not observed in the non-transfected HEK293.
IHC: Paraffin embedded Human Placenta, Tonsil and Breast.
IHC: Paraffin embedded Human Placenta, Tonsil and Breast.
Formulation, Preparation, and Storage
Purification
Immunogen affinity purified
Formulation
Tris saline (20 mM Tris pH 7.3, 150 mM NaCl), 0.5% BSA
Preservative
0.02% Sodium Azide
Concentration
0.5 mg/ml
Shipping
The product is shipped with polar packs. Upon receipt, store it immediately at the temperature recommended below.
Stability & Storage
Store at -20C. Avoid freeze-thaw cycles.
Background: SNX16
Alternate Names
DKFZp666H147, sorting nexin 16, sorting nexin-16
Gene Symbol
SNX16
UniProt
Additional SNX16 Products
Product Documents for SNX16 Antibody
Product Specific Notices for SNX16 Antibody
This product is for research use only and is not approved for use in humans or in clinical diagnosis. Primary Antibodies are guaranteed for 1 year from date of receipt.
Loading...
Loading...
Loading...
Loading...