Skip to main content

Smad3 [p Ser423, p Ser425] Antibody - BSA Free

Novus Biologicals, part of Bio-Techne | Catalog # NBP1-77836

Novus Biologicals, part of Bio-Techne
Catalog #
Availability
Size / Price
Qty
Loading...
NBP1-77836
NBP1-77836SS
Conjugate
Catalog #

Key Product Details

Validated by

Biological Validation

Species Reactivity

Validated:

Human, Mouse

Cited:

Human, Mouse

Applications

Validated:

Immunohistochemistry, Immunohistochemistry-Paraffin, Western Blot, ELISA, Flow Cytometry, Immunocytochemistry/ Immunofluorescence, Single Cell Western

Cited:

Western Blot, Immunocytochemistry/ Immunofluorescence, IF/IHC

Label

Unconjugated

Antibody Source

Polyclonal Rabbit IgG

Format

BSA Free

Concentration

Please see the vial label for concentration. If unlisted please contact technical services.

Product Specifications

Immunogen

Smad3 [p Ser423, p Ser425] Antibody was prepared from whole rabbit serum produced by repeated immunizations with a dual phosphorylated synthetic peptide corresponding to a c-terminal region with Serine 423 and Serine 425 of human Smad3 protein. (Uniprot: P84022)

Reactivity Notes

A BLAST analysis was used to suggest cross reactivity with Smad3 from Xenopus laevis, Xenopus tropicalis, zebrafish, swine, bovine and chicken based on 100% sequence homology with the immunogen. Reactivity against homologues from other sources is not known

Modification

p Ser423, p Ser425

Specificity

This affinity-purified antibody is directed against the phosphorylated form of human Smad3 protein at the pS423 and pS425 residues. The resultant affinity purified antibody was then cross adsorbed against the non-phosphorylated form of the immunizing peptide. Reactivity occurs against human Smad3 pS423 and pS425 protein and the antibody is specific for the phosphorylated form of the protein. Reactivity with non-phosphorylated human Smad3 is minimal by ELISA and western blot. Expect reactivity against phosphorylated Smad1 and Smad5. Negligible reactivity is seen against other phosphorylated Smad family members. A BLAST analysis was used to suggest cross reactivity with Smad3 from human, Xenopus laevis, Xenopus tropicalis, zebrafish, rat, mouse, swine, bovine and chicken based on 100% sequence homology with the immunogen. Reactivity against homologues from other sources is not known.

Clonality

Polyclonal

Host

Rabbit

Isotype

IgG

Description

This affinity-purified antibody is directed against the phosphorylated form of human Smad3 protein at the [p Ser423] and [p Ser425] residues. The product was affinity purified from monospecific antiserum by immunoaffinity purification. Antiserum was first purified against the phosphorylated form of the immunizing peptide. The resultant affinity purified antibody was then cross adsorbed against the non-phosphorylated form of the immunizing peptide

Store vial at -20C prior to opening. Aliquot contents and freeze at -20C or below for extended storage. Avoid cycles of freezing and thawing. Centrifuge product if not completely clear after standing at room temperature. This product is stable for several weeks at 4C as an undiluted liquid. Dilute only prior to immediate use.

Scientific Data Images for Smad3 [p Ser423, p Ser425] Antibody - BSA Free

Western Blot: Smad3 [p Ser423, p Ser425] Antibody [NBP1-77836]

Western Blot: Smad3 [p Ser423, p Ser425] Antibody [NBP1-77836]

Western Blot: Smad3 [p Ser423, p Ser425] Antibody [NBP1-77836] - Shows detection of endogenous Smad3 in stimulated cell lysates. Lysates were prepared from control cells (- lanes), or cells stimulated with 2 ng/ml TGF (+lanes) for 1 hour. This reagent recognizes phosphorylated Smad3 and has negligible reactivity against non-phosphorylated Smad3 protein. Personal Communication. YIgG Zhang, NIH, CCR, Bethesda, MD.
Immunocytochemistry/ Immunofluorescence: Smad3 [p Ser423, p Ser425] Antibody [NBP1-77836]

Immunocytochemistry/ Immunofluorescence: Smad3 [p Ser423, p Ser425] Antibody [NBP1-77836]

Smad3-[p-Ser423--p-Ser425]-Antibody-Immunocytochemistry-Immunofluorescence-NBP1-77836-img0007.jpg
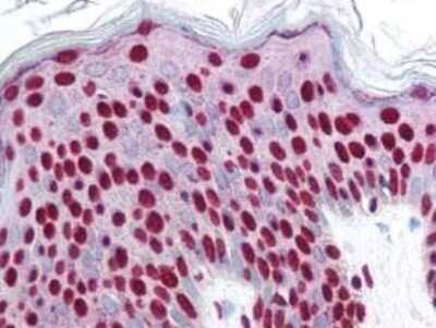
Immunohistochemistry: Smad3 [p Ser423, p Ser425] Antibody [NBP1-77836]

