Skip to main content

SNRPD1 Antibody - BSA Free

Novus Biologicals, part of Bio-Techne | Catalog # NBP2-36427

Novus Biologicals, part of Bio-Techne
Catalog #
Availability
Size / Price
Qty
Loading...
NBP2-36427

Key Product Details

Species Reactivity

Validated:

Human

Cited:

Mouse

Predicted:

Mouse (100%), Rat (100%). Backed by our 100% Guarantee.

Applications

Validated:

Immunohistochemistry, Immunohistochemistry-Paraffin, Western Blot

Cited:

Western Blot

Label

Unconjugated

Antibody Source

Polyclonal Rabbit IgG

Format

BSA Free

Concentration

Concentrations vary lot to lot. See vial label for concentration. If unlisted please contact technical services.

Product Specifications

Immunogen

This antibody was developed against Recombinant Protein corresponding to amino acids: SMNTHLKAVKMTLKNREPVQLETLSIRGNNIRYFILPDSLPLDTLLVDVEPKVKSKKREAVAGRGR

Clonality

Polyclonal

Host

Rabbit

Isotype

IgG

Theoretical MW

16 kDa.
Disclaimer note: The observed molecular weight of the protein may vary from the listed predicted molecular weight due to post translational modifications, post translation cleavages, relative charges, and other experimental factors.

Description

Novus Biologicals Rabbit SNRPD1 Antibody - BSA Free (NBP2-36427) is a polyclonal antibody validated for use in IHC and WB. Anti-SNRPD1 Antibody: Cited in 2 publications. All Novus Biologicals antibodies are covered by our 100% guarantee.

Scientific Data Images for SNRPD1 Antibody - BSA Free

Western Blot: SNRPD1 Antibody [NBP2-36427]

Western Blot: SNRPD1 Antibody [NBP2-36427]

Western Blot: SNRPD1 Antibody [NBP2-36427] - Analysis in human cell line HL-60.
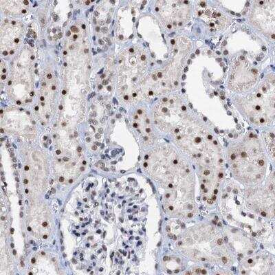
Immunohistochemistry-Paraffin: SNRPD1 Antibody [NBP2-36427]

Immunohistochemistry-Paraffin: SNRPD1 Antibody [NBP2-36427]

Immunohistochemistry-Paraffin: SNRPD1 Antibody - Staining of human kidney shows strong nuclear positivity in cells of tubules.

Applications for SNRPD1 Antibody - BSA Free

Application
Recommended Usage

Immunohistochemistry

1:50 - 1:200

Immunohistochemistry-Paraffin

1:50 - 1:200

Western Blot

0.04-0.4 ug/ml
Application Notes
For IHC-Paraffin, HIER pH 6 retrieval is recommended.

Reviewed Applications

Read 1 review rated 5 using NBP2-36427 in the following applications:

Formulation, Preparation, and Storage

Purification

Immunogen affinity purified

Formulation

PBS (pH 7.2) and 40% Glycerol

Format

BSA Free

Preservative

0.02% Sodium Azide

Concentration

Concentrations vary lot to lot. See vial label for concentration. If unlisted please contact technical services.

Shipping

The product is shipped with polar packs. Upon receipt, store it immediately at the temperature recommended below.

Stability & Storage

Store at 4C short term. Aliquot and store at -20C long term. Avoid freeze-thaw cycles.

Background: SNRPD1

Alternate Names

HsT2456, small nuclear ribonucleoprotein D1 polypeptide 16kDa, small nuclear ribonucleoprotein Sm D1, Sm-D autoantigen, SMD1, Sm-D1, snRNP core protein D1, SNRPD

Gene Symbol

SNRPD1

UniProt

Additional SNRPD1 Products

Product Documents for SNRPD1 Antibody - BSA Free

Certificate of Analysis

To download a Certificate of Analysis, please enter a lot number in the search box below.

Product Specific Notices for SNRPD1 Antibody - BSA Free

This product is for research use only and is not approved for use in humans or in clinical diagnosis. Primary Antibodies are guaranteed for 1 year from date of receipt.

Loading...
Loading...
Loading...
Loading...