Skip to main content

SnoN Antibody (OTI3F6)

Novus Biologicals, part of Bio-Techne | Catalog # NBP2-45851

Novus Biologicals, part of Bio-Techne
Catalog #
Availability
Size / Price
Qty
Loading...
NBP2-45851

Key Product Details

Species Reactivity

Human, Mouse, Rat

Applications

Immunohistochemistry, Immunohistochemistry-Paraffin, Western Blot

Label

Unconjugated

Antibody Source

Monoclonal Mouse IgG1 Clone # OTI3F6

Concentration

1 mg/ml

Product Specifications

Immunogen

Human recombinant protein fragment corresponding to amino acids 307-684 of human SKIL (NP_005405) produced in E.coli.

Reactivity Notes

Please note that this antibody is reactive to Mouse and derived from the same host, Mouse. Mouse-On-Mouse blocking reagent may be needed for IHC and ICC experiments to reduce high background signal. You can find these reagents under catalog numbers PK-2200-NB and MP-2400-NB. Please contact Technical Support if you have any questions.

Clonality

Monoclonal

Host

Mouse

Isotype

IgG1

Theoretical MW

76.8 kDa.
Disclaimer note: The observed molecular weight of the protein may vary from the listed predicted molecular weight due to post translational modifications, post translation cleavages, relative charges, and other experimental factors.

Description

Novus Biologicals Mouse SnoN Antibody (OTI3F6) (NBP2-45851) is a monoclonal antibody validated for use in IHC and WB. All Novus Biologicals antibodies are covered by our 100% guarantee.

Scientific Data Images for SnoN Antibody (OTI3F6)

Western Blot: SnoN Antibody (OTI3F6) [NBP2-45851]

Western Blot: SnoN Antibody (OTI3F6) [NBP2-45851]

Western Blot: SnoN Antibody (3F6) [NBP2-45851] - Analysis of HEK293T cells were transfected with the pCMV6-ENTRY control (Left lane) or pCMV6-ENTRY SnoN.
Immunohistochemistry: SnoN Antibody (OTI3F6) [NBP2-45851]

Immunohistochemistry: SnoN Antibody (OTI3F6) [NBP2-45851]

Immunohistochemistry: SnoN Antibody (3F6) [NBP2-45851] - Analysis of Human endometrium tissue.
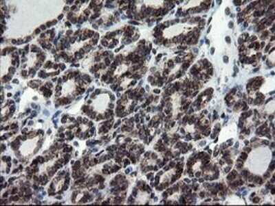
Immunohistochemistry: SnoN Antibody (OTI3F6) [NBP2-45851]

Immunohistochemistry: SnoN Antibody (OTI3F6) [NBP2-45851]

Immunohistochemistry: SnoN Antibody (3F6) [NBP2-45851] - Analysis of Adenocarcinoma of Human endometrium tissue.

Applications for SnoN Antibody (OTI3F6)

Application
Recommended Usage

Immunohistochemistry

1:150

Western Blot

1:500-2000

Formulation, Preparation, and Storage

Purification

Immunogen affinity purified

Formulation

PBS (pH 7.3), 1.0% BSA and 50% Glycerol

Preservative

0.02% Sodium Azide

Concentration

1 mg/ml

Shipping

The product is shipped with polar packs. Upon receipt, store it immediately at the temperature recommended below.

Stability & Storage

Store at -20C. Avoid freeze-thaw cycles.

Background: SnoN/Ski-like Protein

SnoN may have regulatory role in cell division or differentiation in response to extracellular signals

Long Name

SKI-like Oncogene

Alternate Names

Ski like Protein, SKIL, SNO, SnoA, SnoI

Gene Symbol

SKIL

Additional SnoN/Ski-like Protein Products

Product Documents for SnoN Antibody (OTI3F6)

Certificate of Analysis

To download a Certificate of Analysis, please enter a lot number in the search box below.

Product Specific Notices for SnoN Antibody (OTI3F6)

This product is for research use only and is not approved for use in humans or in clinical diagnosis. Primary Antibodies are guaranteed for 1 year from date of receipt.

Loading...
Loading...
Loading...
Loading...