Immunohistochemistry: Smad3 [p Ser423, p Ser425] Antibody [NBP1-77836]

Immunohistochemistry: Smad3 [p Ser423, p Ser425] Antibody [NBP1-77836] - Used at 2.5 ug/ml to detect signal in a variety of tissues including multi-human, multi-brain and multi-cancer slides. This image shows strong nuclear staining in the majority of epidermal keratinocytes at 40X. Tissue was formalin-fixed and paraffin embedded. The image shows localization of the antibody as the precipitated red signal, with a hematoxylin purple nuclear counterstain. Personal Communication, Tina Roush, LifeSpanBiosciences, Seattle, WA.

Applications for Smad3 [p Ser423, p Ser425] Antibody - BSA Free

Application
Recommended Usage

ELISA

1:15000-1:30000

Flow Cytometry

1:10-1:1000

Immunohistochemistry

1:500

Immunohistochemistry-Paraffin

1:10-1:500

Single Cell Western

100 ug/ml

Western Blot

1:2000-1:20000
Application Notes
This affinity purified antibody has been tested for use in ELISA, immunohistochemistry, and western blot. Specific conditions for reactivity should be optimized by the end user. Expect a band approximately 48 kDa in size corresponding to phosphorylated Smad3 protein by western blotting in the appropriate stimulated tissue or cell lysate or extract. Less than 0.2% reactivity is observed against the non-phosphorylated form of the immunizing peptide. This antibody is phospho specific for dual phosphorylated pS423 and pS425 of Smad3. Stimulation with 2 ng/ml TGF-beta for 1 hour is suggested.

Reviewed Applications

Read 1 review rated 3 using NBP1-77836 in the following applications:

Formulation, Preparation, and Storage

Purification

Immunogen affinity purified

Formulation

0.02 M Potassium Phosphate, 0.15 M Sodium Chloride, pH 7.2

Format

BSA Free

Preservative

0.01% Sodium Azide

Concentration

Please see the vial label for concentration. If unlisted please contact technical services.

Shipping

The product is shipped with polar packs. Upon receipt, store it immediately at the temperature recommended below.

Stability & Storage

Store at -20C short term. Aliquot and store at -80C long term. Avoid freeze-thaw cycles.

Background: Smad3

Smad3 (also known as Mothers against decapentaplegic homolog 3 Mothers against DPP homolog 3, Mad3, hMAD-3, JV15-2 or hSMAD3) is a transcriptional modulator activated by TGF-beta (transforming growth factor) and activin type 1 receptor kinase. These activators exert diverse effects on a wide array of cellular processes. The Smad proteins mediate much of the signaling responses induced by the TGF-b superfamily. Briefly, activated type I receptor phosphorylates receptor-activated Smads (R-Smads) at their c-terminal two extreme serines in the SSXS motif, e.g. Smad2 and Smad3 proteins in the TGF-b pathway, or Smad1, Smad5 or Smad8 in the BMP pathway. Then the phosphorylated R-Smad translocated into nucleus, where they regulate transcription of target genes. Based on microarray and animal model experiments, Smad3 accounts for at least 80% of all TGF-b-mediated response.

Long Name

Mothers Against DPP Homolog 3

Alternate Names

DKFZp586N0721, DKFZp686J10186, hMAD-3, hSMAD3, HsT17436, JV15-2MGC60396, MAD homolog 3, mad protein homolog, MAD, mothers against decapentaplegic homolog 3, MAD, mothers against decapentaplegic homolog 3 (Drosophila), mad3, MADH3mad homolog JV15-2, mothers against decapentaplegic homolog 3, Mothers against DPP homolog 3, SMA- and MAD-related protein 3, SMAD 3, SMAD family member 3HSPC193, SMAD, mothers against DPP homolog 3, SMAD, mothers against DPP homolog 3 (Drosophila), Smad3, pSMAD

Gene Symbol

SMAD3

Additional Smad3 Products

Product Documents for Smad3 [p Ser423, p Ser425] Antibody - BSA Free

Certificate of Analysis

To download a Certificate of Analysis, please enter a lot number in the search box below.

Product Specific Notices for Smad3 [p Ser423, p Ser425] Antibody - BSA Free

This product is for research use only and is not approved for use in humans or in clinical diagnosis. Primary Antibodies are guaranteed for 1 year from date of receipt.

Loading...
Loading...
Loading...
Loading...
Loading...
Loading...