Skip to main content

Smad3 Antibody - BSA Free

Novus Biologicals, part of Bio-Techne | Catalog # NB100-56479

Novus Biologicals, part of Bio-Techne
Catalog #
Availability
Size / Price
Qty
Loading...
NB100-56479SS
NB100-56479

Key Product Details

Validated by

Biological Validation

Species Reactivity

Validated:

Human, Mouse, Rat, Porcine, Bovine, Canine, Primate

Cited:

Human, Mouse, Canine

Predicted:

Chicken (90%), Xenopus (90%), Zebrafish (90%). Backed by our 100% Guarantee.

Applications

Validated:

Immunohistochemistry, Immunohistochemistry-Paraffin, Western Blot, Immunocytochemistry/ Immunofluorescence, Simple Western

Cited:

Immunohistochemistry-Paraffin, Western Blot, Immunocytochemistry/ Immunofluorescence

Label

Unconjugated

Antibody Source

Polyclonal Rabbit IgG

Format

BSA Free

Concentration

1.0 mg/ml

Product Specifications

Immunogen

A portion of amino acids 100-150 of human SMAD3 was used as the immunogen.

Clonality

Polyclonal

Host

Rabbit

Isotype

IgG

Description

Novus Biologicals Rabbit Smad3 Antibody - BSA Free (NB100-56479) is a polyclonal antibody validated for use in IHC, WB, ICC/IF and Simple Western. Anti-Smad3 Antibody: Cited in 8 publications. All Novus Biologicals antibodies are covered by our 100% guarantee.

Scientific Data Images for Smad3 Antibody - BSA Free

Western Blot: Smad3 Antibody [NB100-56479]

Western Blot: Smad3 Antibody [NB100-56479]

Western Blot: Smad3 Antibody [NB100-56479] - Analysis in human fibroblast and HeLa whole cell lysates. Untreated lysates show a band around 55 kDa. 1:1000 dilution, 1 hour blocking in milk 5%. WB image submitted by a verified customer review.
Immunocytochemistry/ Immunofluorescence: Smad3 Antibody [NB100-56479]

Immunocytochemistry/ Immunofluorescence: Smad3 Antibody [NB100-56479]

Immunocytochemistry/Immunofluorescence: Smad3 Antibody [NB100-56479] - HeLa cells were fixed for 10 minutes using 10% formalin and then permeabilized for 5 minutes using 1X PBS + 0.5% Triton X-100. The cells were incubated with anti-Smad3 at 10 ug/mL overnight at 4C and detected with an anti-rabbit DyLight 488 (Green) at a 1:500 dilution. Nuclei were counterstained with DAPI (Blue). Cells were imaged using a 40X objective.
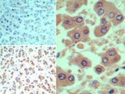
Immunohistochemistry-Paraffin: Smad3 Antibody [NB100-56479]

Immunohistochemistry-Paraffin: Smad3 Antibody [NB100-56479]

Immunohistochemistry-Paraffin: Smad3 Antibody [NB100-56479] - Human liver tissue probed with SMAD3 antibody (bottom left, right) and isotype control antibody (top left) at 10 ug/mL.

Applications for Smad3 Antibody - BSA Free

Application
Recommended Usage

Immunohistochemistry-Paraffin

5 ug/mL

Simple Western

1:50

Western Blot

0.5 - 2 ug/mL
Application Notes
See Simple Western Antibody Database for Simple Western validation: Tested in Bladder, separated by Size, antibody dilution of 1:50

Reviewed Applications

Read 5 reviews rated 3.2 using NB100-56479 in the following applications:

Formulation, Preparation, and Storage

Purification

Protein G purified

Formulation

PBS

Format

BSA Free

Preservative

0.05% Sodium Azide

Concentration

1.0 mg/ml

Shipping

The product is shipped with polar packs. Upon receipt, store it immediately at the temperature recommended below.

Stability & Storage

Store at 4C short term. Aliquot and store at -20C long term. Avoid freeze-thaw cycles.

Background: Smad3

SMAD3, a member of the SMAD family of proteins, is involved in TGF-beta signaling cascade. A human homolog of Drosophila Mad protein, SMAD3 consists of N-terminal DNA-binding MH1 domain, a linker region and a C-terminal MH2 domain. It is a receptor regulated SMAD (R-SMAD) that functions downstream of TGF-beta and activin receptors and mediates their signaling. SMAD3 is recruited by SARA (Smad anchor for receptor activation) to the receptor kinase for phosphorylation. Upon phosphorylation, SMAD3 disassociates from SARA, forms a complex with SMAD4 and transmigrates into the nucleus where it complexes with other cofactors and acts as a transcription factor. It has an indispensable role in cell proliferation, differentiation, apoptosis and formation of ECM. Loss of SMAD3 results in Childhood T-cell leukemia.

Long Name

Mothers Against DPP Homolog 3

Alternate Names

DKFZp586N0721, DKFZp686J10186, hMAD-3, hSMAD3, HsT17436, JV15-2MGC60396, MAD homolog 3, mad protein homolog, MAD, mothers against decapentaplegic homolog 3, MAD, mothers against decapentaplegic homolog 3 (Drosophila), mad3, MADH3mad homolog JV15-2, mothers against decapentaplegic homolog 3, Mothers against DPP homolog 3, SMA- and MAD-related protein 3, SMAD 3, SMAD family member 3HSPC193, SMAD, mothers against DPP homolog 3, SMAD, mothers against DPP homolog 3 (Drosophila), Smad3

Entrez Gene IDs

17127 (Mouse); 25631 (Rat)

Gene Symbol

SMAD3

Additional Smad3 Products

Product Documents for Smad3 Antibody - BSA Free

Certificate of Analysis

To download a Certificate of Analysis, please enter a lot number in the search box below.

Product Specific Notices for Smad3 Antibody - BSA Free

This product is for research use only and is not approved for use in humans or in clinical diagnosis. Primary Antibodies are guaranteed for 1 year from date of receipt.

Loading...
Loading...
Loading...
Loading...
Loading...