Skip to main content

SMOX Antibody - BSA Free

Novus Biologicals, part of Bio-Techne | Catalog # NBP2-13356

Novus Biologicals, part of Bio-Techne
Catalog #
Availability
Size / Price
Qty
Loading...
NBP2-13356
NBP2-13356-25ul

Key Product Details

Species Reactivity

Validated:

Human

Predicted:

Mouse (94%), Rat (98%). Backed by our 100% Guarantee.

Applications

Immunohistochemistry, Immunohistochemistry-Paraffin

Label

Unconjugated

Antibody Source

Polyclonal Rabbit IgG

Format

BSA Free

Concentration

Concentrations vary lot to lot. See vial label for concentration. If unlisted please contact technical services.

Product Specifications

Immunogen

This antibody was developed against a recombinant protein corresponding to the amino acids: QGFTDVTVLEASSHIGGRVQSVKLGHATFELGATWIHGSHGNPIYHLAEANGLLEETTDGERSVGRISLYSKNGVACYLTNHGRRIPKDVVEEFSDLYN

Clonality

Polyclonal

Host

Rabbit

Isotype

IgG

Description

Novus Biologicals Rabbit SMOX Antibody - BSA Free (NBP2-13356) is a polyclonal antibody validated for use in IHC. All Novus Biologicals antibodies are covered by our 100% guarantee.

Scientific Data Images for SMOX Antibody - BSA Free

Immunohistochemistry-Paraffin: SMOX Antibody [NBP2-13356]

Immunohistochemistry-Paraffin: SMOX Antibody [NBP2-13356]

Immunohistochemistry-Paraffin: SMOX Antibody [NBP2-13356] - Staining of human colon shows strong cytoplasmic and nuclear positivity in glandular cells while endothelial cells and ganglion cells were moderately stained.
SMOX Antibody - BSA Free Immunohistochemistry: SMOX Antibody - BSA Free [NBP2-13356]

Immunohistochemistry: SMOX Antibody - BSA Free [NBP2-13356]

Staining of human pancreas shows strong cytoplasmic and nuclear positivity in exocrine glandular cells.
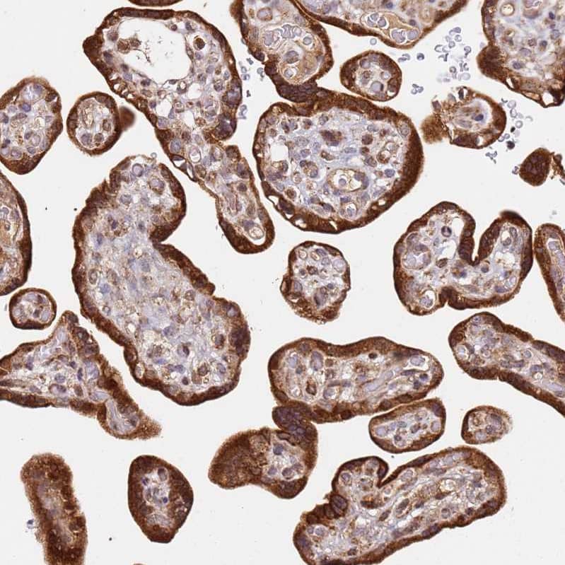
SMOX Antibody - BSA Free Immunohistochemistry: SMOX Antibody - BSA Free [NBP2-13356]

Immunohistochemistry: SMOX Antibody - BSA Free [NBP2-13356]

Staining of human placenta shows strong cytoplasmic and nuclear positivity in trophoblastic cells.

Applications for SMOX Antibody - BSA Free

Application
Recommended Usage

Immunohistochemistry

1:50 - 1:200

Immunohistochemistry-Paraffin

1:50 - 1:200
Application Notes
For IHC-Paraffin, HIER pH 6 retrieval is recommended.

Formulation, Preparation, and Storage

Purification

Affinity purified

Formulation

PBS (pH 7.2) and 40% Glycerol

Format

BSA Free

Preservative

0.02% Sodium Azide

Concentration

Concentrations vary lot to lot. See vial label for concentration. If unlisted please contact technical services.

Shipping

The product is shipped with polar packs. Upon receipt, store it immediately at the temperature recommended below.

Stability & Storage

Store at 4C short term. Aliquot and store at -20C long term. Avoid freeze-thaw cycles.

Background: SMOX

The product of this gene is the polyamine oxidase. This enzyme potentially represents a new class of catabolic enzymes in the mammalian polyamine metabolic pathway capable of the efficient oxidation of polyamines. More than five transcript variants encoding four active isoenzymes have been identified for this gene, however, not all variants have been fully described. The characterized isoenzymes have distinctive biochemical characteristics and substrate specificities, suggesting the existence of additional levels of complexity in polyamine catabolism. [provided by RefSeq]. Transcript Variant: This variant (2) lacks an in-frame segment of the coding region, compared to variant 1. It encodes a shorter isoform (2), also known as PAOh2, that is missing an internal segment compared to isoform 1. Publication Note: This RefSeq record includes a subset of the publications that are available for this gene. Please see the Entrez Gene record to access additional publications.

Alternate Names

C20orf16, chromosome 20 open reading frame 16, EC 1.5.3.16, flavin containing amine oxidase, flavin-containing spermine oxidase, FLJ20746, MGC1010, PAO, PAO-1, PAOH1, Polyamine oxidase 1, putative cyclin G1 interacting protein, SMOdJ779E11.1, spermine oxidase

Gene Symbol

SMOX

Additional SMOX Products

Product Documents for SMOX Antibody - BSA Free

Certificate of Analysis

To download a Certificate of Analysis, please enter a lot number in the search box below.

Product Specific Notices for SMOX Antibody - BSA Free

This product is for research use only and is not approved for use in humans or in clinical diagnosis. Primary Antibodies are guaranteed for 1 year from date of receipt.

Loading...
Loading...
Loading...
Loading...