Skip to main content

SMARCA1 Antibody (2H7B9) - BSA Free

Novus Biologicals, part of Bio-Techne | Catalog # NBP2-61882

Novus Biologicals, part of Bio-Techne
Catalog #
Availability
Size / Price
Qty
Loading...
NBP2-61882
NBP2-61882-0.025ml

Key Product Details

Species Reactivity

Human, Mouse

Applications

Immunohistochemistry, Immunohistochemistry-Paraffin, Western Blot, ELISA, Flow Cytometry

Label

Unconjugated

Antibody Source

Monoclonal Mouse IgG1 Clone # 2H7B9

Format

BSA Free

Concentration

1 mg/ml

Product Specifications

Immunogen

Purified recombinant fragment of human SMARCA1 (AA: 933-1070) expressed in E. Coli.

Reactivity Notes

Please note that this antibody is reactive to Mouse and derived from the same host, Mouse. Mouse-On-Mouse blocking reagent may be needed for IHC and ICC experiments to reduce high background signal. You can find these reagents under catalog numbers PK-2200-NB and MP-2400-NB. Please contact Technical Support if you have any questions.

Clonality

Monoclonal

Host

Mouse

Isotype

IgG1

Theoretical MW

122.6 kDa.
Disclaimer note: The observed molecular weight of the protein may vary from the listed predicted molecular weight due to post translational modifications, post translation cleavages, relative charges, and other experimental factors.

Description

Novus Biologicals Mouse SMARCA1 Antibody (2H7B9) - BSA Free (NBP2-61882) is a monoclonal antibody validated for use in IHC, WB, ELISA and Flow. All Novus Biologicals antibodies are covered by our 100% guarantee.

Scientific Data Images for SMARCA1 Antibody (2H7B9) - BSA Free

Western Blot: SMARCA1 Antibody (2H7B9)BSA Free [NBP2-61882]

Western Blot: SMARCA1 Antibody (2H7B9)BSA Free [NBP2-61882]

Western Blot: SMARCA1 Antibody (2H7B9) [NBP2-61882] - Analysis using SMARCA1 mAb against HEK293 (1) and SMARCA1 (AA: 933-1070)-hIgGFc transfected HEK293 (2) cell lysate.
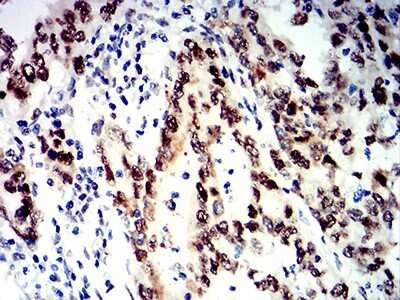
Immunohistochemistry-Paraffin: SMARCA1 Antibody (2H7B9) - BSA Free [NBP2-61882]

Immunohistochemistry-Paraffin: SMARCA1 Antibody (2H7B9) - BSA Free [NBP2-61882]

Immunohistochemistry-Paraffin: SMARCA1 Antibody (2H7B9) [NBP2-61882] - Analysis of stomach cancer tissues using SMARCA1 mouse mAb with DAB staining.
Flow Cytometry: SMARCA1 Antibody (2H7B9) - BSA Free [NBP2-61882]

Flow Cytometry: SMARCA1 Antibody (2H7B9) - BSA Free [NBP2-61882]

Flow Cytometry: SMARCA1 Antibody (2H7B9) [NBP2-61882] - Analysis of NIH/3T3 cells using SMARCA1 mouse mAb (green) and negative control (red).

Applications for SMARCA1 Antibody (2H7B9) - BSA Free

Application
Recommended Usage

ELISA

1:100-1:2000

Flow Cytometry

1:10-1:1000

Immunohistochemistry

1:10-1:1000

Immunohistochemistry-Paraffin

1:200 - 1:1000

Western Blot

1:100-1:2000

Formulation, Preparation, and Storage

Purification

Protein G purified

Formulation

PBS

Format

BSA Free

Preservative

0.05% Sodium Azide

Concentration

1 mg/ml

Shipping

The product is shipped with polar packs. Upon receipt, store it immediately at the temperature recommended below.

Stability & Storage

Store at 4C short term. Aliquot and store at -20C long term. Avoid freeze-thaw cycles.

Background: SMARCA1

This gene encodes a member of the SWI/SNF family of proteins. The encoded protein is an ATPase which is expressed in diverse tissues and contributes to the chromatin remodeling complex that is involved in transcription. The protein may also play a role in DNA damage, growth inhibition and apoptosis of cancer cells. Alternative splicing results in multiple transcript variants.

Alternate Names

ATP-dependent helicase SMARCA1, DKFZp686D1623, EC 3.6.1, EC 3.6.4.-, FLJ41547, global transcription activator homologous sequence, Nucleosome-remodeling factor subunit SNF2L, NURF140, probable global transcription activator SNF2L1, SNF2L, SNF2L1ISWI, SNF2LB, SNF2-like 1, SNF2LT, subfamily a, member 1, sucrose nonfermenting 2-like protein 1, SWI, SWI/SNF related, matrix associated, actin dependent regulator of chromatin, SWI/SNF-related matrix-associated actin-dependent regulator of chromatin a1, SWI/SNF-related matrix-associated actin-dependent regulator of chromatinsubfamily A member 1, SWI2

Gene Symbol

SMARCA1

Additional SMARCA1 Products

Product Documents for SMARCA1 Antibody (2H7B9) - BSA Free

Certificate of Analysis

To download a Certificate of Analysis, please enter a lot number in the search box below.

Product Specific Notices for SMARCA1 Antibody (2H7B9) - BSA Free

This product is for research use only and is not approved for use in humans or in clinical diagnosis. Primary Antibodies are guaranteed for 1 year from date of receipt.

Loading...
Loading...
Loading...
Loading...
Loading...