Skip to main content

Smad5 [p Ser463, p Ser465] Antibody (SY09-03)

Novus Biologicals, part of Bio-Techne | Catalog # NBP2-67394

Recombinant Monoclonal Antibody.
Novus Biologicals, part of Bio-Techne
Catalog #
Availability
Size / Price
Qty
Loading...
NBP2-67394

Key Product Details

Species Reactivity

Validated:

Human, Mouse, Rat

Cited:

Mouse

Applications

Validated:

Immunohistochemistry, Immunohistochemistry-Paraffin, Western Blot, Immunocytochemistry/ Immunofluorescence

Cited:

Western Blot

Label

Unconjugated

Antibody Source

Recombinant Monoclonal Rabbit IgG Clone # SY09-03 expressed in HEK293

Concentration

1 mg/ml

Product Specifications

Immunogen

Synthetic phospho-peptide corresponding to residues surrounding Ser463 and 465 of Human Smad5. (SwissProt: Q99717 Human; SwissProt: P97454 Mouse; SwissProt: Q9R1V3 Rat)

Modification

p Ser463, p Ser465

Localization

Cytoplasm, Nucleus.

Clonality

Monoclonal

Host

Rabbit

Isotype

IgG

Description

Novus Biologicals Rabbit Smad5 [p Ser463, p Ser465] Antibody (SY09-03) (NBP2-67394) is a recombinant monoclonal antibody validated for use in IHC, WB and ICC/IF. Anti-Smad5 Antibody: Cited in 1 publication. All Novus Biologicals antibodies are covered by our 100% guarantee.

Scientific Data Images for Smad5 [p Ser463, p Ser465] Antibody (SY09-03)

Western Blot: Smad5 [p Ser463, p Ser465] Antibody (SY09-03) [NBP2-67394] - Analysis of Phospho-Smad5(S463/465) on different lysates using anti-Phospho-Smad5(S463/465) antibody at 1/1,000 dilution. Positive control: Lane 1: Mouse brain Lane 2: Rat brain
Immunocytochemistry/Immunofluorescence: Smad5 [p Ser463, p Ser465] Antibody (SY09-03) [NBP2-67394] - Staining Phospho-Smad5(S463/465) in SKOV-3 cells (green). The nuclear counter stain is DAPI (blue). Cells were fixed in paraformaldehyde, permeabilised with 0.25% Triton X100/PBS.
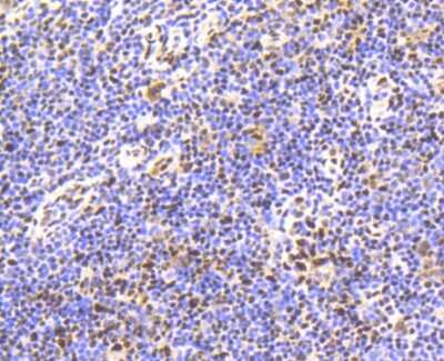
Immunohistochemistry-Paraffin: Smad5 [p Ser463, p Ser465] Antibody (SY09-03) [NBP2-67394] - Analysis of paraffin-embedded mouse liver tissue using anti-Phospho-Smad5(S463/465) antibody. Counter stained with hematoxylin.

Applications for Smad5 [p Ser463, p Ser465] Antibody (SY09-03)

Application
Recommended Usage

Immunocytochemistry/ Immunofluorescence

1:50-1:200

Immunohistochemistry-Paraffin

1:50-1:200

Western Blot

1:1000-1:2000

Formulation, Preparation, and Storage

Purification

Protein A purified

Formulation

TBS (pH7.4), 0.05% BSA, 40% Glycerol

Preservative

0.05% Sodium Azide

Concentration

1 mg/ml

Shipping

The product is shipped with polar packs. Upon receipt, store it immediately at the temperature recommended below.

Stability & Storage

Store at 4C short term. Aliquot and store at -20C long term. Avoid freeze-thaw cycles.

Background: Smad5

SMADs are members of the MAD-related family of molecules. MAD-related proteins are a family of intracellular proteins that are essential components in the signaling pathways of the serine/threonine kinase receptors of the transforming growth factor beta superfamily (1). SMADs can be divided into receptor-regulated SMADs (R-SMADs: SMAD1, SMAD2, SMAD5, SMAD8 and SMAD9), common-mediator SMAD (co-SMAD: SMAD4), and inhibitory SMADs (I-SMADs: SMAD6 and SMAD7). SMAD1, SMAD5, SMAD8 and SMAD9 have high degrees of homology and antibodies are available that recognize sequences common to all of them. SMAD8 and SMAD9 are typically used as alternate names for one another in the literature. Human SMAD1 is a 465 amino acid protein; GenBank Accession No. AAP36050.1. Human SMAD2 is a 467 amino acid protein; GenBank Accession No. AAC51918.1 Human SMAD3 is a 425 amino acid protein; GenBank Accession No. NP_005893.1 Human SMAD4 is a 552 amino acid protein GenBank Accession No. NP_005350.1. Human SMAD5 is a 465 amino acid protein; GenBank Accession No. AAC50791.1. Human SMAD6 is a 496 amino acid protein; GenBank Accession No. AAH12986.1 Human SMAD7 is a 426 amino acid protein; GenBank Accession No. AAB81354.1 Mouse SMAD8 is a 430 amino acid protein; GenBank Accession No. AAN85445.1 Human SMAD9 is a 430 amino acid protein; GenBank Accession No. NP_005896.1.

Long Name

Mothers Against DPP Homolog 5

Alternate Names

Dwfc, JV5-1, MADH5

Gene Symbol

SMAD5

Additional Smad5 Products

Product Documents for Smad5 [p Ser463, p Ser465] Antibody (SY09-03)

Certificate of Analysis

To download a Certificate of Analysis, please enter a lot number in the search box below.

Product Specific Notices for Smad5 [p Ser463, p Ser465] Antibody (SY09-03)

This product is for research use only and is not approved for use in humans or in clinical diagnosis. Primary Antibodies are guaranteed for 1 year from date of receipt.

Loading...
Loading...
Loading...
Loading...