Skip to main content

Smad3 [p Ser423] Antibody (SR1995) - BSA Free

Novus Biologicals, part of Bio-Techne | Catalog # NBP3-21516

Recombinant Monoclonal Antibody
Novus Biologicals, part of Bio-Techne
Catalog #
Availability
Size / Price
Qty
Loading...
NBP3-21516-50ul
NBP3-21516-100ul

Key Product Details

Validated by

Biological Validation

Species Reactivity

Human, Mouse

Applications

Immunohistochemistry, Western Blot, Immunocytochemistry/ Immunofluorescence

Label

Unconjugated

Antibody Source

Recombinant Monoclonal Rabbit IgG Clone # SR1995 expressed in HEK293

Format

BSA Free

Concentration

Please see the vial label for concentration. If unlisted please contact technical services.

Product Specifications

Immunogen

A synthesized peptide derived from human phospho-Smad3 [Ser423, Ser425] (Uniprot #: P84022)

Modification

p Ser 423

Specificity

Detects endogenous levels of total phospho-Smad3 [Ser423, Ser425]

Clonality

Monoclonal

Host

Rabbit

Isotype

IgG

Theoretical MW

55 kDa.
Disclaimer note: The observed molecular weight of the protein may vary from the listed predicted molecular weight due to post translational modifications, post translation cleavages, relative charges, and other experimental factors.

Description

Novus Biologicals Rabbit Smad3 [p Ser423] Antibody (SR1995) - BSA Free (NBP3-21516) is a recombinant monoclonal antibody validated for use in IHC, WB and ICC/IF. All Novus Biologicals antibodies are covered by our 100% guarantee.

Scientific Data Images for Smad3 [p Ser423] Antibody (SR1995) - BSA Free

Western Blot: Smad3 [p Ser 423] Antibody (SR1995) [NBP3-21516] -

Western Blot: Smad3 [p Ser 423] Antibody (SR1995) [NBP3-21516] - Western blot analysis using NBP3-21516 in A549 cell lysate treated with TGF-beta 1.

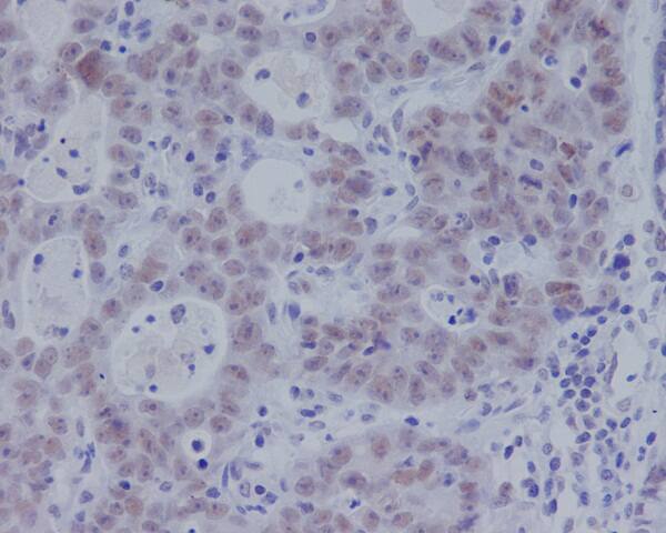
Immunohistochemistry: Smad3 [p Ser 423] Antibody (SR1995) [NBP3-21516] -

Immunohistochemistry: Smad3 [p Ser 423] Antibody (SR1995) [NBP3-21516] - Immunohistochemical analysis of paraffin-embedded human gastric adenocarcinoma, using NBP3-21516.

Immunocytochemistry/Immunofluorescence: Smad3 [p Ser 423] Antibody (SR1995) [NBP3-21516] -

Immunocytochemistry/Immunofluorescence: Smad3 [p Ser 423] Antibody (SR1995) [NBP3-21516] - Immunofluorescent analysis of A549 cells treated with TGF-beta 1 , using NBP3-21516.

Applications for Smad3 [p Ser423] Antibody (SR1995) - BSA Free

Application
Recommended Usage

Immunocytochemistry/ Immunofluorescence

1:50-1:200

Immunohistochemistry

1:50-1:200

Western Blot

1:500-1:2000

Formulation, Preparation, and Storage

Purification

Affinity purified

Formulation

PBS, pH 7.4, 150mM NaCl, 50% glycerol.

Format

BSA Free

Preservative

0.02% Sodium Azide

Concentration

Please see the vial label for concentration. If unlisted please contact technical services.

Shipping

The product is shipped with polar packs. Upon receipt, store it immediately at the temperature recommended below.

Stability & Storage

Store at 4C short term. Aliquot and store at -20C long term. Avoid freeze-thaw cycles.

Background: Smad3

The protein encoded by the Smad3 gene belongs to the SMAD, a family of proteins similar to the gene products of the Drosophila gene 'mothers against decapentaplegic' (Mad) and the C. elegans gene Sma. SMAD proteins are signal transducers and transcriptional modulators that mediate multiple signaling pathways. This protein functions as a transcriptional modulator activated by transforming growth factor-beta and is thought to play a role in the regulation of carcinogenesis. (provided by RefSeq)

Long Name

Mothers Against DPP Homolog 3

Alternate Names

DKFZp586N0721, DKFZp686J10186, hMAD-3, hSMAD3, HsT17436, JV15-2MGC60396, MAD homolog 3, mad protein homolog, MAD, mothers against decapentaplegic homolog 3, MAD, mothers against decapentaplegic homolog 3 (Drosophila), mad3, MADH3mad homolog JV15-2, mothers against decapentaplegic homolog 3, Mothers against DPP homolog 3, SMA- and MAD-related protein 3, SMAD 3, SMAD family member 3HSPC193, SMAD, mothers against DPP homolog 3, SMAD, mothers against DPP homolog 3 (Drosophila), Smad3

Gene Symbol

SMAD3

Additional Smad3 Products

Product Documents for Smad3 [p Ser423] Antibody (SR1995) - BSA Free

Certificate of Analysis

To download a Certificate of Analysis, please enter a lot number in the search box below.

Product Specific Notices for Smad3 [p Ser423] Antibody (SR1995) - BSA Free

This product is for research use only and is not approved for use in humans or in clinical diagnosis. Primary Antibodies are guaranteed for 1 year from date of receipt.

Loading...
Loading...
Loading...
Loading...
Loading...